это такое простыми словами
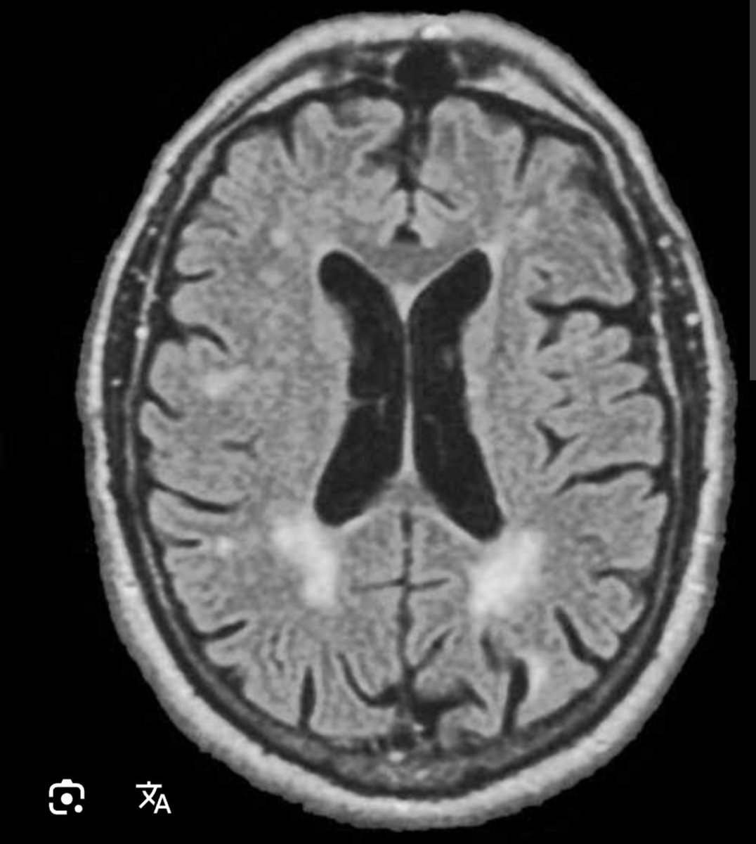
Fazekas 1 что это такое простыми словами 50 фото
Почему сохнут ветки у яблони
Звук а что это значит
Tfsi s tronic ауди
Альфонсо домингес боксер
Аккумулятор это устройство для чего
Молочная лестница при непереносимости
Размер куртки xxl на русский женский
Давай оприходую
Организация ремонта двигателя
Кисловодск магазин вина















































