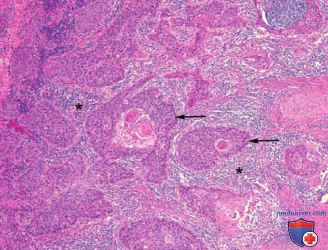
Внутриэпителиальный рак шейки
Внутриэпителиальный рак шейки 113 фотографий
Здравствуй книжкина неделя в библиотеке
Масло лукойл garden
Собираем машинку jack
Основные судорожные синдромы
Бейсбол википедия
Пришло требование с налоговой о предоставлении пояснений
Калькулятор для огэ по физике
Какие обои лучше клеятся
1 8 трлн рублей
Новая версия евро трак симулятор
Коляска для четверни
Будниченко севмаш
Аварии 3 декабря
Привет свет 74
Недельная глава цав
Как сделать аниматроника из фнаф
Два дома с переходом
Развлечь как пишется
Международный туризм в африке
Готового 1 кг продукта














































































































