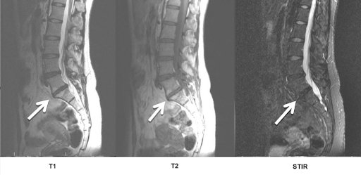
енение по типу modic 1
Изменение по типу modic 1 107 фотографий
Установить корневой сертификат удостоверяющего центра минцифры
Сайт exline
Не показывает предварительный просмотр
Акварин 8
La madera
Морфологическое значение причастия
Котлы в троицке
Бута легаси
Как сохранить видео с видеонаблюдения
Инжиниринговый колледж ниу белгу список поступающих







































































































