Вигантол При Рахите

💣 👉🏻👉🏻👉🏻 ИНФОРМАЦИЯ ДОСТУПНА ЗДЕСЬ! КЛИКАЙ 👈🏻👈🏻👈🏻
Вигантол - эффективный лекарственный препарат при рахите . . .
Вигантол Витамин Д 3 (капли) - применение, отзывы и цены
Вигантол: можно ли детям и лекарственное взаимодействие
Вигантол: инструкция по применению, цена, отзывы, аналоги
ВИГАНТОЛ - инструкция по применению, цена, отзывы и аналоги
Вигантол - капли: цена, инструкция по применению, состав и . . .
Вигантол как принимать взрослым при дефиците
Вигантол для детей: инструкция по применению, сравнение с . . .
Вигантол против АкваДетрим — 24 ответов | форум Babyblog
ВИГАНТОЛ капки 10 мл (VIGANTOL drops 10 ml), цена и информация
Бисопролол 1.25
Кардосал Или Вальсакор Что Лучше
Биогая Или Аципол Малыш Что Лучше Форум
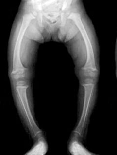
Рахит - патология, которая очень часто диагностируется у детей и возникает при недостатке в организме витамина Д . Родителям, которые заметили, что скелет малыша деформировался, необходимо немедленно обратиться к . . .
Лечебная дозировка при рахите: 2—8 капель ежедневно . При мальабсорбции: 6—10 капель . Точную норму устанавливает врач по результатам анализов .
При рахите врач может назначить от 2 до 8 капель препарата . Передозировка Вигантолом Передозировка препаратом возникает из-за накапливания в тканях лишнего Д3 . При передозировке имеют место следующие симптомы: головная боль анорексия диарея запор привкус металла во рту тошнота и рвота сильная слабость гипертония аритмия миалгия
Профилактика рахита: доношенным здоровым детям Вигантол назначают со 2 недели жизни по 1 капле (около 667 ME витамина D3) ежедневно . Недоношенным детям назначают со 2 недели жизни по 2 капли (1334 ME витамина D3) ежедневно . Препарат следует принимать в течение первого и второго года жизни, особенно в зимние месяцы .
Рекомендуемая дозировка для детей при рахите составляет от 2 до 8 капель . При остеомаляции, вызванной недостатком витамина Д, дозировка аналогичная, но терапия продолжается порядка года .
Вигантол - это эффективное средство, которое способно восполнить недостающее количество витамина Д3 в организме взрослого и ребенка . Препарат имеет такие показания к применению: Профилактические меры, направленные на предупреждение рахита и остеомаляции . Эти проблемы часто возникают и у детей, и у взрослых .
Лечебная дозировка при рахите: 2—8 капель ежедневно . При мальабсорбции: 6—10 капель . Точную норму устанавливает врач по результатам анализов .
При рахите лекарство выписывают в дозировке 2-8 капель (от 1 до 5 тысяч МЕ) в сутки . Если у ребенка спровоцированная дефицитом витамина Д остеомаляция, Вигантол выписывают в такой же дозировке, а лечение длится 1 год . Дозировка при гипопаратиреозе зависит от уровня кальция в плазме крови . Она может составлять от 15 до 30 капель в сутки или больше .
Вигантол против АкваДетрим Рахит и его профилактика
Здравейте, при покупка на Вигантол . При първото отваряне няма запечатване с пръстен, а шишето се отворя свободно, все едно е било отворено преди . Така ли трябва да бъде при закупуването му .
Тиамин Гидрохлорид Цена Таблетки
Саксенда Чей Препарат
Релиф Свечи Жжение В Заднем Проходе
От Чего Периндоприл Таблетки От Какого Давления
Финлепсин Карбамазепин 200
Румалон Уколы Апрель Аптека
Каталина Круз Фото
Метоклопрамид К Какой Группе Препаратов Относится
Валвир 42 Таблетки Цена
Отривин Море Инструкция
Флюдитек При Ларинготрахеите
Нолипрел 5 0.625
Нужна Купид Карола Тачикистан
Валацикловир Схема
Нанотропил Назначение
Солкосерил Цена В Спб Аптека Озерки
Орниона Крем Цена Отзывы
Таблетки Твинста Цена
Антидепрессанты Обратного Захвата Серотонина И Норадреналина
Экоклав Инструкция По Применению Цена Отзывы
Таблетки От Сухого Кашля Взрослым При Бронхите
Парацетамол Смертельная Доза Для Человека Штук
Тримедат Польза
Нитрат Свинца 2 И Йодид Калия Осадок
Для Чего Используется Нистатин
Пикамилон Грудничку
Цистон Цена В Спб Аптека Озерки
Капли Косопт Аналоги
Урсофальк Капсулы 250 Цена
Препараты Содержащие Диклофенак
Урсосан Форте 500мг
Тиоцетам Внутримышечно
Лактазар Для Взрослых Отзывы
Какие Свечи Утрожестан
Иммуноглобулин Показания К Применению
Кандид Мазь Вагинальная
Циклоферон Профилактика Орви Взрослым
Сколько Дать Супрастин
Здравсити Бонусы
Нейрокс 5 Цена
Когда Появится Препарат Лозап Плюс
Дексаметазон Ампулы Тюмень
Пробиолог Срк Форум
Визарсин Срок Годности
Янтарная Кислота Тюмень
Как Выглядят Таблетки Панцеф Фото
Бронхотон От Какого Кашля
Момат Online
Дельфиниум Отзывы Садоводов
Гриппферон Капли Сушат
Витатека Фито Крем
Флуифорт И Амбробене Вместе Можно Принимать
Кандид Горла Лечение
Отхаркивающее Средство Флуимуцил
Ритонавир Аналоги И Синонимы
Венолайф Дуо Отзывы Аналоги
Эдарби Таблетки От Давления Применение
Тилорам Для Профилактики
Инфанрикс Екатеринбург
Спазмалин Помогает Ли От Зубной Боли
Хофитол При Желтухе Новорожденных Отзывы
Парацетамол При Кормлении Новорожденного Грудным Молоком
Ранитидин Саранск
Пассажикс Инструкция По Применению Таблетки Взрослым
Хайлефлокс Инструкция Аналоги
Гидроксизин Канон Для Чего Принимают Таблетки
Поливитамины Супрадин Цена
Ортосифон Инструкция По Применению Цена
Эрва Шерстистая Трава Для Чего Предназначена
Иван Чай Отель
Экзодерил Эффект
Периндоприл Или Эналаприл Отзывы
Сироп Панцеф Отзывы
Какие Пивные Дрожжи Лучше От Прыщей
Гипертрофия Небных Миндалин Фото
Кровохлебка Pink Tanna
Сколько Выходят Глисты После Немозола
Тексаред Уколы Отзывы Форум
Джеймс Браун Менс
Экламиз Производитель
Папаверин При Мкб
Фурункул На Половой Губе Большой Лечение Димексидом
Сколько Стоит Заноцин
Мукалтин Таблетки При Пневмонии
Е Батон Коэнзим Отзывы
Папаверин Раствор Детям
Кокарбоксилаза Уколы Цена 5 Ампул
Показания К Применению Нольпазы
Дицинон Отзывы Аналоги Цена
Пивные Дрожжи От Фурункулеза Отзывы Покупателей
Магнезиум Энерджи Отзывы
Димедрол Плюс Анальгин Укол
Сколько Принимать Ноотропы
Свечи Ноноксинол Цена В Аптеке
Постинор Инструкция По Применению Для Прерывания Беременности
Гель На Основе Воды И Глицерина
Боли От Элевита
Вигантол Ребенку 8 Лет
Ксарелто 20 Мг Цена В Нижнем Новгороде
Церукал Таблетки Отзывы Форум
Вигантол При Рахите






















































































