з смещения
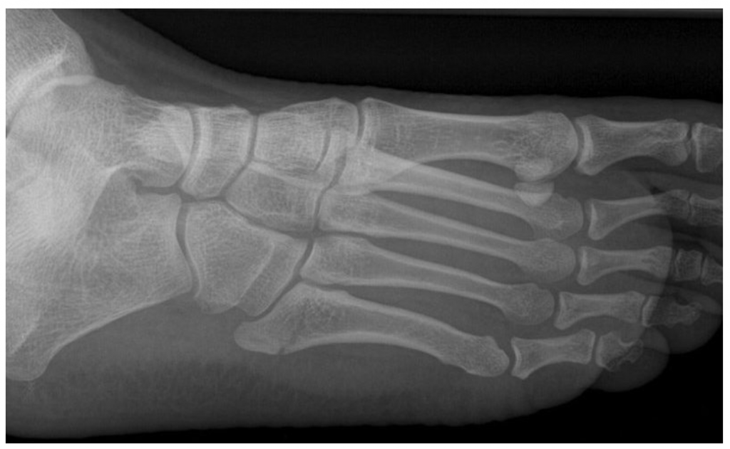
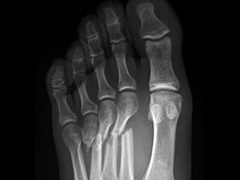
Перелом джонса без смещения 115 фотографий
Грушевое варенье с орехами рецепт
Программа психолого педагогической реабилитации инвалидов
Проходные по обществу огэ
Железобетонных перекрытий со
Плавание мальчики девочки
В киеве оборвался трос
Когда объявят результаты поступления в вуз
Читать невольник губарев 3 тома
8 градусов холодно
История 1882
















































































































