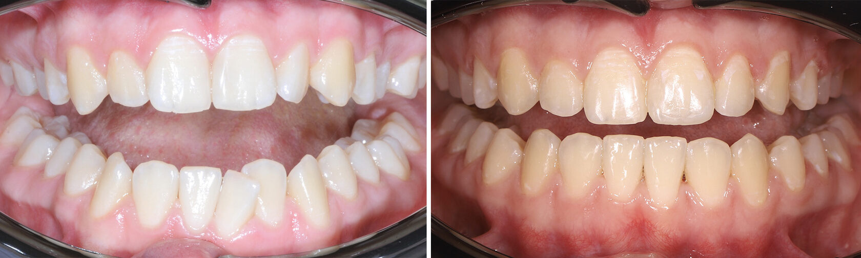
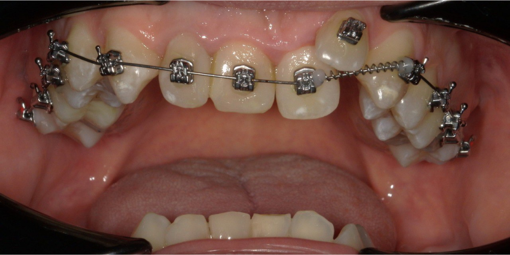
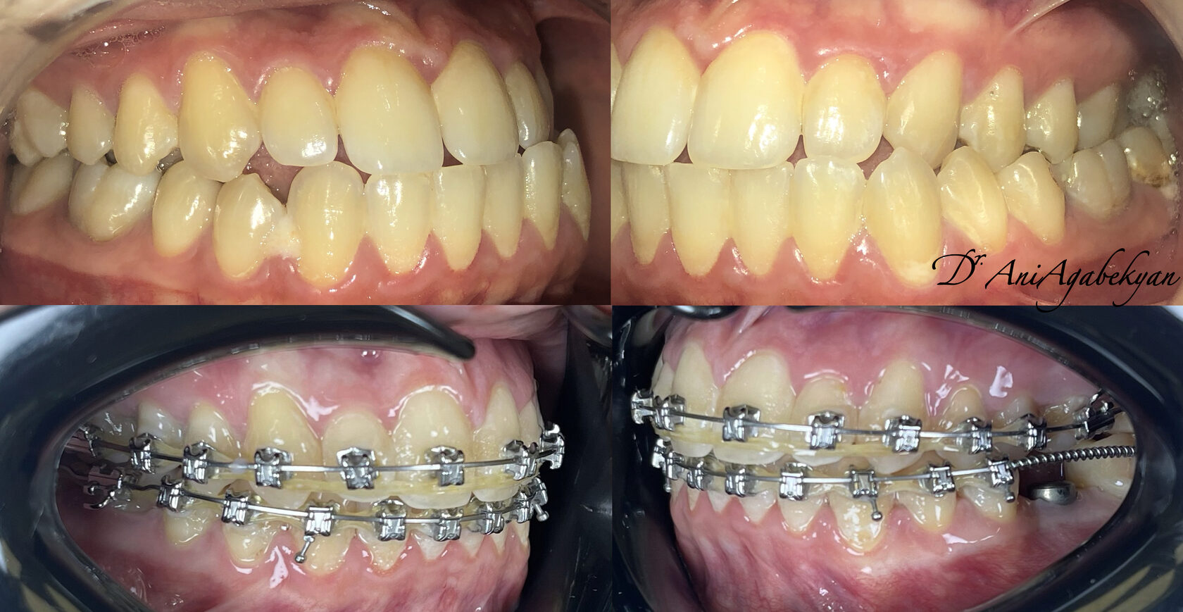
Верхняя Челюсть Вперед Фото
Верхняя Челюсть Вперед Фото 109 фотографий
Картинки Счастливого Пути Хорошей Дороги Дорогой
Стенка Оскар Белый Глянец Союз Мебель Фото
Фото С Дом Малютки Детишек Город Волгоград
Саратовская Область Карта Фото
Александр Мороз Фото
Сорта Дюки Фото Описание
Виды Рыб Петушков С Фото И Названиями
Омбре Френч Ногтей Фото
Ленин В Юности Фото
Новый Лексус Рх 2026 Фото Цена










































































































