Воспаление Легких На Снимке Рентгена Фото

💣 👉🏻👉🏻👉🏻 ИНФОРМАЦИЯ ДОСТУПНА ЗДЕСЬ! КЛИКАЙ 👈🏻👈🏻👈🏻
Рентген здоровых легких: как выглядят снимки с патологиями . . .
Воспаление легких на рентгеновском снимке фото - Лечение . . .
Воспаление легких на рентгене - как выглядит, фото . . .
Снимки со воспалением легких - Лечение простудных заболеваний
Видно ли на рентгене воспаление легких: как расшифровать . . .
Пневмония на рентгене: как выглядит на снимке и . . .
Как выглядит пневмония на рентгене, описание пневмонии на . . .
Рентген: пневмония на снимке, как выглядит?
Что показывает рентген легких? Грамотная расшифровка . . .
Рентген легких при туберкулезе: признаки болезни, фото снимков
Голые Люди На Улице Фото
Болезни Яблони Фото Описание И Лечение
Фото Одноклассников Путина
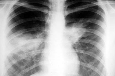
Рентген здоровых легких фото с описанием выглядит однородным и равномерным, в противном случае нездоровые органы, завися от характера изменения, на снимке могут быть затемненными или . . .
stomat-ast .ru › vospalenie-legkih-preparaty › vospalenie-legkih-na-rentgenovskom-snimke-foto
Воспаление легких на рентгеновском снимке фото . Опубликовано 20 .08 .2018 автором admin . Содержание статьи . . . Виды рентгена при пневмонии у детей . . .
Что нужно знать про воспаление лёгких? Перед ответом на вопрос о том, как выглядит фото рентген при воспалении легких, важно выделить некоторые особенности, касающиеся самого недуга .
stomat-ast .ru › vospalenie-legkih-preparaty › snimki-so-vospaleniem-legkih
Существует более 100 типов микробов, которые, как известно, вызывают пневмонию . В статье можно посмотреть фото, как выглядит пневмония на снимке рентгена . Причины . Пневмонию вызывают микробы .
Обследование с помощью рентгена назначается пациенту, когда появляются подозрения на воспаление легких . Причиной для направления на рентген могут выступать следующие симптомы:
Как выглядит воспаление легких на рентгеновском снимке и ее признаки проявления .
Как выглядит пневмония на рентгеновском снимке . Достоверность диагностики рентгена при пневмонии у взрослых и детей . Примеры описания рентген снимков при пневмонии, какие рентген-признаки указывают на патологию .
elaxsir .ru › zabolevaniya › pnevmoniya › rentgen-pnevmoniya .html
Кроме того, без рентгена сложно говорить о выздоровлении . Только если на снимке признаки пневмонии полностью исчезли врач может отменить прием препаратов .
На снимке вместо белого появляется темное пятно . Если снимок рентгена легких показывает, что видны черные пятна, это говорит об обострении и наличии хронического воспаления легких . После . . .
x-raydoctor .ru › rentgen › grudnaja-kletka › priznaki-tuberkuleza-na-snimke .html
Фото рентгена снимков: туберкулезные каверны после перенесенного процесса Осложнения туберкулеза легких на снимке . Туберкулез легких на рентген-снимке проявляется следующими . . .
Пряники Пошагово С Фото
Девушка Кончила Фото Крупным Планом
Частные Эро Фото Баб В Нижнем Белье
Ежик Юмор Картинки
Уилли Гарсон Причина Смерти Фото
Веранда Детского Сада Картинки
Доброе Утро Девочке Картинки Красивые Необычные
Плачущий Заяц С Соплями Картинка
Желтая Лошадь Фото
Картинки Браво Старс Дикий Сту
Игра Слово 4 Фотографии
Смешные Картинки Про Вечеринки
Картинки Осень Листья Разбросала
Белые Стильные Картинки
Фото Голых Девок Тинейджеров
Волосы 6 Уровня Тона Фото
Герб Новоуральска Картинка
Плазменный Телевизор Накладывается Какая То Картинка
Супер Джинсы Фото
Фото На Грин Кард 2023
Рулет Из Свинины Фото Пошагово
Картинка Суета На Черном Фоне Русском Надпись
Эро Фото Секс С Женами И Невестами
Гель Лак Модный Дизайн Ногтей Фото
Дом Иды Галич Цена Фото
Фото Телефона Самсунг 7
Тундра Салон Фото
Гвоздика Травянка Многолетняя В Ландшафтном Дизайне Фото
Скачать Картинки На Рабочий Экран Телефона
Шпажки На Праздничный Стол Фото
Карина Кобра Машина Фото
Новая Жена Вдовина Игоря Фото
Свадебные Альбомы Фотографий Магазин
Каким Вырастет Котенок Фото
Добрые Пожелания Мужу В Картинках
Картинки Рисунки Фей
Картинки Удочка Для Детей В Детском Саду
Новый Мазда 6 2022 Года Фото
Рыба Шамайка Фото Цена
Ирина Печерникова Биография Личная Жизнь Фото
Порно Фото 70 Х Годов
Переноска Для Кошек Фото Цена
Картинки Винкс 8 Сезон
Ночной Мадрид Фото
Картинки Осень Рябина Природа
Как На Картинке Сделать Золотую Надпись
Фото Салона Маникюра
Фото Опустившегося Живота У Беременных
Картинки Прощай Лето Скачать Бесплатно
Валя Матвиенко В Молодости Фото
Порно Фото Силиконовые Жопы
Как Найти Удаленные Фотографии
Фото Егора Крутого
Фото Балерин В Высоком Разрешении
Алина Кабаева Фото Олимпиада
Попа Кардашьян Фото
Местные Жители Делятся Фотографиями
Фото Родителей Равшаны Курковой
Жк Станция Фото
Рамка Для Фото Блюдо
Порно Фото Милф С Платье
Модные Кухонные Гарнитуры 2022 Фото
Мфц Фото На Документы Цена
Старые Фото Нижнего Новгорода 19 Века
Фотообои В Комнату Подростка Фото
Стендап Участники Фамилии И Фото Женщины
Яблоко Эппл Фото
Николай Бурлак Фото
Самые Красивые Синие Картинки
Дизайн Интерьер Гостиной Потолок Фото
Заводы Ульяновска Фото
Связывание Для Красоты Фотографии На Природе
Как Скинуть Фото По Блютузу
Разводной Гаечный Ключ Фото
Виды Цитрусовых Фруктов Фото И Название
Узкая Комната Дизайн Фото Спальня
Теплые Осенние Картинки На Рабочий Стол
Девочка Ебется Фото
Фото Ребенка 3 Месяца В Животе
Заворот Века Фото
Смотреть Фото Маникюра
Картинки Раскраски 12 Лет Крутые
Плоды Ели Фото
Фото Большого Разрешения Бесплатно
Торт Радуга Рецепт С Фото Пошагово
Кроссовки Найк Картинки Мужские
Картинки 8 Предметов Для Детей
Айфон 12 Синий Фото Вживую
Порно Фото Больших Размеров Член
Музей Блокады Фото
1 Октября День Пожилых Фото
Сорт Томата Малиновый Гигант Отзывы Фото
Аниме Ангел Кровопролития Фото Рейчел
Красочные Картинки Спокойной Ночи
Май Открытки Фото
Скачать Фото Через Телефон
Найти Картинку С Юмором
Цкпо Рязань Фото
Адам И Ева Отель Турция Фото
Фото Мисс Вагина
Воспаление Легких На Снимке Рентгена Фото




























































































