Узи Яичек Фото

⚡ 👉🏻👉🏻👉🏻 ВСЯ ИНФОРМАЦИЯ ДОСТУПНА ЗДЕСЬ, КЛИКАЙ 👈🏻👈🏻👈🏻
В статье рассмотрена УЗИ анатомия яичка в норме .
УЗИ органов мошонки (яичек у мужчин): как делают, подготовка . . .
Что покажет УЗИ мошонки: процедура, подготовка
УЗИ органов мошонки . Лекция для врачей
Атабекова Л .А . • Ультразвуковая диагностика заболеваний . . .
Узи мошонки и яичек — сугубо мужское обследование
ᐉ УЗИ мошонки Что показывает, как подготовиться, цена . . .
PDF Ультразвуковая диагностика органов мошонки
Как делают УЗИ органов мошонки, как подготовиться, расшифровка
УЗИ органов мошонки: подготовка, как делают и сколько стоит . . .
Груша Ириста Описание Фото Отзывы
Реальные Фото Изменивших Жен
Фото Желтого Шеллака
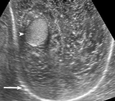
УЗИ яичка в норме . а) Анатомия: 1 . Яичко: • Плотно упакованные извитые семенные канальцы, разделенные тонкими соединительнотканными перегородками: о В яичке взрослого мужчины . . .
УЗИ-диагностика — абсолютно безболезненный и безопасный метод, к тому же он доставляет минимум психологического дискомфорта в такой деликатной сфере, как обследование . . .
Previous Next . УЗИ мошонки - это неинвазивное сонографическое обследование, способное выявить заболевания яичек и полового члена анатомического генеза и диагностировать . . .
инфаркт яичка . 1974 - впервые выполнено УЗИ органов мошонки . Анамнез - Осмотр - УЗИ . Методика выполнения УЗИ . Кремастерный рефлекс . Утолщение кожи .
Яичко - парный железистый орган эллипсоидной формы, несколько уплощенный с боков . Яичко покрыто фиброзной белочной оболочкой, образующей по задней поверхности . . .
Это исследование позволяет определить состояние яичек, придатков, семенных канатиков . С помощью УЗИ мошонки обнаруживают отклонения в структуре тканей, воспалительные очаги . . .
Сделать УЗИ органов мошонки за 15-ть минут Важно . . .Анатомия органов мошонки . При отсутствии патологий, оба яичка лежат в мошонке, фибромышечном мешке, разделенном на . . .
Яичко (testis) — парная мужская половая железа, в которой образуются половые клетки (сперматозоиды) и мужские половые гормоны . Яички имеют овальную форму и плотную . . .
УЗИ органов мошонки: когда назначают, как подготовиться, расшифровка результата . появление признаков воспалительных процессов в области яичек и мошонки у мужчин . . .
УЗИ (сонография) — это способ исследования внутренних органов ультразвуком . Протокол УЗИ органов мошонки включает в себя такие пункты: параметры яичек
Оригинальные Насесты Для Кур Фото
Зрелки Домашнее Фото
Помним Скорбим Бабушка Картинки
Плитка Луиза В Интерьере Ванной Фото
Картинка Секс Котов
Картинки С Возвращением Домой С Моря
Красивые Картинки Своими Руками Поэтапно
Куда Ставить Горчичники При Бронхите Взрослым Фото
Можжевельник Скальный Фишт Фото
Порно Фото Голой Лизы
Валерия Шкирандо Фото В Купальнике
Веселые Картинки С Добрым Утром Скачать Бесплатно
Скачать Картинки На Телефон Волк И Скорпион
Картинка Этажерка Для Детей На Прозрачном Фоне
Доброго Утра Картинки Необычные Редкие Красивые
Томат Абруццо Отзывы Фото Урожайность
Картинки Лето Минимализм
Виноград Лучистый Описание Сорта Фото
Полка Для Телевизора Фото
Картинки Акакия Майнкрафт
Ржд Работа Фото
Фото Пластиковых Окон В Квартире
Маришка Вереш Фото Плейбой
Красивые Фотографии Дракона
Турецкие Ногти Фото
Фото Рынка Лосево Воронежская Область
Как Удалить Старую Фотографию В Вк
Яблоко С Красной Мякотью Фото
Картинки И Фото Пицца Чернигов
Красивая Картинка С Днем Рождения Дианочка
Шеллак Фото Ногтей Дизайн С Цветами
Привет Татьяна Картинки
Фото Дизайн 1 Комнатной 37
Картинки С Хорошим Смыслом Жизни
Муконина Марина Борисовна Пермь Фото
Роскошные Женщины После 40 Фото
Интересный Словарное Слово Картинка
Модимио Наши Автобусы Фото
Член В Разрезе Фото
Глаголы Движения В Русском Языке Картинки
Какой Цветок Найти По Фото Онлайн
Фото Актрис В Журналах
Ниссан Все Модели Фото И Цены 2022г
100 Млн Рублей Фото
Для Экрана Картинки Бесплатно Скачать Красивая Девочка
Ебут Мам Секс Фото
Скачать Прикольную Картинку О Жизни
Картинка Ученая Сова С Указкой
Картинки Для Срисовки Ваз 2114
Сканди Интерьер Квартиры Фото
Клематис Фото Белые Мелкие Цветы
Галакси А 50 Фотографии
Интимные Фото Кэтрин
Скачать Фото Кристины Гоголевой Из Кулебак
Калининград Фотографии 2022
Можно Красивая Девушка Фотография
Фото Прозрачное Белье Смотреть
Салат Шерлок Холмс Рецепт С Фото
Грибы Растущие На Тополях Фото И Название
Картинки Для Девочек Карандашом
Костюмы Для Ролевых Игр Для Женщин Фото
Картинки Для Средних Девочек
Камасутра Читать Онлайн С Картинками
Зайки Солнышки Картинки
Фото Николаева Новые
Фото Команды А4
Картинки Есть Порох В Пороховницах
Создать Картинки На Телефон
Штаны С Высокой Талией Фото
Красдиван Красноярск Каталог Цены Фото
Слитые Фото И Видео Смотреть
Дойка Молока Фото
Зверополис Озвучка Актеры Русские Фото И Фамилии
Картинка Тортик С Днем Женщина
Смайлики Картинки Прикольные Скачать Бесплатно Смешные
Хорошего Дня Картинки Позитивные Осенние
Смотреть Частное Фото Баб
Роза Уличная Фото
Раскрась Картинки Со Звуком Ж
Кухня В Стиле Ретро Фото Интерьер
Найти Двойника По Фото Загрузить Фотографию
Милые Картинки Для Детей 7 Лет
Зимние Сапоги В Кари Фото И Цены
Елена Александровна Картинки
Картинки С Днем Папы От Дочери Трогательные
Красивый Затылок В Короткой Стрижке Женской Фото
Фотографии Замков Высокого Качества
Шрифты На Памятниках Из Гранита Фото
Как Выглядит Эмбрион В 12 Недель Фото
Картинки В Виде Иконок
Море Девушки Голые Картинки
Добрый День Четверга Картинки Прикольные Смешные
Первое Фото После Родов
Кальмары К Пиву Рецепт С Фото
Девушка Влагалищем Частное Фото
Умные Часы Самсунг Фото
Фото Поднятой Подлодки Курск
Фото Знаменитостей До Пластических
Интимные Фото Зрелых
Фото Узи 21 Неделя Беременности Девочка
Узи Яичек Фото






























































































