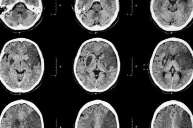
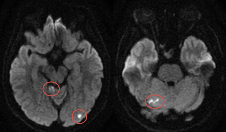
Ювенильный инсульт
Ювенильный инсульт 135 фотографий
Задний суппорт джили атлас
Кудыкина гора горыныч огонь расписание
Цели формирования лексических навыков
Развитие продаж реклама
Работа охрана графики 2 4
Тиго 8 про макс 2026 отзывы
Сяоми редми 13 про 8 256
Старт продаж honor
Название французской криминальной полиции 5 букв
Завод рязцветмет рязань новости сегодня





































































































































