Варгатеф От Фиброза Легких

👉🏻👉🏻👉🏻 ВСЯ ИНФОРМАЦИЯ ДОСТУПНА ЗДЕСЬ, ЖМИТЕ 👈🏻👈🏻👈🏻
Варгатеф инструкция по применению при фиброзе легких . . .
Фиброз Легких: Как Лечить . . . - Medside
Фиброз легких: лечение . Продолжительность жизни при . . .
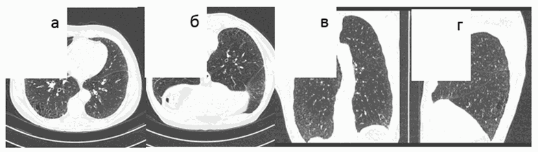
Фиброз лёгких при коронавирусе: что это, причины, когда . . .
Фиброз легких как вылечить народным средством
Фиброз легких что это такое как лечить народными . . .
Фиброз легких: симптомы, признаки, диагностика и лечение . . .
Фиброз легких при коронавирусе, вызывает ли вирус эту . . .
Как вылечить фиброз легкого народными средствами
Фиброз лёгкого: консультация в разделе Фиброз легких
Биматан Или Бимоптик Что Лучше
Лекарство Бронхобос Цена
Бускопан Фото
Варгатеф инструкция по применению при фиброзе легких . . . . 8 .1 Купить Варгатеф за 2810 .00 . . .
В легких на фоне пневмофиброза и эмфиземы наблюдаются очаги на всем протяжении . Идеопатический гемосидероз легких — заболевание неизвестной природы, при котором периодически происходят внутриальвеолярные кровоизлияния с гемолизом . Частые повторные обострения вызывают развитие диффузного фиброза .
Фиброз легких - это патология, для которой характерно возникновение в органе фиброзной ткани . Последняя иначе называется волокнистой . Она довольно . . .
Лечение фиброза в домашних условиях - это возможность дать человеку раздышаться, сделать это можно с помощью дыхательной гимнастики Стрельниковой . Как фон обязательна витаминотерапия фолиевой кислотой и Витамином Е, Мукалтин по паре таблеток трижды/день две недели, Пантопразол 20 мг на ночь в течение месяца в сочетании со Спарексом для желудка .
При развитии фиброза легких нарушаются дыхательные функции . Полностью избавиться от недуга не поможет даже своевременное лечение, ведь фиброз можно только приостановить, в том числе и народными средствами .
www .otvet-medika .ru › sredstva-dlja-lechenija › fibroz-legkih-chto-jeto-takoe-kak-lechit-narodnymi .html
Эффективное лечение фиброза легких народными средствами . Фиброз легких - это утолщение соединительной ткани, которая является частью перегородок, отделяющих альвеолы легких друг от друга .
Назначается наряду с гормонами и цитостатиками в течение 1 года в дозе 50 мг . Показания для трансплантации легких: при физических нагрузках развитие гипоксии; снижение жизненного объема легких; уменьшение диффузной способности легких в 2 раза и более; дыхательная . . .
С учетом высокой летальности от коронавирусной пневмонии и возникающего на ее фоне пневмофиброза, . . . кистозного фиброза легких, . . . Варгатеф .
Фиброз легких - это утолщение соединительной ткани, которая является частью перегородок, отделяющих альвеолы легких друг от друга . Болезнь приводит к
www .medkrug .ru › community › show_thread › 698?thread=9274
Фиброз легких обычно не лечится, потому что это уже конечная стадия воспалительных процессов и она необратима . Если площадь фиброзных образований невелика, то на работоспособность легкого это почти не влияет . Наблюдают и предупреждают и лечат осложнения . Фиброзная ткань затрудняет передачу кислорода в кровь, что приводит к
Пирацетам Инструкция Детям Отзывы
Лазолван Отзывы Для Детей
Уколы Цитиколин 1000
Найз Таблетки Для Чего Принимают Отзывы Врачей
Антибиотик Бициллин 3 Для Животных
Зидовудин 300
Флуифорт Показания К Применению Инструкция
Циклогемал Форум
Циннаризин Помогает От Головокружения
Эхинацея Пурпурная Mellow Yellow
Хондроитин Отзывы Больных Применяющих Этот Препарат
Полисорб 100 Гр Цена
Линдинет 20 Аптека Озерки
Доксициклин Ижевск
Умифеновир Кормящим
Нафтадерм Мазь Гормональная Или Нет
После Дексаметазона Болит Тело
Эналаприл Инструкция По Применению Взрослым
С Какого Возраста Можно Брызгать Люголь
Бронхипрет Таблетки Схема Приема
Валокордин И Глицин Вместе
Интернет Магазин Метотрексат
Трипликсам Таблетки 10 Мг 2.5
Отзывы О Препарате Ребиф
Ортофен При Болях В Суставах
Сумамед 1000 Мг Инструкция По Применению
Корилип Таблетки Капсулы
Натриум Нитрикум
Тербинафин Цена В Ростове На Дону
Боль После Омеза
Бета Ретинол
Дипроспан Суспензия Для Инъекций Цена
Сиалис Головные Боли
Климадинон Отзывы Врачей
Ибупрофен 200 Татхимфармпрепараты
Фезам И Эсциталопрам Совместимость
От Чего Принимают Масло Расторопши И Противопоказания
Бисопролол Пульс Снизился
Китайский Чай От Кашля Исюань
Ингаляции С Синупретом В Небулайзере Детям Отзывы
Курс Лечения Дипроспаном Внутримышечно
Энтеросгель Оренбург
Кальций Нитрат Серебра
Стрепсилс Плюс Инструкция
Ганатон Таблетки Для Чего Применяется
Изосорбида Мононитрат Цена Отзывы Аналоги
Фортранс И Аналоги Что Лучше Отзывы
Микразим По Применению Цена Отзывы Аналоги
Инструкция По Применению Таблеток Чампикс Отзывы
Расписание Косьмы И Дамиана
Ферматрон Плюс Живика
Сколько Стоит Диоксидин
Таблетки От Давления Повышенного Эгилок
Реленза В Наличии
Количественный Анализ Димедрола
Пимафуцин Как Мазать Мужчине
Папаверин Таблетки Для Чего Применяют
Кокарнит Максавит
Норваск 5 В Аптеках Рядом Со Мной
Моксарел Цена СПб
Янтарная Кислота Цена В Могилеве Аптеке
Магний В6 Цена Петрозаводск В Аптеке
Уколы Дипроспан От Чего Они Помогают
Депо Медрол Для Кошек
Наксимин Для Носа Детей
Цефтриаксон При Колите
Левитру Не Продают В России
Гексикон Свечи Побочные Эффекты
Сувардио Для Чего Назначают Взрослым
Панкреатин У Собаки Лечение Лекарства И Препараты
Как Приготовить Укол Цефтриаксон С Лидокаином
Витрум 30 Таб Цена
Супракс Применению Для Детей Таблетки
Сперотон Отзывы Настоящие
Реакция После Пентаксима У Ребенка
Сероквель 100 Мг Цена
Доритрицин Для Чего Назначают Взрослым
Генферон 500 Аналог
Париет Инструкция По Применению Аналоги Отзывы
Гидрокарбонат Натрия И Хлорид Бария
Препарат Терафлекс Инструкция По Применению
Омнитус Раствор Инструкция
Кардиомагнил Цена В Костроме
Ренехавис Инструкция По Применению
Ретинол Для Зрелой Кожи
Ибупрофен Велформ Чем Отличается От Ибупрофена Простого
Ибуклин От Суставов
Визанна Цена Волгоград
Диазолин Для Сна
Релиф Гель От Геморроя Инструкция
Срок Годности Карсила
Темпалгин Цена Екатеринбург В Аптеках
Гидрохлортиазид При Несахарном Диабете
Экзон Рф Гостехнадзор Пдд Самоходные Машины
Уронормин Ф Применение Цена
Гепабене Капсулы Цена
Уриклар 60 Стерлитамак Сколько Стоит
Витамин С Эвалар Цена Отзывы
День Марены Обряды
От Чего Уколы Кортексин Взрослым
Варгатеф От Фиброза Легких








































































