YXJS
原鄉居士非典汹汹再来!一切早有迹象!一首诗被称为孤篇盖全唐,其中隐藏了什么神秘而残酷的信息呢?
各位鄉親大家好,先給大家祝新年快樂。中國有句古語,叫,日就月將,合起來就是將就,日月將就。大家聽起來有點意思是吧,日月跟將就有什么關系呢?其實這是一個很美好的,敘述天地大景的一個古語。它講的是日月都在向前進,在我們看來就是日歷和月歷,公歷是太陽歷,太陽歷的新年來了。馬上呢,月亮歷,陰歷,中國的夏歷的新年也快來了。在中共的統治下,所有人都感到了壓抑和絕望。感覺到這個冬天,長夜如此的漫長。我們都知道有一句話,就是說,冬天來了,春天還會遠嗎?
作為今天的我們起碼掌握最基本的科學,日歷這個知識,我們知道哪一天立春,知道哪一天春節,知道哪一天春份。知道春天什么時候來。就在這個辭舊迎新,年終歲尾,新春即將到來的這個時候,我相信中國人沒有多少感到快樂輕松的。眼下最讓人感到恐怖的一件事就是非典。非典從醫學意義上講,對所有這種非典型肺炎癥狀的這種肺炎的一個統稱。造成非典型肺炎的它有很多個病原,有病毒,也有肺炎支原體,也有其它的。

非典上一次肆虐,就是2003年,SARS病毒,那次非典這種傳播,在中共的這種推波助瀾下,在中共這個罪惡的執行體制,這種本能的掩蓋,拖延,耽誤,在這種應變機制下,奪走了無數人的生命。還留下了,大批的這種,忍受非典后遺癥的這些老百姓。我有個朋友,當時在非典的時候是護士,后來到今天,還是在承受非典治療的后遺癥,帶來的很多負面的東西,那個生活質量,簡直是殘酷的很。

今年又是在這個年尾的時候,先從武漢發起了非典型肺炎。據說已經確診了,分離出來冠狀病毒,可以確定,這次是傳染病毒性的感染。非典的可怕,在于它通過空氣傳染,通過分沫傳染的,無聲無息,看不見。你不能因為這個非典,大家都不出門。那不可能。生活總是要出門,總是要交往的。我們之前很早,給大家講過,末日的時候,一定會有瘟疫。
但這個瘟疫的可怕,不在于瘟疫本身。而在于中共它的本質,中共這個本質,首先它出于那種一貫的作惡,掩蓋,拖延,拿老百姓命不當回事的那種執政慣性。所有的瘟疫在它手里,一定會搞成大的,小的搞成大的,大的搞成特嚴重的。更可怕的是中共,在它的統治末日的時候,它統治面臨崩潰危機的時候,它會有意識的利用這個瘟疫。上次非典,中共講的,我們控制非典取得了重大的成功。又是中共啊,反復的表功。包括這次也是在講,不用擔心,即是是非典,我們也不用怕,我們有上次的成功呢經驗。上次的成功經驗是什么,就是全社會,廣泛的隔離,那時候給大家講過,北京大街上,空無一人啊。在東三環,在西三環的橋上,兩個多鐘頭看不見一輛車,大街上空無一人。所有的東西,全停擺了,所有的社會生活,進程全停擺了。
北京周邊的老百姓,把這個北京出,到河北的這些路徑,包括鄉間小路都挖斷了。河北,河南,包括山東,東北,到處是那種,恐怖似的那種隔離。我記得當時有個朋友給我講的,有個北京人,在滄州,剛登記,立刻就來人,把他抓走了。這個就是中共所需要的,所以中共需要這個瘟疫。
現在中共面臨末日的壓力,它的統治,無論從經濟,軍事,外交,政治,在所有的層面上,都在崩潰,就是碎片式,雪崩式的崩潰。這時候,它無法再像之前那樣得心應手的控制,把這個社會,完全的管制起來,它做不到。這時候就需要一個東西,就是這個瘟疫。瘟疫來了,它就有先天的,合理,合法的理由和必要性,來進行社會的隔離。把全中國,分分塊塊的,全隔離起來。最近,我看還有人傳播,南方地區,號召老百姓存糧,每家要最少儲存七天的糧食。我告訴大家,這個都是疊加的東西啊。就是為隔離做準備的。

所以,瘟疫的可怕,就是因為,中共執政的本性的,罪惡的體制。中共甭看它嘴上說,放心,我們能控制。當然了,進行殘酷的社會隔離,但是,它也是,就會表演。在這個表演的過程中,一如它既往,它表現的很積極,但同時我告訴大家,中共還會有意識的促進這個疾病的傳播。中共歷來喜歡做的事就是,它說一套,做一套,想一套。它看著表現的很積極的在控制,但其實呢,它是在縱容這個疾病的傳播。

就像武漢這次,華南海鮮市場,首先發生了,非典型肺炎的傳播,然后收治了二十多個,按中共自己說有七個病情嚴重的,其他的再好轉。大家知道,這個非典型,像這樣的肺炎,它尤其通過病毒傳播的這個,通過飛沫,通過空氣傳播的,你醫院收治二十多個,那意味著多少呢?我剛才看到香港收治了武漢過去的,也是這種癥狀。包括新年第一天,在中國,武漢,飛離武漢航班上,那些防疫人員,身著全身的重防化服,完全隔絕的,在飛機上進行檢驗。

怎么講呢?中國人承受中共的統治,這種罪惡的壓迫,它總會有一個結束,這個結束會表現為某種形式。這某種形式是什么呢?其實是,所有的預言都會講到瘟疫。《圣經》也會講到瘟疫,中國甚至其他所有的預言都會講。因為瘟疫是對人的生命的直接的剝奪,其它的災啊或者什么的,你可能還有相當的承受力。但是這個瘟疫是直接對人命的。只有這種瘟疫的廣泛的傳播,才能實現對人命的大規模的這種銷毀。
前段時間,我的推特,簡介里,放了《春江花月夜》。很多朋友說是不是預言呢?我也沒吭氣。其實就是預言。這個預言就以春江花月夜的形式,在里邊隱藏著。這個《春江花月夜》這首詩,號稱為,“孤篇蓋全唐”。就這一首詩,蓋全唐什么意思?把整個唐詩宋詞,整個唐代全壓下去了。所以叫“孤篇蓋全唐”。這首詩相信很多朋友都記憶猶新,因為它也是朗朗上口,意境優美。我在這給大家念一念。
春江花月夜
作者:張若虛
春江潮水連海平,海上明月共潮生。 滟滟隨波千萬里,何處春江無月明!
江流宛轉繞芳甸,月照花林皆似霰; 空里流霜不覺飛,汀上白沙看不見。
江天一色無纖塵,皎皎空中孤月輪。 江畔何人初見月?江月何年初照人?
人生代代無窮已,江月年年望相似。 不知江月待何人,但見長江送流水。
白云一片去悠悠,青楓浦上不勝愁。 誰家今夜扁舟子?何處相思明月樓?
可憐樓上月徘徊,應照離人妝鏡臺。 玉戶簾中卷不去,搗衣砧上拂還來。
此時相望不相聞,愿逐月華流照君。 鴻雁長飛光不度,魚龍潛躍水成文。
昨夜閑潭夢落花,可憐春半不還家。 江水流春去欲盡,江潭落月復西斜。
斜月沉沉藏海霧,碣石瀟湘無限路。 不知乘月幾人歸,落月搖情滿江樹。

這開頭八句,它首先敘述的就是春天來了,春天潮漲,海水也在漲,海潮,江潮,都在漲,然后這個時候,明月升起。首先,我們講這首詩為什么叫“孤篇蓋全唐呢”?因為它敘述的是大道,敘述的是天地大景。我們生活的這個世界,就是地,月,日的關系。尤其,月亮,引起了地球的四季。大家知道,因為月亮的引力對地球的引力,引起了地球的四季,地球傾斜了。才有了春夏秋冬。然后,它吸引地球的水體,地球為什么偉大,適合生命的生存呢?就是因為它是個水球。然后月亮的引力,引起了周期性的,潮水的漲落,我們叫朔望。月亮滿月升起的時候,就是天文大潮的時候。等到月亮又成為朔的時候,它就又引起,又一次天文大潮。就是初一,十五,天文大潮。

故宮太和殿,那個對聯叫樂朝聯。一邊是七個樂字,一邊是七個朝字。“樂樂樂樂樂樂樂,朝朝朝朝朝朝朝。”放在皇帝這個中軸線上,天子寶座之下。它其實取得就是這個意思,潮水,跟這個朝是一樣的含義。初一十五。皇帝大朝,起碼從唐朝大明宮的時候開始,確定的這個制度就是初一,十五大朝。就是這個115,1.15很簡單,是逾越節,也是中國的上元節。上元節對應中元節,就是鬼節,7.15。鬼就是人死了,上元節,大家知道,就是三元節。上元,中元,下元,到10.15。
就是這個天地之道,它是有原力驅使的。就是這個原力決定了月亮地球的這個關系。然后,引起了海水的上漲,它是有時間的。潮水的上漲,它有一個間隔,就是一天兩次。就是每一次間隔是12小時,25分鐘,12+25=37。12.25是圣誕,12:L,25:Y。就是共濟會規矩這個標志,也是天地會的這個標志,洪門的這個標志。天地方圓。

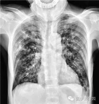
“江流宛轉繞芳甸,月照花林皆似霰。” 霰指的一種小白粒粒,就跟小冰粒一樣。亮閃閃的,很小,小粒粒,一團一團的。“月照花林皆似霰”,就是一團團白的,間隔花的陰影,指的就是這個東西。它其實是,肺炎,這是非典型肺炎,在照X光的時候,胸透片上的那個顯示。你會發現,在這個胸片上,有一團團白色的,黑白相間,黑的是陰影,白的是光點。一團一團的,就是肺炎。肺炎典型的癥狀。重型肺炎,尤其像非典這種非常嚴重的肺炎,它會引起叫白肺,整個肺一片片的徹底的白化了。一般伴隨著呼吸衰竭,人就沒有了。

我們開頭講的幾句,“春江潮水連海平,海上明月共潮生。”潮水漲落就跟人的呼吸一樣,這是天地間的呼吸,對應人的呼吸,就是肺。呼吸引起肺炎,不正常的時候就引起這樣。這就是大范圍的呼吸道的癥狀,就是肺的癥狀。大家知道肺是干么的,肺是呼吸的氧氣,就像風箱一樣。然后,在肺里,通過肺泡進行交換,把氧氣進入血液,經過血管,流入全身。支撐著人的活動。上帝造人,大家知道這個順序啊。先有光,有了光了。分開水,造了空氣,分開水河陸地,有了植物,動物,最后造了人。上帝把空氣吹給人,泥塑木雕,亞當。夏娃,血肉之身,人才開始傳承,生命開始孕育,你都要呼吸的。
潮水,是天地之間的呼吸。人呢?血肉之間的呼吸。這就是天地之氣,所以道家,修煉都講,元氣,就是原始之氣,就是指的這個。春江潮水,呼吸,氧氣,輸送全身,也就是天人相應,就是這樣來的。
“空里流霜不覺飛,汀上白沙看不見。”白沙,就像重度肺炎,拍這個胸片,一團團的白色,看不見。“空里流霜不覺飛”,霜也是這種形狀。冷冷的,天上降的,溫度低的。跟這個霰,小冰粒差不多,看不見。就是非典病毒傳播的模式,空氣傳播,誰也看不見,就是“空里流霜不覺飛,汀上白沙看不見。”這就是預言。
《春江花月夜》這首詩,最早是在宋朝有一個人,叫郭茂倩,編了《樂府詩集》,其中第47卷,收入了張若虛的這首《春江花月夜》,作者張若虛,張若虛是揚州人。在這很多朋友可能立刻想起來,我之前在《鹿鼎記》里講,韋小寶的母親,韋小寶就出生于揚州麗春院,他母親叫韋春花。《鹿鼎記》講政權,講鹿,講鼎,逐鹿中原,問鼎天下,講朝廷政權,起自于揚州。揚州,為什么這么有名呢?跟這個月夜有什么關系,就是跟張若虛這首詩啊,有很大的關系。杜牧也講,“二十四橋明月夜,玉人何處教吹簫。”

為什么把揚州放在這個點上呢?一切跟經緯度有關,揚州是東經119°,北緯32°。 我教給大家一個計算方式,把它列一個算式,上邊一行,下邊一行,然后不進位,等于14.11。然后這個郭茂倩,就是編《樂府詩集》,收錄張若虛的《春江花月夜》這首詩的。他是哪的人?山東鄆城人。《水滸傳》的老家,造反的將的老家,宋江的老家。這的經緯度是多少呢?116.35°,還按那個算式,往下算,14.11。這倆地是一樣的。
然后《春江花月夜》這首詩,又被收入《全唐詩》,第117卷。47是庚戌,庚戌就是711。然后它被收入《全唐詩》的117卷,就是711。這個《全唐詩》是誰編的?是康熙,下旨讓曹寅,就是傳說中的《紅樓夢》的作者,曹雪芹的祖父。曹寅在揚州編的《全唐詩》。康熙帝出生于3月18,一年的,365天的,318就是11.14,然后,3.18對應365°的,就是它是一年的第77天。倒數第77天,就是10.16。
我們一再講,天人相應。這些數字,天數,為什么一切都是數字來鎖定它。它叫天造地和,有的是人故意的,那些預言之作。像《紅樓夢》明確是預言之作。《春江花月夜》這個作者張若虛知道不知道呢?那也未必知道。但是呢,你這種靈感,創作,不管是寫詩,畫畫,寫戲曲,做音樂,靈感來自天道,來自上帝,上帝的啟示。它不是憑空來的,這是原力的顯示。所以,人作為天地間的一個粒子,他受天地法則的驅使,包括你的思想,你的靈感,你思想的運作,包括你的呼吸,血液運行一樣,都會顯現出天地的原數來和原力。整個歷史也都是這樣的,改天我給大家講《推背圖》它怎么對應的,朝代的更替是怎么對應的。這就要對應那些天數,因為景的背后,就是數,景的來源就是原力,就是天道法則的驅使,產生這個景。這個景就是數,沒有能挑出這個法則的,也沒有能離開這個數的歷史。
我們剛才講《春江花月夜》的起篇,起手第一句,“春江潮水連海平”,江,長江。潮水又是天文大潮,115,初一,十五。它就是武漢。武漢就是114.115,就是逾越節114到115逾越。然后長江東西貫通,就在武漢交匯。所以,這次非典再來,先從華南海鮮市場,就是“春江潮水連海平。”整個長江,上游就別說了,中下游,武漢幾乎最大了吧。武漢被稱為江城。李白寫過一首詩,《與史郎中欽聽黃鶴樓上吹笛》。這首詩,四句話。
《與史郎中欽聽黃鶴樓上吹笛》
一為遷客去長沙,西望長安不見家。
黃鶴樓中吹玉笛,江城五月落梅花。

所以,武漢以后就叫江城了。武漢三鎮,武昌,漢口,漢陽。黃鶴樓很有名,李白寫的詩,崔浩提詩在上頭,黃鶴樓跟仙人有關。然后,龜山蛇山,龜蛇是北方玄武的標志,玄武就叫龜蛇。北為水,就像故宮中軸線,前邊三大殿,后邊三宮,乾清宮,坤寧宮,交泰殿。后邊花園,御花園,最后御花園這個建筑,紫禁城在中軸線上最后這個建筑,就是神廟。祭祀玄武大帝的,真武大帝,水神。紫禁城有個傳說,玄武大帝,真武大帝,紫禁城著火了,他就出來救火。這個神廟里,據說有一次,真武大帝顯靈,出來救火,留下了一個足印。在地面上,石頭地面上有個真武大帝的足印。真就是真武大帝的本意。真就是是影像,在古文字里,真字非常的神奇,真字怎么定義,叫仙人變形登天也。這個真字顯現的事一幅人成仙,仙人變形登天。真就是影像,就是景。武,就是足印的意思。故宮叫神武門,神的足印。神武大帝,就是真足印。


扯遠點,玄奘《西游記》取經回來了,取經是有,回來之后到他最后,他生命最后的階段,就在玉華宮,他每天,他去參拜,他從印度帶回來的一個佛足印。那個足印石頭,每天去參拜,每天去參拜。如此參拜呢,路上摔傷了,后來病情急轉直下,就去世了。就是西安的大雁塔,雁塔寺,大家知道,有一年情人節,彭麗媛去參拜,那里邊除了有玄奘的舍利,和玄奘從印度帶回來的舍利,它還有玄奘帶回來的佛足石印,佛足在這個雁塔寺也有。


這些信息,它其實都是在有機的結合起來。講原始狀態,潮水,也是一種約定。像《水滸傳》里,唯一一個,得道涅槃的是魯智深,魯智深是在錢塘江,八月十五夜里,聽講江潮如雷。僧人告訴它,每年這個時候,八月十五大潮,叫潮信。就想起他師父給他講的:聽潮而圓,見信而寂。信是什么意思?潮有信。早知潮有信,嫁與弄潮兒。(出自唐代李益的《江南曲》 嫁得瞿塘賈,朝朝誤妾期。早知潮有信,嫁與弄潮兒。)信是天地大景,原力法則的體現,它總是在115上,信也是一個憑證。它跟契約,人與上帝之間訂立大契約有關。

剛才講的一開頭,“春江潮水連海平,空里流霜不覺飛”,是在講天人相應,這種肺炎。空氣傳播的,無形無相的這種肺炎。這邊這幾句呢,就是原始狀態。
江天一色無纖塵,皎皎空中孤月輪。
江畔何人初見月?江月何年初照人?
人生代代無窮已,江月年年望相似。
不知江月待何人,但見長江送流水。
它講的是天地之原,原始的狀態。就是這個江畔,月明的時候,誰最先,那個原人最早是誰看見的那個“春江花月夜”的。這個最早的月亮是什么時候,第一次看見人。月與人相望。
“人生代代無窮已”,就是人一代代的從原始狀態到今天,傳遞下來了。人跟人不一樣,相貌,經歷,名字不一樣。但是一句話總結了,“江月年年望相似”。月亮還是那個月亮,法則還是那個法則,一切還在循環,一切都在按照天地法則的約定,這個周期,在運行。在人類社會,我們知往,才能知來,我們知道之前的事,才能知道結束在哪。所以,要歸宿到源頭。這個就是一個在宗教史上,或者是在預言,最長提到的兩個字叫收元。中國民間宗教,叫做收元教。明清宗教,都可以把它歸結為叫收元教。
收元,一個就是回到原始狀態,最初的狀態。還有個意思,就是收人的元神的意思。元,元氣,元神,收了人的元神,收了人的元氣,把上帝最初,吹給人的靈氣,這原始之氣,收走。你們還怎么活呀?它就意味著大規模的人口死亡。就是兵災,瘟疫,饑荒。饑荒在現今這個世界,我認為不是像我們之前所經歷的那種,幾千萬人,幾億人人就那么餓死,那個未必了。但是呢,戰爭和瘟疫,戰爭尚且還可以控制,但是瘟疫呢?恐怖的瘟疫,再遇上中共這種,殘暴的執政的本質,就會產生一個疊加效應。
本來要收元,每個人要審判,付出代價,中共呢,這個時候就成為一個積極地推動者。出于它殘暴的本質,本性。就是中共無論如何做,它有意識地做,它也是要,借用這次瘟疫,控制這個社會。這個即將奔潰的社會,用瘟疫把它當做繩索,把人一道道的分隔開,隔離起來,不讓人鬧事。它即是沒有這個用心,就是它這種歷來不做好事,專做壞事,好話說盡,壞事做絕的這種本性。它也沒法對付,末日瘟疫。
那有的朋友講,那你說的這個,到底的結果是什么。我還回到我們今天的這個標題,叫“春江花月夜”。冬天即將結束,春天再來,春天快到了,但緊跟著這個春天來的,不僅僅是春花,不僅僅是春風春雨,還有非典,還有中共的這個暴虐的執政結果,對人命的這種摧殘。那我們怎么辦?我還是那句話,就像修行悟道,自有天數一樣,人的旦夕禍福,其實也是定數。但是我們明明知道,一切都有定數,為什么還要去做這件事呢?這涉及一個《圣經》中最重要的一個疑團。《圣經》講的那個日子,天使也不知道,人子也不知道,誰都不知道,先知也不知道,只有上帝知道。那個日子指的是什么日子?那我一再的講,上帝造人為造神,他不是造你為了直接滅你的,造了人就希望讓人,最終一天一起覺醒,最終升入天門。就是天道法則的最基本的約束。只有所有人一起升入天門,這個天門才是開著的。也就是大道。
上帝既然設定這樣的《劇本》,他不會無緣無故就把人都滅掉。真正的末日,取決于這個考卷發下去,大家共同選擇的結果。如果大家都選擇了,這個世界上都選擇了向善,接受跟上帝這個契約,回復你成王做主的權力,這個末日可能就不會來。為什么說,末日的時候,追求神跡是墮落的表現。這時候唯一的神跡是約拿的神跡。約拿什么神跡?約拿遵照上帝的指示,告訴大家,你趕緊改回吧,要不懲罰就來了,末日就來了。結果呢那個末日,尼尼微城的人,相信了,選擇了遵守跟上帝的約定,這個時候,末日就沒有來。所以,耶穌說,末日只有一件神跡,就是約拿的神跡。
大家看梵蒂岡,西斯汀教堂,就產生教皇那個,教皇的私人坐堂。那個頂上,最后的審判,坐在最高處,最中間那個位置上是誰呀?不是基督,不是上帝,不是這個,不是那個,是誰呀?是約拿。這個就是末日的日子不能確定的原因。所有的秘密都可以告訴你,但是這個末日涉及到所有人選擇的結果。上帝給所有人機會,給你機會,并且給你每個人方便實現的機會。不需要你,付出什么,各個都要經歷八十一難,才能達到上帝的要求。不需要,其實就是一念之間。我們說叫,一步之間,一步之遙。你上傳,腳拇指,足印,完成跟上帝的履約,大家都成為上帝的身體,所有人聚合起來,聚集起來。

《圣經》預言的那個日子,這樣就是兩個日子。一個是生,一個是末日的懲罰。生,我們一再的講耶穌基督,我連著好幾期講圣誕,其實圣誕的意思,倆。一個是圣子就是剛才說的,就像潮信一樣,信物,憑證,生子降臨的日子。上帝靠一個人的降生,來證實上帝的存在,來證實天道法則的存在。所謂,道成肉身,指得就是這個。道呢,軌道,天道法則,最后有數,早就一個人。一個活生生的生命跟大家都一樣,沒有任何區別,但是他同時又是最后的考卷。
有人不相信,如果你要是相信這個,其實你都相信了,你不會做出錯誤的選擇。但是,你要是不相信,這個不相信呢?它有幾種情況,有的是心里明明知道是,但是行為上就不選擇。就愿意反其道而行之。就像中共和中共的盟友。因為利益,利欲熏心,罪惡累累。它不能接受,它不能接受人人平等。它不能接受失去權力的日子。然后跟它一起做出錯誤選擇的人,那就要被滅掉。
《春江花月夜》這首詩,講的盡管是一幅美景,一幅天地大景。但是呢,它也是一個殘酷的預言。講了這個世間,末日再來的時候,一切的征兆。我給大家做這樣的預告,引用這首詩,剛才講的只是開頭兩段。往下還有,一直到最后,“斜月沉沉藏海霧,碣石瀟湘無限路。不知乘月幾人歸,落月搖情滿江樹。”就是從月亮升起,潮水升起到最后,月亮沉沉落下來,藏到海霧里。
“碣石瀟湘無限路”,曹操寫“東臨碣石,以觀滄海。”但是在這,碣石和瀟湘,是兩個憑證。這就是天地造化。廣東陸豐有個碣石鎮。碣石鎮的經緯度是115.22°,加起來是137。瀟湘就是零陵,林黛玉的瀟湘館。就是瀟湘二水匯合,代表眼淚,眼淚的是咸的。碣石在海邊,海水也是咸的。眼淚就像人出生的時候,哭著來,眼淚臨終,走的時候也是一滴淚。所謂哭著來,哭著走。瀟湘,零陵這個地方,它的經緯度是,26.111°,加起來也是137。什么含義呢?這兩個地方,它的經緯合數,天地合數都是137。137咱們推算一下,正數137天是5月17。反數,137天是8.17,8.17是對應2.17的,就是方舟,登方舟的日子。希伯來歷兩個日子,2.17和8.17。


這就是一個歸宿,一切都會有結束的時候,根據自然法則,到最后,誰做出正確的選擇呢?就是不知道。這個只有上帝知道。我說白了講,我不知道,我不知道這個世界上最終有多少人,接受了和上帝的契約,履行了和上帝的契約,得到了拯救。就是你不知道,乘月幾人歸。就像《梅花詩》預言的,“蕩蕩天門萬古開。幾人歸去幾人來。 山河雖好非完璧。不信黃金是禍胎。”
天門,我們最近幾期都在講天門,天門跟圣子降臨有關,就是左角李,右角將。你相信這個,升入天門,踏著石頭。在這就是,乘月,月是115。不知道多少人得道,不知道多少人得道拯救。每個人都要做出獨立的選擇。這個就涉及到一個,我跟很多朋友探討的問題,我們在救人,在渡人,其人在其他的時候,之前那些大難,小難,你可以救他,幫他,度他,就像我之前,十幾二十年,一直在做的工作一樣,想辦法救更多的人,救人身,救他的病,救他的疾。但是呢,末日的疾,末日之災,救不了,外人根本就救不了。他只有自救。你強迫他悟道,強迫把他推到天門去,做不到,你沒那本事。
有的人就出現什么情況呢?你越幫他越點化他,越推著他去做好事,做正確的選擇。他反而,更加的抗拒,更加的作惡。就是出現一種非常怪誕的情況。你本來想幫它的,結果你給了它作惡的機會。有的說,好言勸回不該死的人。有人說好言勸不會該死的鬼。這個只有天知道。
也就是說末世的災難,末日的劫數,只有自救,只有靠自己。最后的歸宿就是,“落月搖情滿江樹”。人和樹加起來就是休,就是結束了,但是它也是一種上天賜的福氣。人靠著樹,能休息。《推背圖》最后,“不如推背去歸休。”歸于,木人。《大秦景教流行中國碑》,也在講,敘述為什么刻這個碑呢?它講的是,“愿刻洪碑,以揚休烈。”都是這個休。
“月上柳梢頭,人約黃昏后。”一切都是約定。這個約定是必然,但也是偶然。取決于每一個人的選擇,不管你是履約,還是繼續違約,繼續墮落,最后都會帶來一個確定的日子。就是這個世界,即將更新,回到原始狀態。它對應的所有人的命運,到底如何?我們說,只有天知地知,你知我知!