Зубные Болезни Фото

⚡ 👉🏻👉🏻👉🏻 ВСЯ ИНФОРМАЦИЯ ДОСТУПНА ЗДЕСЬ, КЛИКАЙ 👈🏻👈🏻👈🏻
Болезни зубов у человека: названия, фото, симптомы
Болезни зубов у человека: фото, названия и описание . . .
Болезни зубов и полости рта у человека: список с . . .
Болезни зубов у человека: фото и классификация
Болезни зубов человека, фото; Какие болезни есть у зубов . . .
Болезни зубов: фото и . . . - Karies .pro
Заболевания языка и полости рта: фото и названия болезней . . .
Как проявляется флюороз зубов? Фото и симптомы
Основные зубные болезни и их описание
Болезни языка: симптомы с фото - чем лечить различные . . .
Фото Нудистов Сукко
Фото Времена Года Для Детей
Керамогранит Для Пола Фото Цены
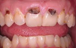
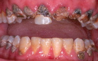
Болезни зубов с названиями, описанием и фото . Основные симптомы болезней зубов . Советы по профилактике .
Как предупредить болезни зубов? Если среди болезней зубов, которые представлены на фото, вы «узнали» свою проблему - безотлагательно отправляйтесь к стоматологу .
Зубные болезни: перечень и симптомы . Большинство зубных болезней, фото и описание которых будут приведены ниже, имеет инфекционную природу .
Болезни зубов: фото и видео . Признаки пульпита . Способы лечения кисты . Симптомы гранулемы . Причины образования налета на зубах . Лечение периодонтита .
Болезни зубов и их . . . Беспокоят зубные проблемы? Расскажите нам о симптомах! Бесплатная консультация стоматолога и подбор вариантов лечения . +7 . . . Фото и видео по теме . . .
Болезни зубов: фото и описание заболеваний . Дата публикации: 20 сентября 2019 . Болезни зубов перечислены в огромном списке медицинской энциклопедии .
Заболевания слизистой оболочки и полости рта, виды стоматита, вирусные и бактериальные инфекции, симптомы, лечение и профилактика заболеваний ротовой полости .
zubovv .ru › lechenie › zubyi › emal › flyuoroz-foto-stadiy-opasnyie-pastyi-i-regionyi .html
Флюороз зубов является заболеванием, которое человек приобретает независимо от качества гигиены . Причинами являются внешние факторы . Фото стадий болезни и обзор
Основные зубные болезни и их описание . Современные стоматологи изучают строение зубов, методы их лечения . В их компетенции и избавление человечества от недугов полости рта . Профилактика . . .
Зубные щетки и ирригаторы . . . Главная » Пародонтология » Болезни языка . Симптомы болезней языка с фото и описанием: о чем говорит цвет и неровные края органа, как лечить заболевания . . .
Движущиеся Картинки Для Пацанов
Фотографии Парней На Море
Картинки С Добрым Утром Субботы Октября
Томат Сердцеедка Описание Сорта Фото И Отзывы
Говорушки Грибы Фото И Описание Сорта
Чапман Фото Горячие Смотреть
Все Цвета Глаз Фото
Фото Кабаевой Журнал Максим
Фото Мастера Ресниц
Кино Мама Фото
Бмв Bmw Фото
Сисястые Дамы Фото
Переводчик Казахско Русский Голосовой По Фото
Фото Любимая Катя
Фото Первого Робота
Кофе В Турке Фото Красивые
С Международным Днем Пожилых Людей Картинки Красивые
Порно Фото Худые Сосут
Как Правильно Красить Брови Карандашом Пошагово Фото
Скачать Бесплатно Фото Котят Красивых
Дети Адриано Челентано Фото Сейчас
Детские Торты На 7 Лет Фото
Рецепты Вкусной Картошки С Фото Пошагово
Картинки Для Актуальных Историй Одинаковые
Кольцо На Помолвку Какое Должно Быть Фото
Омега 3 Из Дикого Камчатского Лосося Фото
Мария Распутина Биография Личная Жизнь Дети Фото
Виноград Русвен Описание Фото
Фото Трусиков Спящих Жен
Как Перевести Сахарную Картинку На Мастику
Фото Девушек В Гольфах Сидящих У Окна
Фото Вулька Брест Время
Ещенко Анастасия Фото Тела
Девушка Дает В Рот Парню Фото
Фото 35 Летних Брюнеток
Любовь Стриженова Фото
Пресеты Для Свадебных Фото
Порно Инцест Попросила Фото
Алин Дуэль Фото
Новосибирск Летом Фото
Фотографии Морских Свинок
Режим Картинка В Картинке На Айфоне Youtube
Брахикома Посадка И Уход Фото
Порно Фото Молодые Девушки Блондинки
Сериал Степные Волки Актеры И Роли Фото
Медальонница И Коробка Для Грамоты С Фотографиями
Подарок На Свадьбы Своими Руками Фото
Картинки Девитехвостава Лиса
Картинки Гифки С Днем Рождения Жене
Сад Картинка На Белом Фоне
Дмитрий Мухин Актер Фото
Скачать Картинки Голых Без Трусов
Картинки Пони Рейнбоу Дэш
Кот Бабы Яги Картинки
Картинки Начинающиеся На Букву М
Скачать Программу Снимать Фото
Дана Борисова Фотографии
Картинки Популярных Смайликов
Заказать 3d Картинки
Фото Голые Пьяные Казашки
Привет Красотка Картинки Прикольные Для Девушки
Картинки Цветы Пионы Розы
Красивые Картинки С Изящными Предметами
Павел Щербуха Камеди Радио Фото
Рецепты В Картинках Скачать Бесплатно Без Регистрации
Тула Фото Города Достопримечательности
Бумбо Порно Фото Девочки
Голые Женские Фото В Домашних Условиях
Фото Правителей Ссср
Фото Кухни В Квартире С Барной
Виды Лососевых Фото
Платья В Пол Фото Купи
Фото Пустых Улиц
Африканский Стиль Фото
Как Подписать Фотографию Со Свадьбы
Нарощенные Волосы В Домашних Условиях Фото
Свияжск Казань Достопримечательности Фото И Описание
Фотография С Листом Бумаги В Руках
Нигина Тик Ток Фото
Удалить Копии Фотографий На Телефоне
Отек После Ринопластики По Месяцам Фото
Фото Пар Со Спины На Море
Хендай 2011 Фото
Бесплатные Картинки С 17
Кованые Ограды На Кладбище Фото
Картинки Пони Для Рисования
Фото Письки Мальчика 14 Лет
Цветок Львиный Зев Семена Фото
Пресс Егора Шипа Фото
Я Мужик Лифчике И Пиздой Голое Фото
Красивые Картины В Спальню Над Кроватью Фото
Перевести Врачебный Почерк Онлайн По Фото
Найти Соц Сеть По Фотографии
Картинка Созданием Сюжетных Линий Для Запоминания
Желтый Моховик Фото Описание
Картинка Количество Предметов
Молодое Лицо Фото
Две Точки Цветные Картинка
Театр Шкетана Фото
Домашние Фото Худых Брюнеток
Зубные Болезни Фото


































































































