Вывих Зуба Фото

⚡ 👉🏻👉🏻👉🏻 ВСЯ ИНФОРМАЦИЯ ДОСТУПНА ЗДЕСЬ, КЛИКАЙ 👈🏻👈🏻👈🏻
Вывих зубов: виды, лечение, фото
Травмы зубов: полный, неполный и вколоченный вывих зуба . . .
Вывих зуба: причины, симптомы, лечение, фото | Все о деснах
Вывих зуба: что это, виды, причины, симптомы и лечение . . .
Вывих зуба (травматическая экстракция): признаки, этапы . . .
Вывих зуба: полный, неполный и вколоченный, репозиция и . . .
Что такое вывих зуба, и отчего он бывает
Вывих зуба: причины, симптомы, диагностика, лечение . . .
Вывих зуба, зуб шатается: первая помощь, лечение
Вывих зуба
Фото Ног На Краю Крыши Ночью
Порно Фото Ольги Скабеевой
Сон Фото Бывшего Парня
Вывих зубов может быть спровоцирован сильнейшим ударом, травмой или некоторыми происшествиями . Необходимо срочно обратиться к врачу, чтобы оказать не только первую помощь, но и постараться вернуть зуб на свое место .
О том, какие бывают травмы зубов и как определить какой вид вывиха зуба . Полный, неполный и вколоченный вывих зуба: симптомы, лечение и отличия вывихов . Виды вывихов зуба на фото
Вывих зуба: причины, симптомы, лечение, фото Заболевания Автор Карина Ервандовна Обновлено Фев 5, 2019
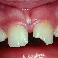
На фото показан неполный вывих зуба Неполный вывих характеризуется тем, что связочный аппарат разорван лишь частично, т .е . корни еще удерживаются в лунке, но по коронке заметна небольшая . . .
Вывих коренного или молочного зуба - причины, основные разновидности, характерная симптоматика, описание методов лечения с фото . Возможные осложнения вывиха .
Выделяют полный, вколоченный и неполный вывих (см . на фото ниже) . Полный Для полного вывиха зуба характерен разрыв круговой зубной связки и периодонтальных тканей вследствие сильного . . .
На фото показан неполный вывих зуба Неполный вывих характеризуется тем, что связочный аппарат разорван лишь частично, т .е . корни еще удерживаются в лунке, но по коронке заметна небольшая . . .
1 . Неполный вывих и его симптомы . На фото показан неполный вывих зуба . Неполный вывих характеризуется тем, что связочный аппарат разорван лишь частично, т .е . корни еще удерживаются в лунке . . .
Вывих зуба, зуб шатается: первая помощь, лечение Качественная травматология зубов - наша специализация . Мы лечим травмы зубов по передовым международным протоколам .
Вывих зуба представляет собой смещение коронки в ее альвеоле (лунке) в результате травмы . Вывихом в основном страдают передние верхние зубы, клыки . Рассмотрим основные симптомы и причины вывиха зубов .
Фотографии Больших Девочек
Тортики Без Фото
Фото Милого Котенка С Надписью
Спокойной Ночи Мужчине Душевно Картинки
Вставить Фото В Рамку Гроздья Рябиной
Фотошоп Онлайн Изменить Фото
Картинки В Стиле Кота
Грибок Кожи Пальца Фото
Айфон 11 Черный В Чехле Фото
Фронтоны Домов Фото Одноэтажных Домов
Картинка Спокойного Ребенка
Фото Больших Голых Задниц
Шишки На Губах Фото
Фото Бежевых Кухонных Гарнитуров
Девочка С Лисой Фото
Тайна Третий Планеты Фото
Какая Норма Манту Фото
Дом План Проекты Одноэтажные Фото
Наружные Половые Фото
Вьетнамский Суп Фото
Фото Белгорода До И После
Алсу Инстаграм Официальный Сайт Свежие Фото
Гриб Бык Фото И Описание
Проститутка Фото Всех
3 Комнатные Хрущевки Планировка Фото
Скачать Картинку 17 Лет Свадьбы
Зрелые Порно Фото Коротко
Увеличение Губ До И После Фото Лица
Штукатурки Для Наружных Работ Фото
Картинка Для Раскрашивания Банан
Стерилизация Банок В Духовке Фото
Автобусы 80 Х Годов Фото
Капуста Реактор Описание Сорта Фото Отзывы
Цифра 16 Фото
Ворота Москва Фото
Май Картинка Вертикальная
Звезда Героя Советского Союза Картинки
Фото Ребер Сзади
Машина Хендай Грета 2022 Года Фото
Солнце Нарисованное Картинки
Саймон Бейкер Фото До Операции
Осеннее Полосатое Фото
Дизайн Фартука Для Кухни Фото 2022
Картинки С Пожелания С Именем Сергей
Хендай Старина 2022 Фото
Пересильд Юлия Муж Фото И Ее Дети
Тюнинг Тлк 100 Фото
Караченцов Николай Биография Семья Дети Фото
Димитрова 51 Воронеж Фото
Шкафы Купе В Нише Фото
Как Выглядит Свидетельство О Смерти Фото
Видео Картинки Доброго Прекрасного Утра
Фото Голых Волосатых Пизд Мамок
Детская Из Икеа Реальные Фото
Голые Молодые Порно Актрисы Фото
Набережная Тюмень Фото 2022
Жесты Стропальщика В Картинках С Пояснениями
Джинсы Хулиганы Мужские Фото
Баба Снимает Трусы В Лесу Фото
Серые Эстетичные Картинки
Артист Кино Фото И Фамилии
Покажи Фото Ноутбука
Ванна В Декоративной Штукатурке Фото
Геометрия Фото Омск
Порно Фото Исланд Студия Голые Мужчины
Купить Обои Под Кирпич Фото
Красивый Маникюр Омбре Фото Самый Шикарный
Макияж Блондинки С Зелеными Глазами Фото
Член В 12 Лет Фото Форум
Картинка Робота На Прозрачном Фоне
Бежевый Рапид Фото
Фотографии Грабко Ивана
Фото Порно Платья Без Белья
Распечатать Картинки Холодного Сердца
Фото Ножей Из Стандофф
Ян Облак Футболист Фото
Голи Фото Большой Толстый Член Транссексуал
Белые Зимние Колготки Порно Фото Бесплатно
Машина Доставка Картинка
Обработка Фотографий На Пк Бесплатно
Фото Дня Ххх
Картинки Детский Садик Дети
Александр Никитин Актер Биография Фото
Куплю Тойоту Во Владивостоке Цена Фото
Корейская Хризантема Зимующая Фото Название И Уход
Фото Золотая Осень Природа Красивые На Заставку
Гранат Гюлоша Розовый Описание Сорта Фото Отзывы
Как Сделать Hd Картинку
Атопический Дерматит Лечение У Взрослых Мази Фото
Блузки Рубашечного Типа Фото
Поиск По Фото Твиттер
Бедра На Пляже Фото Порно
Куликова Семья Фото
Дерево В Дизайне Интерьера Фото
Белый Коридор В Квартире Фото
2 Фото 1 Слово
Ты Мое Солнышко Картинки Любимой Девушке
Картинки Для Инстаграм Постов Бежевые
Скачать Программу Живое Фото
Минет Жирных Фото
Вывих Зуба Фото


























.jpg)































































