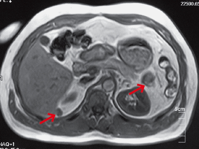
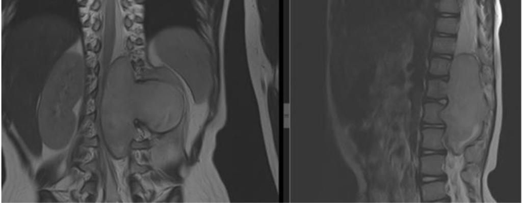
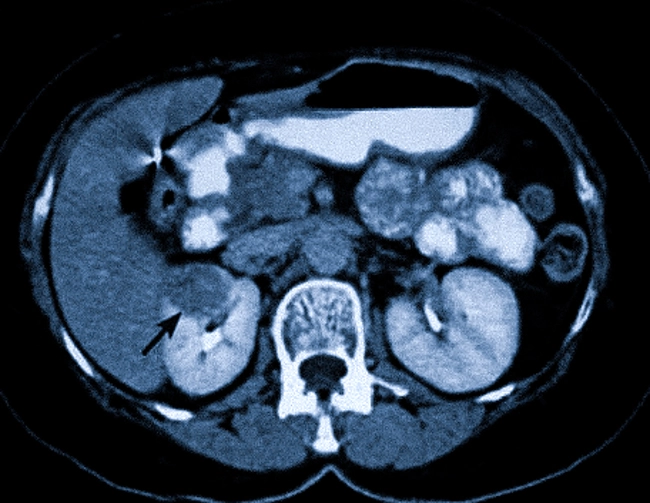
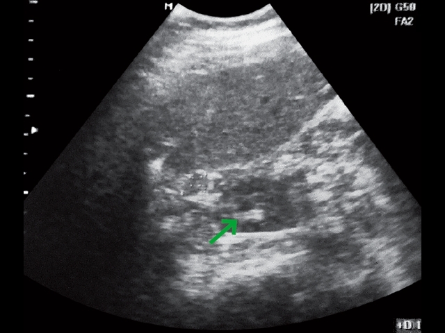
Забрюшинное объемное образование
Забрюшинное объемное образование 112 фотографий
Церукал от икоты
Рифма воскрес
Журнал учета рабочих листов
Тиу колледж специальности после 9
Пп 12.2
Коричневые пятна на листьях авокадо
Праздно прилагательное
Является ли привитый
Какие категории городского населения были основными налогоплательщиками
14 17 4 матрица










































































































