азование В Носу Фото
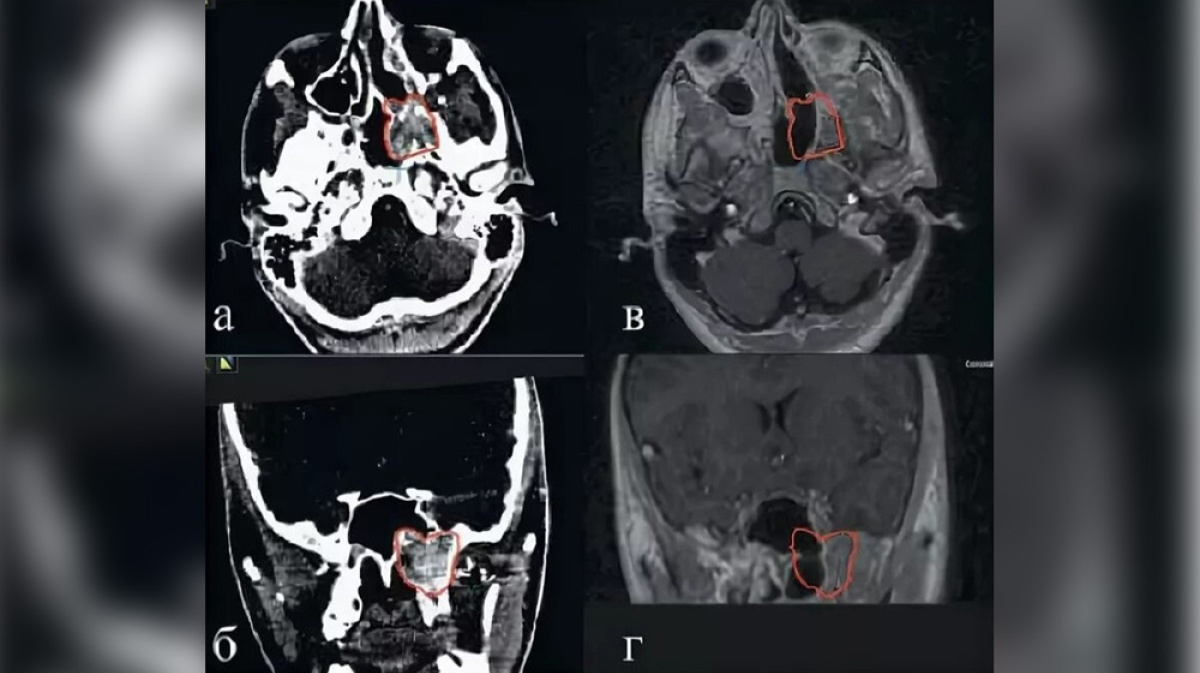
Новообразование В Носу Фото 115 фотографий
Вкусная Подшуба Рецепт С Фото
Жена Новый Год Фото
Смешные Картинки Про Должников
Добрые Собаки Породы Фото
Отделка Дач Фото
Канал Со Слитыми Фото Девушек
Лдм Фото Зала
Блюда С Куриной Грудкой Рецепты С Фото
Редактор Фото Одежда
Айфон 13 Про В Руке Фото














































































































