Вторая часть статьи
НемедицинаТри дня после концерта пациентка проснулась с "гриппом", который состоял из общего недомогания, лихорадки, артралгий в коленях и сыпи. Пациентка также отметила, что её "челюсть уходила в сторону", явный лицевой гемипарез. Семья не имела медицинской страховки и лечила пациентку ацетаминофеном и лосьоном с каламином. Сыпь, лихорадка и опущение лица разрешились в течение недели, но пациентка продолжала испытывать сонливость и недомогание. Три недели после начала пациентка обратилась за медицинской помощью по поводу возможной болезни Лайма в офис семейного врача. Медицинское обследование было, по сообщениям, отрицательным, и никакого лечения не было получено. Она оставалась в глубоко депрессивном, вегетативном состоянии, во время которого была неспособна прекратить спать или есть. Пациентка пыталась пойти на работу, но начала чувствовать, что её коллеги говорят о ней за спиной и хотят её уволить. Это был первый раз, когда она услышала голос мужчины, который мучает её. Она прошла психиатрическую оценку и была диагностирована с хронической параноидной шизофренией.
В течение следующих 6 лет её психотические симптомы оставались рефрактерными к многочисленным типичным нейролептикам как в низких, так и в высоких дозах. Её нарушение сна было нечувствительным к поведенческим техникам, тразодону, бензодиазепинам, антигистаминам и хлоралгидрату. Записи указывают на отсутствие назначений, стабилизаторов настроения или атипичных антипсихотических препаратов, таких как рисперидон или клозапин. Лечение психотропными препаратами было прекращено 1 год до этой госпитализации из-за явного отсутствия пользы; таким образом, пациентка получала чисто поддерживающую психиатрическую помощь.
Социальная и медицинская история:
Пациентка росла в стабильной семейной обстановке с обоими родителями и несколькими братьями и сестрами, однако после иммиграции в Соединенные Штаты семья пережила несколько финансовых трудностей. В детстве она регулярно подвергалась телесным наказаниям со стороны няни, но не подвергалась сексуальному насилию. В детстве с ней произошло два травмирующих события. Первое произошло в возрасте 5 лет, после ссоры с 7-летней сестрой из-за велосипеда. Пациентка, опасаясь, что няня "выпорет" ее за несговорчивость, в гневе отказалась садиться на велосипед и заявила, что хотела причинить вред своей сестре, которая затем проехала 100 ярдов по улице и была смертельно сбита приближающимся грузовиком. В результате этого ужасного совпадения пациентка прожила последние 20 лет своей жизни, втайне веря, что она "использовала свои способности", чтобы стать причиной смерти своей сестры.
Второй случай произошел в возрасте 7 лет, когда пациент заболел тяжелой формой лихорадки денге - вирусного заболевания, передающегося от комаров и напоминающего грипп, которое чаще всего проходит самостоятельно, но может привести к летальному исходу. Она была госпитализирована на 1 месяц, ей требовалась внутривенная гидратация и поддерживающая терапия, но у нее не было заметных долгосрочных негативных последствий.
Нейропсихиатрические и лабораторные исследования:
Первичное обследование пациента 6 лет назад и обследование во время этой госпитализации включали компьютерную томографию головного мозга, ЭЭГ, полный анализ крови и биохимический анализ, анализы функции щитовидной железы, сыворотки и мочи на токсикологию, определение уровня фолиевой кислоты и витамина В12, а также ЭКГ; все результаты были в пределах нормы. У пациента были отмечены достоверно положительные сывороточные титры на Borrelia burgdorferi (болезнь Лайма); оптическая плотность титра составила 0,393 при отрицательном пороговом значении 0,103. (Отрицательный порог определяется как 3 стандартных отклонения, превышающих среднее значение для 10 отрицательных контролей.) Вестерн-блоттинг-тестирование сыворотки показало слабую реактивность IgM (иммуноглобулина) к трем антителам (18 кДа, 41 кДа, 72 кДа) и IgG-реактивность к двум антителам (34 кДа и 70 кДа). Чтобы исключить потенциальную перекрестную реактивность антител, были проведены следующие тесты: определение титров на ВИЧ, краснуху, тест на антинуклеарные антитела и тест на поглощение флуоресцентных антител трепонемой; результаты были отрицательными. Спинномозговая жидкость отличалась отсутствием лейкоцитов и микроорганизмов, нормальным уровнем белка и глюкозы, а также положительным результатом ИФА-анализа ликвора на болезнь Лайма (оптическая плотность 0,237; порог отрицания 0,084). Вестерн-блоттинг CSF был отрицательным на реактивность IgM, но присутствовала слабая реактивность IgG (41 кДа, 45 кДа, 58 кДа и другие неспецифические диапазоны Центров по контролю и профилактике заболеваний [CDC]). Анализ ее ликвора на полимеразную цепную реакцию также дал отрицательный результат. Этих лабораторных результатов было недостаточно, чтобы соответствовать критериям CDC для болезни Лайма, и на данном этапе никаких дальнейших исследований или лечения не проводилось.
Было проведено нейропсихологическое тестирование, результаты которого показали противоречивую картину легкой дисфункции правого полушария головного мозга. Во время тестирования пациентка жаловалась на сильную усталость, а когда ей разрешили небольшой перерыв, сразу же крепко уснула, не меняя положения тела. У нее были незначительные нарушения в обработке невербальной информации и решении проблем, что было продемонстрировано. У нее был обнаружен низкий средний уровень интеллектуального функционирования при нормальной беглости речи и отсутствии признаков вербального словооборота или дислексии. У пациентки проявилась легкая структурная диспраксия, когда ей сначала было трудно нарисовать часы, но она смогла самостоятельно исправить это и создать неповрежденный и точный рисунок. В ходе теста на распознавание визуальных форм она допустила как незначительные ошибки при повороте, так и серьезные ошибки при повороте, когда ее попросили сопоставить ряд простых геометрических фигур; однако она смогла правильно нарисовать геометрические фигуры по пересмотренной шкале Векслера для запоминания. Шкала показала сохраненные способности к запоминанию, а также гибкость ума при составлении маршрута; Однако она немного отстала в выполнении части А, набрав наименьший десятый процентиль. Ее внимание и концентрация также были в пределах нормы, и она показала лучшие результаты, чем ожидалось, учитывая ее интеллект.
Проверка психического состояния:
Пациентка была похожей на ребенка, жизнерадостной, подвижной молодой женщиной, которая подробно и бегло рассказала историю болезни. Заметной асимметрии лица не было. Интервью отличалось тем, что она не проявляла эмоций, неуместно улыбалась и постоянно самостимулировала покачивания тазом. У нее не было эйфории, раздражительности, подчеркнутой речи или полета идей, и в анамнезе не было явных маниакальных эпизодов. Она сообщила о мании преследования, которая уже была отмечена ранее. У нее не возникло трудностей с интерпретацией пословиц или сходств. Атипичный и мультисенсорный характер ее галлюцинаций (слуховых, зрительных и тактильных) и диссоциативный характер ее ночных криков были признаны несовместимыми с диагнозом шизофрении; скорее, симптомы напоминали психотические диссоциативные припадки. Поскольку гипнотизируемость редко наблюдается при шизофрении, но тесно связана с посттравматическим стрессовым расстройством (ПТСР) и тяжелыми диссоциативными состояниями, гипнотизируемость пациента оценивалась с использованием профиля гипнотической индукции. В состоянии сильного гипноза и в состоянии транса, по-видимому, вспомнила владельца дома, который приставал к ней, пока она спала. Она сказала, что мужчина лег на нее сверху и начал приставать к ее гениталиям, но не вступил с ней в половую связь. Она сказала, что боится пошевелиться, потому что "у него ужасный взгляд, и он хочет меня обидеть". Она сказала, что не могла проснуться, хотя и понимала, что происходит. Пациентка сказала, что сразу почувствовала себя "грязной и отвратительной" и очень разозлилась. Когда ее спросили, что бы она хотела сделать в этот момент, она ответила: "Взять пистолет, выстрелить ему в голову, выстрелить ему в гениталии, выстрелить в него, а затем застрелиться".
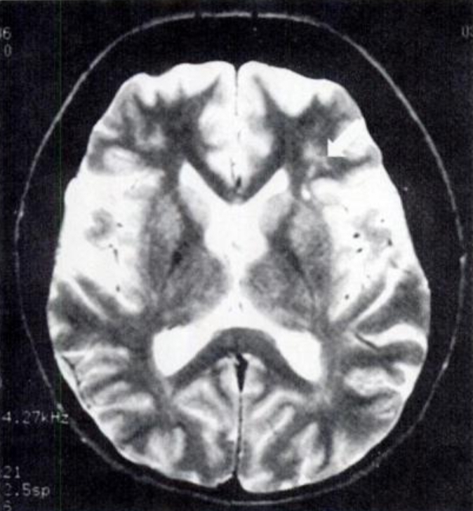
После сеанса гипноза пациентка в течение короткого периода времени помнила события так, как она их описывала; затем она стала крайне возбужденной, бредовой и безутешной. Она отказалась снова входить в транс. Она решительно отрицала, что имело место какое-либо сексуальное домогательство, заявив: "Я бы знала, если бы это произошло". Ее семья не знала о подобном событии, и в настоящее время факт домогательства остается неподтвержденным. Был поставлен предварительный диагноз ПТСР с психотическими признаками и начато комплексное лечение.; Она включала фармакотерапию широкого спектра действия для уменьшения симптомов, еженедельную психотерапию, направленную на выявление и переосмысление травмирующих событий, а также более строгое ведение пациента. Флуоксетин был начат с дозы 10 мг/сут с планируемым максимальным снижением в течение 3-4 месяцев, чтобы свести к минимуму как сексуальную компульсивность, так и расстройства настроения. Однако при приеме 60 мг флуоксетина в день у пациентки наблюдалось значительное снижение сексуальной активности. Она сильно разозлилась и резко прекратила принимать все свои лекарства, что потребовало срочной госпитализации. Меньшая доза, 40 мг/сут, помогла ей справиться с расстройством настроения, но не изменила ее эротических пристрастий и постоянной мастурбации. Кроме того, для блокирования ее гиперактивности и симпатической реакции был использован бета-блокатор (пропранолол по 10 мг три раза в день). Поскольку в прошлом у нее не было реакции на обычные нейролептики, было начато лечение атипичным нейролептиком (рисперидон, 3-6 мг/сут). При приеме рисперидона в дозе 3 мг/сут у пациента наблюдались экстрапирамидные побочные эффекты, и он отказался увеличивать дозу. В течение первых нескольких месяцев пациентка прекратила принимать все свои лекарства, потому что "они не работают". В попытке стабилизировать настроение были проведены краткие тесты на карбонат лития и вальпроевую кислоту, но пациентка отказалась продолжать прием каких-либо препаратов. Из-за трудностей с соблюдением режима клозапин не назначался. В течение 10 месяцев пациентка постепенно становилась менее тревожной, более уверенной в себе и интерактивной. Ее бредовая система не изменилась, и, хотя ночные кошмары и приступы бессонницы продолжались, она смогла отвлечься на повседневные дела. Она предприняла несколько безуспешных попыток заняться работой и учебой, но жаловалась на дневную сонливость и трудности с концентрацией внимания на сложных задачах. Была получена консультация для оценки возможной нарколепсии. Дневная сонливость пациента характеризовалась внезапным появлением галлюцинаций, трудностями при пробуждении, спутанностью сознания и дезориентацией с редкой катаплексией, но не была отмечена автоматизмом, как это можно наблюдать при височной эпилепсии. Ночная полисомнограмма (тест на множественную латентность сна) выявила короткую латентность сна в серии из пяти дневных переходов и фазу быстрого сна в трех из пяти. Был диагностирован синдром нарколепсии-катаплексии, и пациентка начала принимать кломипрамин по 50 мг два раза в день. Первоначально она сообщала об улучшении ночного сна, в том числе о значительном уменьшении числа ночных кошмаров; однако при дополнительном психосоциальном стрессе у нее наблюдалось обострение симптомов. Из-за неполного ответа пациента на лечение ПТСР и связи нарколепсии с повреждением ЦНС (например, инфекцией), возможность болезни Лайма как этиологии была пересмотрена, несмотря на первоначальные неубедительные титры антител. Была получена магнитно-резонансная томография (МРТ) головного мозга с контрастированием гадолинием, которая показала рассеянные точечные очаги аномалий сигнала диаметром 1-2 мм в подкорковом белом веществе на Т2-взвешенных изображениях, преимущественно в лобных долях (рис. 1).

Не было отмечено увеличения желудочков или аномального увеличения паренхимы или лептоменингеальной области. Для определения функционального мозгового кровотока была проведена однофотонная эмиссионная компьютерная томография (ОФЭКТ), в то время как пациент активно галлюцинировал. Это выявило более низкий, чем обычно, кровоток в лобно-височных областях с обеих сторон (рис. 2).;

очагов ишемии отмечено не было. Поскольку это состояние может быть связано с облитерирующим процессом в кровеносных сосудах среднего размера, была проведена неврологическая консультация; при отсутствии инфаркта не было показаний к назначению церебральных вазодилататоров или антикоагулянтов. На основании совокупности данных анамнеза о начале заболевания и результатов анализа сыворотки крови, ликвора и МРТ диагноз пациента был изменен на возможный нейроборрелиоз (болезнь Лайма, поражающая центральную нервную систему). Был установлен чрескожный постоянный центральный венозный катетер, и пациентка получила 4-месячный курс ежедневного внутривенного введения цефтриаксона, который вводила бригада по уходу на дому. После 4 недель антибиотикотерапии повторные серологические исследования на вирус Лайма показали более высокие, чем обычно, титры (0,478; отрицательный результат 0,117), а СМЖ выявил наличие антител IgM (39 кДа, 41 кДа и другие); эти данные соответствовали острой боррелиозной инфекции и были достаточными для соответствия критериям CDC для выявления активный нейроборрелиоз. Симптомы пациентки не менялись до четвертого месяца антибактериальной терапии, когда она начала "чувствовать себя лучше". Ее бредовая система, хотя и оставалась неизменной, стала менее навязчивой, и она впервые за 7 лет смогла работать полный рабочий день. К сожалению, пациентка восприняла это новоприобретенное средство как "лекарство" и решила прекратить внутривенную терапию антибиотиками. Три недели спустя у нее началось полномасштабное обострение симптомов, потребовавшее госпитализации. Были проведены консультации с коллегами, которые опубликовали сообщения о случаях длительной антибактериальной терапии рефракционного или рецидивирующего нейроборрелиоза, и было принято решение возобновить внутривенную терапию.
Многоосевой диагноз DSM-IV для этого пациента показан на рисунке 3.