Tvs Dating Scan

π£ ππ»ππ»ππ» MORE INFO CLICK HERE ππ»ππ»ππ»
Transvaginal scan (TVS) in pregnancy - BabyCenter India
Fact Sheet Ultrasound in early pregnancy (before 12 weeks . . .
Transvaginal ultrasonography in first trimester of . . .
Transvaginal Scan When Pregnant - Purpose, Risks & Results
First trimester | Radiology Reference Article . . .
Is it safe to have a transvaginal scan (TVS) in early . . .
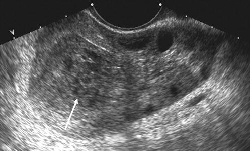
Crown rump length | Radiology Reference Article . . .
TVS-e Barcode Scanners | TVS-e Wireless Barcode Scanner
Private Dating Scan Near Brock Hall
Solved! - Why does my TV keep saying please run channel scan
Hawaii Speed Dating Events
Non Muslim Man Dating A Muslim Woman
Best Cougar Dating Websites
Sometimes a TVS is also done to date your pregnancy to be sure your due date is correct . After 10 weeks and for the rest of your pregnancy, you will have abdominal scans because once your uterus expands and moves up in your abdomen, your baby becomes more visible through your tummy .
Ultrasound in early pregnancy (before 12 weeks) - Dating Scan Dating ultrasound A 'dating ultrasound' or 'dating scan' is a scan done early in pregnancy (before 12 weeks) . It is usually done to check how many weeks pregnant you are and therefore to calculate the estimated due date, but it can be done for other reasons . Only a few women need a dating scan .
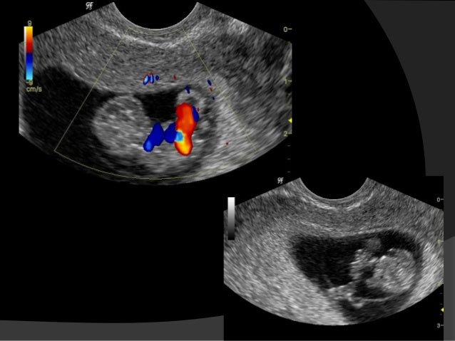
While scanning with TVS in the normal pregnancy, fetal pole/fetus was seen in 43 cases (93 .5%), whereas in comparison with TAS FP/fetus was seen in 33 cases (71 .7%) . In the abnormal pregnancy, FP/fetus was seen in 11 cases with TVS , as compared to six cases with TAS .
Among various tests conducted to check the well-being of the pregnant woman and the baby, a transvaginal ultrasound scan ( TVS ) is one of the most reliable tests in today's time . A transvaginal ultrasound is a type of scan through which helps the doctors examine the female reproductive organs and determine how the baby is developing .
The earlier in pregnancy a scan is performed, the more accurate the age assignment from crown-rump length . The initial age assignment should not be revised on subsequent scans 5 . Overall, the accuracy of sonographic dating in the first trimester is ~5 days (95% confidence range) .
A TVS , also known as an internal scan , is most commonly done to confirm that you are pregnant . It's more accurate and gives clearer images than an abdominal ultrasound in early pregnancy . A transvaginal scan can: Detect the presence of the sac and/or an embryo . Find out if you're carrying more than one baby as early as the fifth week of your pregnancy .
Overall, the accuracy of sonographic dating in the first trimester is +/-5 days (95% confidence range) . Cardiac activity should be present in an embryo with a CRL β₯7 mm 3 . If it not detected at this size on transvaginal scanning performed by an experienced operator, it is an indicator of failed early pregnancy (missed miscarriage) .
EXCEPTIONAL . Barcode Scanners from TVS Electronics are designed bearing in mind the volume of operations and man hours involved in the retail business . The scanners offer you the freedom and convenience to capture the codes effortlessly in a steadfast manner - without any loss of information . Large retail chains repose their trust in our Barcode . . .
coraf .digital-creation .infoΒ βΊΒ private-dating-scan-near-brock-hall .htm
Want to Find Single Women Seeking Men? If you're wondering how to find a woman online or simply how to meet single women . JOIN WITH ME . The online world can be rough for women, Private Dating Scan Near Brock Hall but finding the best dating sites for women is its own Private Dating Scan Near Brock Hall type of intimidating . However, as the world β¦
Streaming Video & TVs : 2: Mar 11, 2021: T: Question Streaming channels not available with Roku: Streaming Video & TVs : 8: Mar 10, 2021: K: Question HDTV Antenna Limited Channels Showing Issue: Streaming Video & TVs : 0: Oct 14, 2020: Question Bell 4100 No HD Channel: Streaming Video & TVs : 0: Jun 27, 2020
First Date For Online Dating Profile
Pharmacy Dating
Questions To Ask A Man On A Dating Site
Dating A Girl With A Kid Is Like
Advice Dating Divorced Man
Who Is Nick Cannon Dating June 2022
Novel Dating With The Dark Bab 1
Dating Sites In South Yorkshire
Dating A Virgo Man Long Distance
Dating Pyrex Glass
Sims 3 Online Dating Teenager
Online Dating For Free Without Credit Card
Carbon Dating Doesn't Work Debunked
Tips On Online Dating Sites
Job Dating Bruxelles
Chesterfield Dating Sites
Guardian Speed Dating
Sci Fi Online Dating
How To Create A Dating App
Exclusive Or Not Dating
Examples Of Online Dating Profile Descriptions
Had Sex After 2 Weeks Of Dating
Free Sugar Daddy Dating Site In South Africa
100 Dating And Relationship Tips
My Best Friend Is Dating My Ex Girlfriend Yahoo
Lemon Law Dating Rule
How To Ask A Girl Out On Internet Dating
Dating Site Solutions
Indonesia Dating App
Social Skills Training Dating
Exclusive Free Dating Site
Christian Farmers Dating UK
Dates Canada
What To Get A Guy For His Birthday When We Just Started Dating
Single Farmers Dating Ireland
Latest Dating Site In United State
Online Dating America Free
Free Felony Dating Sites
Top Dating Sites In Chicago
Zambia Singles Dating
Free Dating Site With No Credit Card
Chennai Dating Apps
Online Dating Subscription Prices
Dating Daan Doha Qatar
Us Patent Numbers Dating
Icandy Dating
Benefits Of Dating A White Girl
C14 Dating
Online Dating Meeting First Time
Kharkov Dating Service
Asian Dating Completely Free
Signs You're Dating An Introvert
Senior Contact Dating 50 Plus 50
Popular Dating Apps In Us
Rapid City Dating
Houston Tx Dating Scene
Dating Based On Mbti
Dating A Spiritually Immature Man
Dating Guy Meme
Free Chennai Online Dating
Speed Dating Maine
Online Latino Dating
New Free Dating Site 2022 In USA
Best Dating Site Puerto Rico
Write The Dates In Numbers
Free Speed Dating Phoenix
Capricorn Man Dating Scorpio Woman
Online Dating Is Not Effective
Speed Dating Lille Avis
Speed Dating Sur Angers
Dating Site Tips
Trucker Dating Sites
Ofm Online Dating
Woome Dating Website
Date Xml Schema
Boar Dating Guinea Pigs
19 Year Old Dating 16 Year Old Florida
Speed Dating Hillsboro Oregon
Articles Filipina Dating Scams
Dating 6 Years No Engagement
Dating Worcester Pottery
Opening Online Dating Questions
Richmond Ky Dating
Mentally Dating Dave Grohl Sweatshirt
How Are Half Lives Used In Radiometric Dating
Single Parents Dating Sites Reviews
Ang Dating Daan Untv Live
Washington Dc Dating Websites
What Does Mean By Dating
Second Chance Dating Agency
Best Dating Apps Like Tinder
Norfolk UK Dating Sites
Speed Dating Sherman Oaks
Best Dating Website Vancouver
Mlove Dating Site
Blind Spots Dating
Speed Dating Victoria Tx
Should Dating Be Allowed In High School
100 Free Filipina Dating Site
When Was Carbon Dating Created
Tvs Dating Scan





/twin-ultrasound-106005791-5b8d9f79c9e77c002ca1159b.jpg)






/female-nurse-performing-ultrasound-on-pregnant-woman-in-examination-room-697537711-5bff19cfc9e77c0051c989fc.jpg)


























:max_bytes(150000):strip_icc()/pregnant-couple-having-sonogram-186366123-5bff1a2cc9e77c005114eb76.jpg)












/cdn.vox-cdn.com/uploads/chorus_asset/file/18620320/1748810.jpg)



/a-gynecologist-sets-up-an-ultrasound-machine--a-transvaginal-ultrasound-scanner-of-the-internal-organs-of-the-pelvis--female-health-concept-1199896152-01717ffc489046279b32413750a390ed.jpg)






























