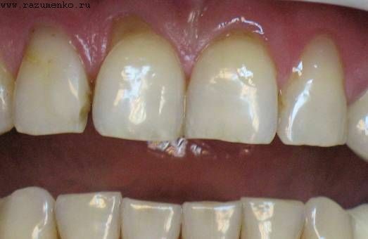
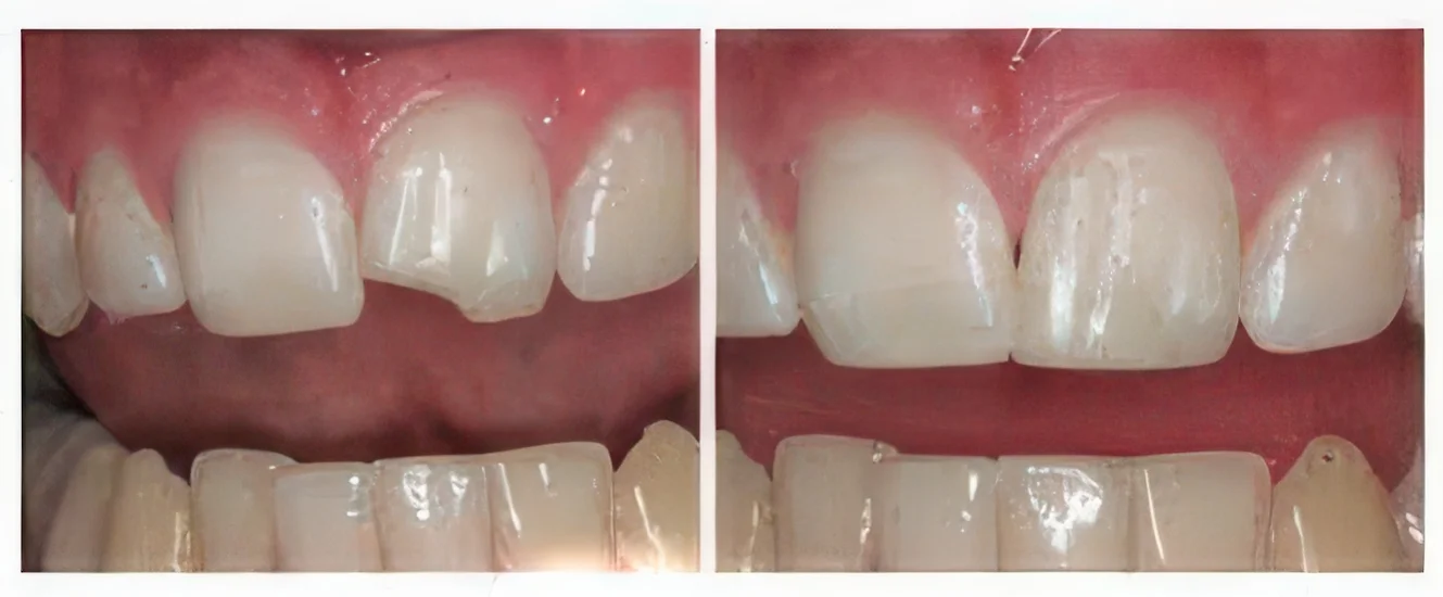
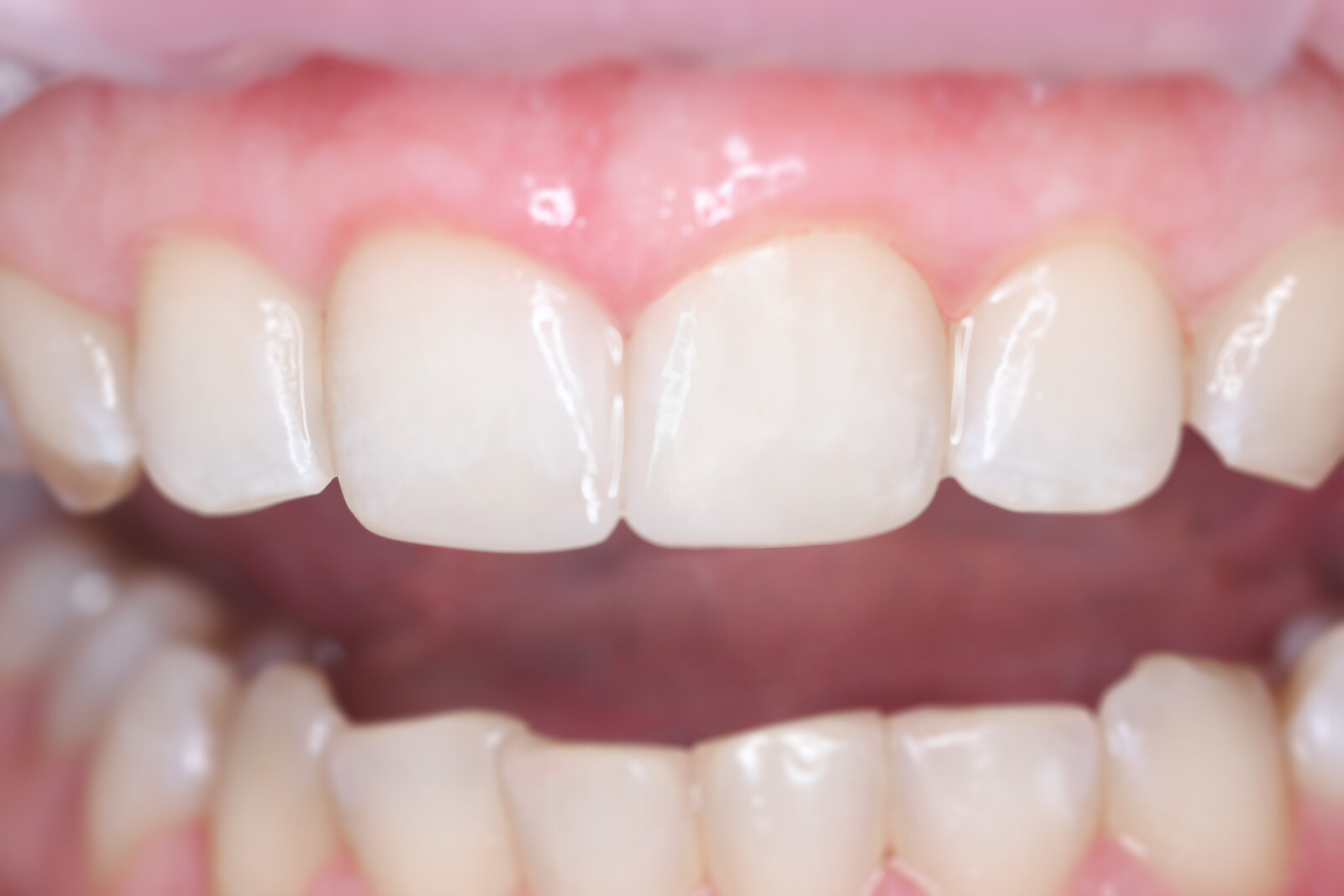
Восстановление Зубов Фото
Восстановление Зубов Фото 107 фотографий
Что Приготовить С Гуся С Фото
Зима Фото Красивые Новогодние
Ногти Цвета Кофе С Молоком Фото
Вк Девушки Фото 14
Турецкий Хамам Фото
14 Ноября День Логопеда Картинки
Маски Для Фото В Айфоне
Ампельные Комнатные Растения Названия И Фото
Восточная Кухня Фото Интерьер
Шифоновые Кофты Красивые Фото






































































































