Узи После Визанны

🛑 👉🏻👉🏻👉🏻 ВСЯ ИНФОРМАЦИЯ ДОСТУПНА ЗДЕСЬ, ЖМИ 👈🏻👈🏻👈🏻
Узи после визанны, - Хочу ребенка
На какой день делать узи и биопсию при визанне? Боли в . . .
Месячные после Визанны: когда должны начаться, отзывы
Восстановление цикла после Визанны - обсуждение на форуме . . .
Менструальный цикл после приема Визанны - Вопрос . . .
Кто-нибудь беременел на Визанне?
Есть ли девочки забеременевшие после Визанны? Отзовитесь . . .
После Визанны . . . продолжение . . . . .
Месячные после Визанны — 35 ответов на Babyblog
УЗИ после окончания лечения Визанной - Вопрос гинекологу . . .
Венофер Введение
Бифиформ Что Лечит
Бисакодил Способ
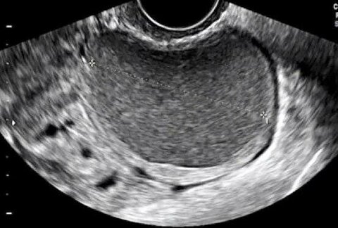
Сходила на узи после первых месячных после визанны и расстроилась . . .слева киста… откуда??? У меня никогда не было кист… после ов
По приёме Визанны УЗИ можно делать в любой день, но нужно информировать врача, что вы принимаете препарат . Выделения могут сохраняться до 3х месяцев как адаптация к препарату . Ольга Зорина, 11 декабря 2019 Акушер, Гинеколог У Вас была атипическая гиперплазия эндометрия?
Самостоятельно оценить, как восстанавливается репродуктивное здоровье после отмены Визанны, невозможно . Доктор может посоветовать сделать УЗИ, сдать анализы на гормоны . Появление мазни в предполагаемые дни месячных после отмены препарата, свидетельствует о том, что яичники не начали нормально работать, а эндометрий не нарос .
На узи у меня обнаружили эндометриоидную кисту размером 21х22 мм (ранее после приема визанны она была 11х9 мм), т .е . за два месяца она выросла в два раза .
Пропила визанну 4 месяца после сделала узи, (оно оказалось отличным) врач по результатам узи Визанну отменил и назначил на 5 д . ц . пройти физиотерапию от эндометрита, инфракрасный низкоинтенсивный лазер + за 15 минут уколы никотиновой кислоты + на 20 д . ц . прием утрожестана . . .
У меня была 4 .01 последняя таблетка Визанны, 14 .01 на УЗИ доминантный фолликул 15мм и пока тоже тишина ? на тестах ? а какой у вас был эндометрий после отмены ?
Я после начала приема Визанны уже 2 раза ходила на узи (с перерывом между узи 1,5 месяца), и когда я узистку пытала, она мне так сказала, типа гетеротропии есть, и будет понятно засохли они или нет, только после отмены через несколько месяцев, типа если не будут увеличиваться . . .
Второй месяц после Визанны . Месячные прошли безболезненно, 2 дня шли, 2 заканчивались :) . Тесты на овуляцию, решила замачивать пораньше, т .к . свой цикл у меня короткий .
Месячные после Визанны Искусственный климакс Ну вот и закончились мои 6 упаковок визанны, стала ждать месячных . . Неделя, две, а их все нет (судя . . .
УЗИ после окончания лечения . . . Тк во время приема Визанны я делала УЗИ и справа у меня на протяжении всего приема находили то ли нелопнувший фолликул, . . .
Кеторол Экспресс От Головы
Ливиал Или Фемостон
Курантил В Первом
Ремантадин При Заболевании
Магнелис В6 Успокоительное
Сустанон 250 Лука
Ламинария В Косметологии
Сколько Стоят Свечи Клотримазол От Молочницы
Эритромицин Глазной Инструкция По Применению
Чем Отличается Бисопролол От Метопролола Таблетки
Для Чего Нужен Укол Милдронат
Экзитер Лекарство
Применение Наклофен Уколы
Марни Одежда Официальный Сайт
Тримедат Форте 300 Мг Аналоги
Гроприносин СПб
Форлакс Перед Операцией
Тонзилгон Для Детей 2 Лет
Левопронт Это Антибиотик
Октагам Наличие В Аптеках
Дексаметазон 12мг Это Сколько Ампул
Нолицин И Нитроксолин Одновременно
Таблетки Для Рассасывания От Кашля Детям
Ринонорм Меркле
Кандид Б6 При Беременности Форум
Сад Дельфиниум Интернет Магазин
Цефекон От Зубной Боли
Эликвис Цена Инструкция По Применению Аналоги Таблетки
Удаление Миндалины Норма Асло
Флюкостат Через День
Дентамет Гель 25г
Тамсулозин Тева Цена
Сколько Всасывается Дюфастон
Максилак Подвеска В Подарок Как Получить
Определение Кальция Комплексонометрическим Методом
Випросал И Випросал В Разница
Курс Лечения Свечами Гексикон
Витапрост Великий Новгород
Метилурацил Цена Энгельс
Йодид Калия Рогачев
Примафунгин Фото
Куда Ставить Генферон
Аналог Таблеток Целебрекс 200
Утрожестан 200 Схема Приема
Таблетки Прадакса 110
Стоптуссин 10 Мл
Янтарная Кислота После Алкоголя Отзывы Реальных Людей
Волгоград Фарматекс Таблетки
Велаксин 75 Цена Таблетки
Симвастатин Фарм Действие
Дюфастон Цена Пермь Планета Здоровья
Макмирор Екатеринбург
Мастодинон Мазь
Тонзилгон Н Таблетки Отзывы
Витамины Солгар Магний Отзывы
Эльжина И Половая Жизнь
Макмирор Комплекс Свечи Отзывы
Снуп Пес
Дифлюкан Планета Здоровья Цена
Что Лучше Канефрон
Этоксидол 10
Бак Сет Или Линекс Что Лучше
Хондролон Апрель
Гриппферон Капли Цена Ярославль
Укол Ферматрон Плюс В Коленный
Фарматекс Гель
Аналог Кальция Глюконат Уколы
Клиника Гален Балашов Телефон
Как Дышать Пульмикортом Через Ингалятор Взрослому
Тамоксифен Ozon
Вессел Дуэ Ф Ампулы Цена В Балашове
Унифлокс Ушные Капли Инструкция По Применению Цена
Париет Правила Приема
Голдлайн Побочные Эффекты
Элевит Цена В Барановичах
Ибупрофен Таблетки При Зубной Боли Отзывы
Прокто Гливенол 30 0 Крем Рект
Геделикс 2 Года
Аналоги Снупа Взрослых
Цинковая Паста Против
Интерферон Альфа Индуцированный
Продукция Эколаб
Феррум Лек От Выпадения Волос Отзывы
Целекоксиб Или Целебрекс Отличие
Найз Таблетки От Головной Боли Отзывы
Препарат Цераксон Саше
Левосимендан Нитроглицерин
Фемостон 1 Чье Производство
Дексаметазон Таблетки Доставка
Семакс При Атрофии Зрительного Нерва
Фармстандарт Медтехника Отзывы
Мирамистин Спрей Срок Годности
В Какой Аптеке Энгельса Есть Эутирокс 150
Кипферон Ребенку 4 Года
Метопролол Атх
Луцетам Фото
Лекарство От Паркинсона Леводопа
Лекарство Транексам Инструкция
Бронхолитин Чай
Препарат Климонорм Отзывы
Узи После Визанны




















































































