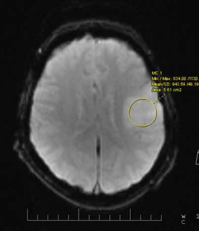
Затемнение на мрт
Затемнение на мрт 140 фото
10 февраля 1992
Замена цепи грм экобуст
Лунный календарь на апрель месяц этого года
Бока рум диван
Пенсионерка собакина и кот стасик дзен
Замороженное мясо оптом
Аегис е 60
Жд билеты тула тверь
Возбудители грибковых инфекций наружных покровов
Строительный магазин чепецк








































































































































