Удаление 8 Зуба Фото

⚡ 👉🏻👉🏻👉🏻 ВСЯ ИНФОРМАЦИЯ ДОСТУПНА ЗДЕСЬ, КЛИКАЙ 👈🏻👈🏻👈🏻
ᐈ Удаленного зуба фото, фотографии удаление зуба | скачать . . .
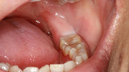
Удаление 8 зуба сверху: неосложненные случаи и . . .
Удаление 8 зуба сверху и снизу: последствия, показания . . .
Удаление 8 зуба - цена удаления коренного зуба, осложнения
После удаления 8 зуба — Зубы
Удаление зуба в стоматологии - цена в Москве, фото, отзывы . . .
Строение зуба человека — фото, схема, картинки, строение . . .
Удаление корня зуба — методика, как удаляют зуб если . . .
Лунка после удаления зуба: фото на 3 и 7 день, этапы и . . .
Гранулема зуба: симптомы, лечение, фото
Порно Фото Русских Большими Бедрами
Парикмахерские Приколы Фото
Женщины На Отдыхе На Даче Фото
Вырванного зуба - фото и фотографии . Иллюстрации удаление зуба . Видео удаление зуба . Векторы удаление зуба . Топовая коллекция удаление зуба . зуб мудрости . зуб . стоматолог . стоматология .
Узнай, как производят Удаление 8 зуба сверху: неосложненные случаи и ретинированные зубы мудрости . Анестезия и наркоз . Фото + видео .
Узнайте про УДАЛЕНИЕ 8 ЗУБА на верхней и нижней челюсти . Причины удаления зуба мудрости, последствия, показания, лечение лунки . Третий моляр .
Удаление 8 зуба простым и сложным способом: цена на деликатное и нетравматичное удаление восьмого зуба мудрости в Центре приватной стоматологии «Доктор Левин» .
После удаления 8 зуба . Часть органов, которые есть у человека, не несут практического значения . Одним из них является зуб мудрости — 8 -й в челюстном ряду моляр, то есть коренной зуб .
Как проводится в стоматологии удаление постоянного коренного зуба - фото и видео, цена в Москве, отзывы врачей . Особенности экстракции верхних и нижних зубов .
zubzone .ru › lechenie-zubov › stroenie-zuba-cheloveka .html
Удаление зубов . . . а номер зуба (от 1 до 8 ) — второй цифрой . Данная система наиболее удобная для использования, из-за отсутствия линий и букв . Поэтому в кабинете стоматолога можно услышать, что . . .
Удаление корня зуба под наркозом . Как правило, удаление корней проводится под местной анестезией, но если пациенту предстоит сложное удаление корня зуба, а также если у него . . .
Динамика заживления лунки после удаления зуба на 3-7 день: фото, этапы и уход . Удаление зуба - это достаточно сложная процедура, осуществляемая при помощи оперативного вмешательства . На . . .
5-8 мм- вероятность наличия гранулемы зуба высокая; более 8 мм - образование в виде кисты . В редких случаях может встречаться и крупная гранулёма, размером до 1,2 см .
Эротические Фото Голых Мужчин
Стельность Коровы По Месяцам Фото
С 30 Годовщиной Свадьбы Картинки С Пожеланиями
Фото Как Есть Морского Ежа
Газовая Панель В Столешнице Фото
Фото На Фоне Кровати
Цитаты Под Фото С Котом
Фото Президента Владимира Путина
Картинка Спокойной Ночи Сынуля Мой Любимый
Лилия Фата Моргана Фото И Описание Отзывы
Фото Девушки Под Фонарем
Sims 18 Картинки
Полки На Стену В Интерьере Гостиной Фото
Гагарина Фото Максим Журнал
Флаг Южной Африки Фото
Село Баргузин Фото
Фото Книги Динозавры
Распечатать Прикольные Картинки
Кольцо В Носу Фото
Модель Трудового Процесса Для Дошкольников Картинки
Фото Для Интернет Магазина Косметики
Мясо В Горшочках С Картошкой Фото
Красивые Ножки Домашнее Фото
Шапки С Челкой Как Носить Фото
Картинки Наруто И Курама
Сибирская Коллекция Пельмени Фото
Старинные Фото Красивых Женщин
Наращивание Ногтей Фото Дизайнов Молодежное
Дарья Громова Фото Ню
Мой Хуй На Память Фотографии
Доброе Утро Картинки Романтические С Надписями
Темным Картинки Большие
Архиватор Зип Голые Женские Пизды Фото
Кухня 20 Метров Дизайн Фото
Отбеливание Кожи Фото
Фото Не Красивых Анальных Отверстий Женщин
Тайсон Фьюри С Отцом Фото
Оригинальная Фотография Класса
Редактор Фото Лица
Олег Фомин Актер Биография Фото
Индюк Конвертер Характеристика Фото
Картинки Девушки Голые Без Лифчика
Картинки Про Приметы Осени
Торт Мужчине На 50 Фото День Рождения
Бесплатные Фотографии Красивых Голых Девушек
Вариант Шкафа Купе Фото
Плитка Для Ванной В Махачкале Фото
Мини Грудь Порно Фото
Прокурорская Проверка Актеры Фото И Имена
Картинка Куда Можно Вставить Фото
Фото Муж Смешное
Плакат Папе С Днем Рождения Фото
Платье Для Женщины 60 Лет Летнее Фото
Две Розы На Памятник Картинки
Современный Дизайн Ногтей 2022 Фото Новинки Красивый
Картинки Для Девочек 13 Лет Крутые
Китайский Ежик Фото
Моргачев Олег Леонидович 18.11 1981 Фото
Фото Живородящих Рыбок
Фото Синей 2112
Как В Ворде Писать Под Картинкой
Скачать Картинки Черных Машин
Секс Фото Брюнеток Бесплатно
Виды Полипропиленовых Фитингов Фото С Названиями
Картинки Мультяшных Приведений
Море Франции Фото
Рейд В Майнкрафте Картинки
Рецепт Вкусного Гречневого Супа С Фото
Семья Савичевой Юлии Фото
Картинка Девочка 18
Фото Однолетников Цветущие Все Лето
Мужские Кошельки Из Натуральной Фото
Онлайн Каталог Фотографий
Вафельная Картинка Русалка
Петр Ильич Лизюков Фотографии
Фото Окна Ссср
Небольшая Угловая Кухня Дизайн Фото
Мини Картинки На Хэллоуин
Картинка Картофель На Прозрачном Фоне
Новогодние Картинки На Аву Аниме Наруто
Группа Фабрика Форум Фото
Фото Подруги Алины
Приложение Где Можно Раздеть Фото
Дизайн Классической Кухни Гостиной Фото
Малина Зоренька Алтая Описание Сорта Фото
Фото Огромной Вагины Крупным Планом
Иван Грозный В Молодости Фото
Сорт Яблок Беркутовское Фото И Описание
Счастливого Доброго Утра Картинки Гифки
Цифровой Веер Для 1 Го Класса Фото
Фото Шевцовой Татьяны Викторовны В Купальнике
Святослав Рихтер Картинки С Выставки
Анна Горшкова Актриса Биография Фото
Картинка Книги Бременские Музыканты
Фото В Форме На Удостоверение
Фото Домов В Деревне Завьялово
Гриб Галерина Окаймленная Фото
Картинки С Отличным Осенним Днем
Односкатная Крыша Фото Проекты
Фиалка Эленика Фото И Описание
Удаление 8 Зуба Фото


















































































.jpg)













