Верхние Резцы Фото

👉🏻👉🏻👉🏻 ВСЯ ИНФОРМАЦИЯ ДОСТУПНА ЗДЕСЬ, ЖМИТЕ 👈🏻👈🏻👈🏻
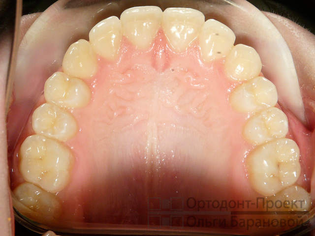
В статье рассматривается анатомия зубов - резцов, клыков .
Боковой верхний резец | Статьи
Зубы человека - строение, фото, нумерация и расположение
Зубы человека: анатомия, строение, функции
Строение зубов человека: анатомия, из чего состоит поверхность . . .
Строение зуба человека, зубы верхней челюсти
Особенности зубов-резцов: где они расположены в зубном ряду . . .
Боковой резец верхней челюсти
Как выглядит правильный прикус у взрослого человека: фото . . .
Как выглядит правильный прикус у человека: примеры с фото
Фото Девушек В Трусиках Снизу
Грудь После Удаления Имплантов Фото
Фото Шторы Тюль 2022
Верхний медиальный резец самый большой из группы резцов . Губная поверхность его коронки выпукла в поперечном и в продольном направлениях . Она имеет 3 небольших продольных . . .
Верхние резцы . Центральный верхний резец . Центральный верхний резец прорезывается (один в квадранте) в возрасте от шести до семи лет, а полное формирование апикальной трети . . .
Размеры зубов человека . Верхние центральные резцы в два раза шире своих антагонистов . Остальные одноименные зубные единицы обладают примерно равными параметрами .
Резцы — передние зубы,прорезаются первыми у детей, применяются для разрезания и захватывания пищи На фото представлен вид зубной единицы в разрезе .
Резцы . Резцами называют элементы, расположенные в центре челюсти . Верхние центральные зубы больше всего подвержены повреждениям в виде трещин на эмали и сколов .
На фото поверхность зуба (желтая), эмалеобразующий слой (синий) и дентин (коричневый) . Резцы: В норме у взрослого человека 8 резцов (11, 12, 21, 22, 31, 32, 41, 42) - центральные . . .
Природа позаботилась о человеке, наградив его зубами . Откусывать и проводить первичную обработку пищи помогают резцы - без них ни о каком полноценном питании не может быть и . . .
www .ruzanadent .ru › rezcy .html
Боковой резец верхней челюсти по размерам уступают центральным, средняя длина зуба 23 мм . (21-25 мм .) . Режущий край образуется при схождении губной и нёбной поверхности .
Понимая, каким должен быть правильный прикус у взрослого человека, и как должна выглядеть схема соотношения зубов на фото рентгена, можно подобрать оптимальный план лечения .
orto-info .ru › zubocheliustnye-anomalii › okklyuzii › pravilnyiy-prikus-u-cheloveka-raznovidnosti-i-foto .html
фото: так выглядит правильный прикус . Форма зубных рядов и их относительные размеры Нижние резцы соприкасаются с небными бугорками верхних . Во время жевания моляры . . .
Татьяна Челышева Чистополь Слив Фото И Видео
Идеи Частного Дома Своими Руками Фото
Фото Про Язык
Опять 18 Картинки С Днем Рождения
Картинка Русский Язык 2 Класс Школа России
Торт Аленка Рецепт С Фото
С Днем Водителя Дальнобой Картинки
Найти Человека По Картинке По Фотографии
Болезни Век Фото
Город Сарапул Достопримечательности Фото
Ванна Гренада В Интерьере Ванной Комнаты Фото
Лада 2013 Года Фото
Половые Члены Сперма Фото
Интим Анкеты Фото
Герпес Фото Вируса Половой
Фото Тамбов Ру
Ресторан Скотина В Краснодаре Фото И Цены
В Юбке Вконтакте Фото
Реклама Мтс Фото
Инстаграм Мини Фото
Красивые Картинки Домов На Природе
Фото Упаковки Корма
Картинки Невского Для Срисовки
Красивая Картинка Про Нежность С Надписями
Александры Петровой Голые Фото
Яндекс Облако Войти Фото
Скачать Бесплатно Картинки Море Дельфины
Картинка Выздоравливайте Учителю
Лорикария Аквариумная Рыбка Фото
Угловая Кухня Синего Цвета Фото
Фото Обнаженных Девушек На Заставку
Принцессы Диснея Картинки В Хорошем
Кострома Фото Города Достопримечательности
Поздравления Маме С Днем Рождения Сына Картинки
Детские Картинки Для Мальчиков
Фото Роз В Вазе На Столе
Давно Не Было Фото
Красивые Картинки Пейзажи Природы Закат
Ороговение На Лапах Кур Фото
Фото Павла Дурова До И После Пластики
Красивые Картинки С Пожеланиями Хорошего
Ямете Кудасай Картинки На Обои
Фото Выпечки Пирожков
Фото Рождения Голый
Романтические Открытки Картинки
Информационная Безопасность Детей Картинки
Фото Сада С Плодовыми Деревьями И Кустарниками
Малефисента Картинка На Торт
Пекинская Капуста Кимчи Рецепт Пошаговый С Фото
Елена Махова Актриса Голая Фото
Хорошего Дня И Удачи Картинки Красивые
Фото Розы Поздравления
Фото Нового Ниссан Патфайндер 2022 Года
Лягушка Лошадь Картинка
Создать Видео Из Фото
Фото Рыцарского Замка В Средние Века
Фото Порно Художественное Девушек Красивые Голые
Фото На Управе Самара
Как Выглядит 20 Долларов Купюра Фото
Чичолина Фотографии Фото Сейчас
Программы Для Оголения Фото
Тюнинг Тойоты Прадо 120 Фото
Торт Рыба Рецепт С Фото
Отделка Бревенчатого Дома Внутри Фото
Как Смотреть Фотографии В Облаке
Женщине Бальзаковского Возраста Секс Фото
Фото Сколько Стоит Трактор
Прикольные Смешные Картинки Демотиваторы
Огурцы Арктика F1 Отзывы Фото
Портрет Карандашом Для Начинающих Поэтапно Фото
Знак Вопроса Фото Картинки
Лев Толстой Без Бороды Фото
Все Актеры Кино Фото
Фото Тело До 70 Кг После 55
Ниссан Правый Руль Фото
Картинка Кружка С Цветами
Смешные Картинки Бабы Яги
Фото В 1 Класс Размер
Независимая Кошка Картинки
Севастополь Интересные Места Фото
Красивые Картинки Для Срисовки Разноцветные
Фото 3 Х 4
Печенье Бискотти Фото
Куда Можно Скинуть Фото С Айфона
Детская Карта Сокровищ Картинки
Виноград Лучистый Описание Сорта Фото Видео
Resident Evil 8 Картинки
Кудыкина Гора Липецкая Область Фото Цена
Наивкуснейшие Второе Блюдо С Шампиньонами Фото
Голубая Норка Цветы Фото
Картинка Флаг Рисунок
Юлечка С Днем Рождения Картинки Прикольные Девушке
Фото Ласточки Поезда Изнутри С Местами
Красивые Картинки Энергии Любви
Слайм Игра Картинки
С Днем Рождения Тетя Катя Картинки Красивые
Картинки Про Отца Со Смыслом
С Днем Рождения Лидия Ивановна Картинки Красивые
Подкат Подруге Под Фото
Модные Сумки 2022 Фото Женские Тренды
Верхние Резцы Фото



%20%D0%BF%D1%80%D0%B0%D0%B2%D0%BE%D0%B3%D0%BE.jpeg">




































































%20%D0%BF%D1%80%D0%B0%D0%B2%D0%BE%D0%B3%D0%BE.jpeg">




















