Выполнена КТ

Выполнена КТ

Немедицина

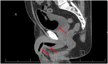
Рис. 1. Компьютерная томография: Стрелки указывают на монтажную пену в мочевыводящих путях.

Немедицина

Report Page