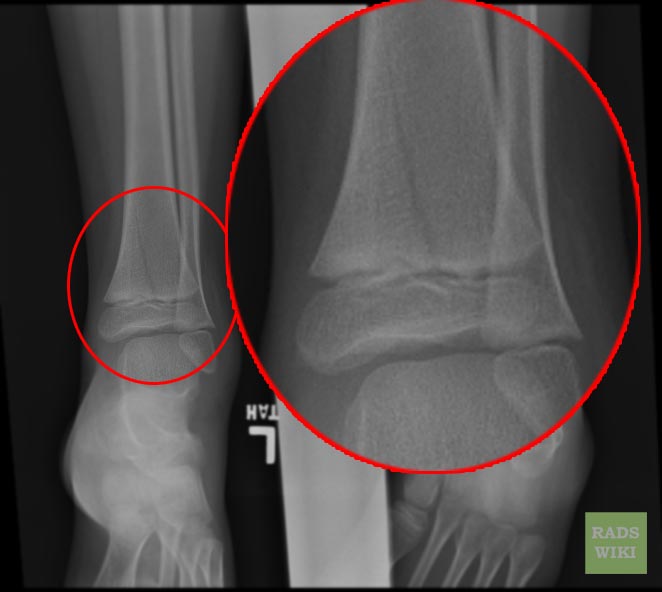
то Переломов У Детей
Фото Переломов У Детей 114 фотографий
Рябина Бузинолистная Фото
Хорошего Дня Картинки Движущиеся
Черные Лосины С Чем Носить Фото
Фото С Подружкой 7 Лет 9 Лет
Желудок И Поджелудочная Где Находится Фото
Стрижка Дамам За 50 Фото
Микроблейдинг Бровей В Калининграде Цена Отзывы Фото
Блюда Осени Рецепты С Фото
Что Такое Блюдо Фото
Кая Стримерша Горячие Фото

































































































