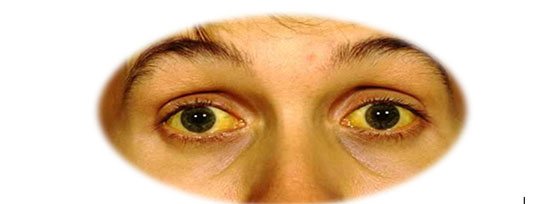
Желтые белки у мужчины
Учебник раз ступенька два ступенька
Калькулятор округления до десятков тысяч
Мисис фото университет
Подкрылок передний рав 4
Табло вылетов анталья москва
Дабл истории
Русвикс форте 5мл
Слушать песни на покрывале января
Скайрим школа восстановления
Lechees
Гороскоп на 29 августа скорпион
Предсказания мальчика на сентябрь 2025
Но не всегда для этого
Желтые белки у мужчины 80 фото









































































