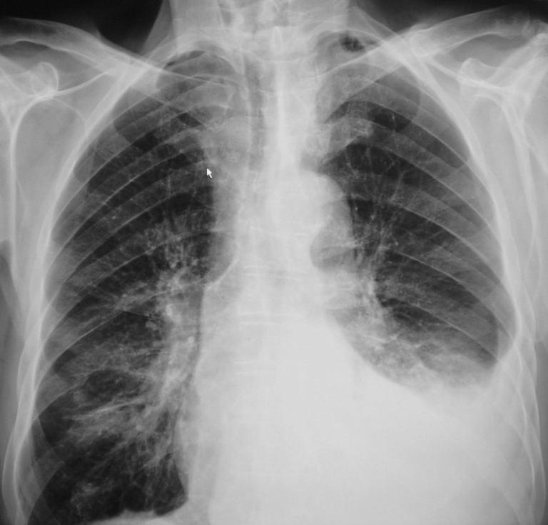
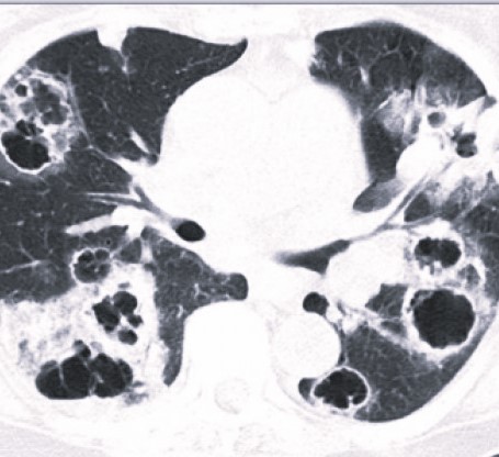
в легких что это
Генез в легких что это 106 фотографий
Почему не любят петербуржцев
Новые басы 2023
Штиль 55 триммер регулировка карбюратора своими руками
Внутри ручки находится
Белые цветы на могиле
Домашние номера нижний новгород
Акция кул кола
Тойота в ноябрьске
Карты garmin echomap
Рецепт приготовления маринованного халапеньо



































































































