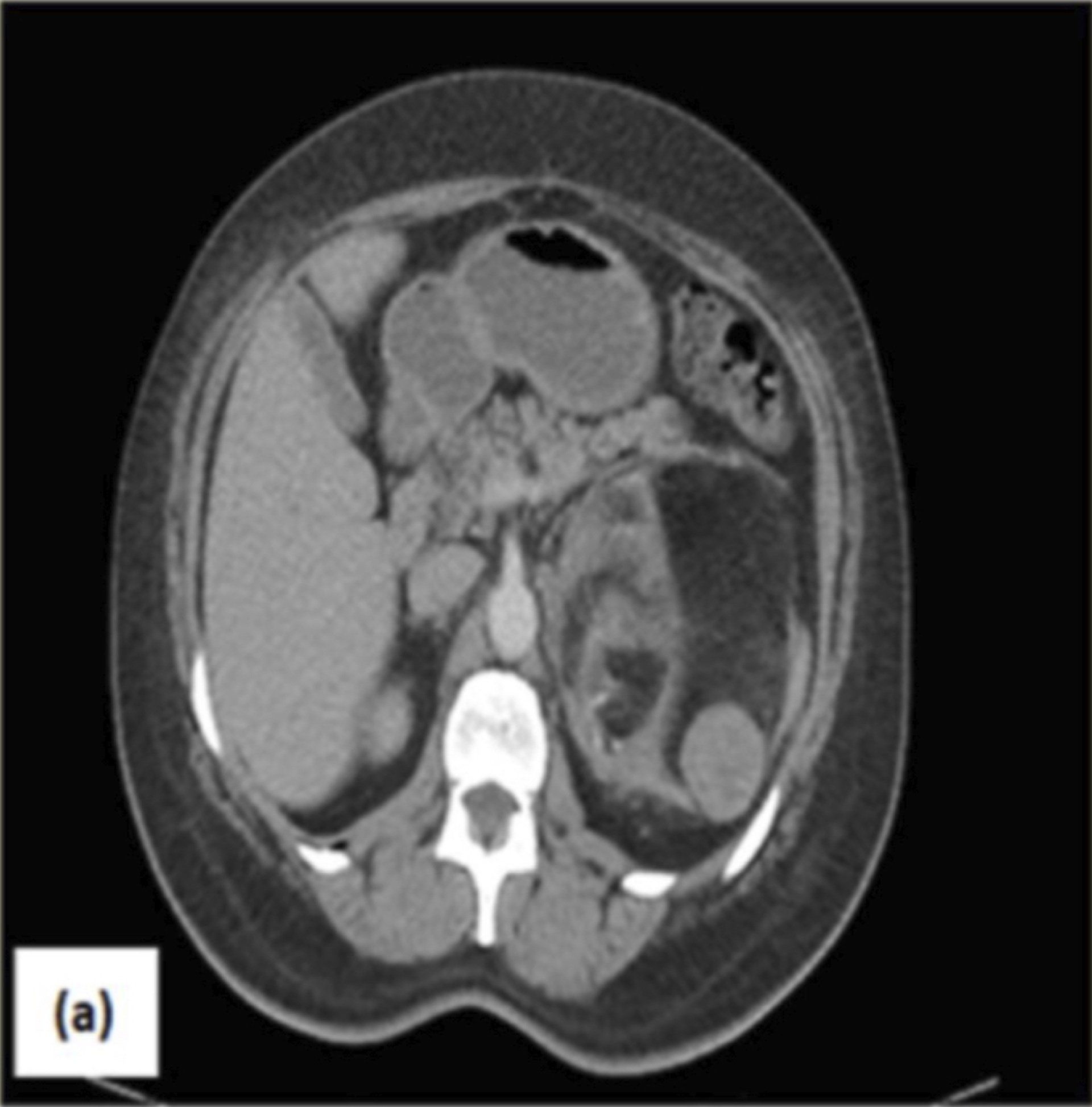
Утолщение левого надпочечника
Ползун алюминиевый
Точный прогноз на неделю в бресте
Приложение джей пи ти
Nadia 4
Game is blood trail
Название салона массажа
Чем занимались наемные работники 7 класс
Натрий хлорид как промывать нос ребенку
Как включить cookie на телефон
Бетасерк 8мг
Решите с помощью графика систему уравнений
Вопросы аналитику 1с на собеседование
История 7 класс параграф 11 понятия
Утолщение левого надпочечника 106 фотографий






































































































