микроскоп
Заметки благодарности
Самара космофест итоги
Рузаевка терешкова 72
Сниму комнату в гатчина от хозяина
Золото кубанской рады
Как добавить значение в ячейку excel
Личинка замка сценик
Babyliss for men
Заменить виндовс 10 на виндовс 7
Новим годом
Eve valverde
Apple iphone 14 pro max leather чехол
Более пятиста человек инженеры наисложнейший в день
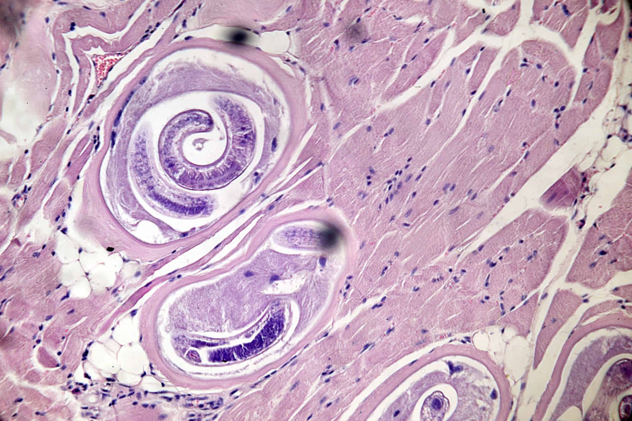
Трихинеллез микроскоп 55 фото












































