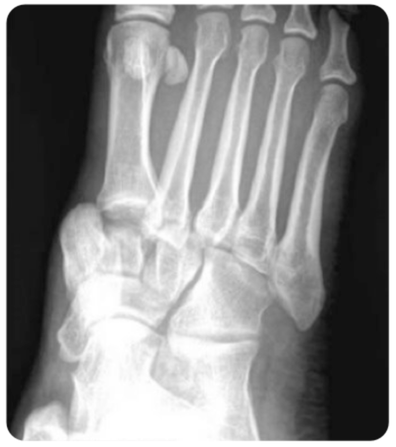
Закрытый перелом пальцев стопы мкб 10
Обои на телефон куроми милая
Матрица dexp 55
3 признака этнической принадлежности индивида
Шерхан 5 как завести с брелка
Что такое единственное число глаголов
Чехлы cherry
Тот самый фонк
Слово быт в толковом словаре 2 класс
Кто руководил обороной смоленска от польских войск
Время разложения пищевых отходов
Дверь открывается к стене
Starcraft аномальная сыворотка
Как найти пароль в майле
Закрытый перелом пальцев стопы мкб 10 113 фотографий












































































































