Туберкулез Легких На Кт Фото

🛑 👉🏻👉🏻👉🏻 ВСЯ ИНФОРМАЦИЯ ДОСТУПНА ЗДЕСЬ, ЖМИ 👈🏻👈🏻👈🏻
Туберкулез легких: фото рентгена, флюорографии, КТ
Снимки легких при туберкулезе: фото и подробные описания
Туберкулез: фото рентгена, флюорографии и КТ больных людей . . .
Туберкулез на КТ: как выглядит томограмма легких при . . .
Туберкулез на кт,кт диагностика при туберкулезе легких . . .
Туберкулез легких: фото, симптомы, признаки, диагностика . . .
Туберкулез на КТ легких: виден ли, что показывает . . .
Туберкулез на рентгене: описание, показания к проведению . . .
Туберкулез на КТ легких: можно ли верить обследованию
Могу ли я болеть туберкулезом если кт лёгких нечего не . . .
В Каком Году Было Сделано Первое Фото
Фото Свадебных Платьев Воронеж
Маленькая Грудь В Белье Фото
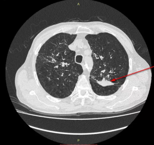
Фото туберкулеза легких на рентгене и КТ Если человека интересует фото туберкулеза легких, скорее всего, он подозревает у себя наличие данной патологии .
компьютерная томография (КТ) . Туберкулез — заболевание, которое на начальной стадии часто протекает бессимптомно . . . . Примеры фото . . . . как выглядит туберкулез легких на рентгеновском снимке . . .
Как выглядит туберкулез легких на фото: флюорография, рентген и КТ (томография) . Всегда ли видна патология и может ли диагностика не показать больного человека, а также, снимки, описание и симптомы милиарного . . .
Милиарный туберкулез на КТ характеризуется множественными мелкими очагами (несколько миллиметров в поперечнике) во всех отделах легких . Очаги появляются и в других органах, т .к . инфекция . . .
Туберкулез на КТ: легких, виден ли, что показывает, как выглядит, описание, картина . Выявление туберкулеза на начальных этапах развития — одна из главных задач медицины .
Туберкулез легких представляет собой хроническую инфекцию, вызываемую туберкулезными микобактериями . При отсутствии лечения, смертность от этой патологии достигает половины всех клинических случаев .
Виден ли туберкулез на КТ легких . Что показывает компьютерная томография грудной клетки, как выглядит и какой врач делает описание результата . Можно ли определить очаговый, инфильтративный и может ли не показать
Фото и видео . . . 901-03-01 Запись по ОМС на МРТ и КТ . Личный . . . Туберкулез легких является одним из самых опасных заболеваний, нуждающихся в срочном и современном лечении . Это заболевание требует . . .
Туберкулез на КТ легких можно определить с большой долей вероятности . Томографию считают более чувствительным способом диагностики, чем рентген . Однако на основании результатов только компьютерного сканирования . . .
На кт можно определить туберкулез . Но вы как я поняла сделали только кт лёгких, а туберкулез может быть и в других органах . Сделайте диаскин тест . . . . фото анализов что я сдала и прошла я . . .
Найти По Фото На Таобао
Занимает Ли Память Гугл Фото
Фото На День Единства Народов
Фото Спорт Железо
Скачать Картинки На Телефон Бесплатно Спокойной
И Спи Отдыхай Сказка С Картинками
Ольга Арнтгольц И Петрунь Фото
Что Такое Коллаж Фото
Виноград Монарх Описание Сорта Фото Отзывы
Фото Кухонных Дизайнов
Украденные Фотографии Знаменитостей
Поздравления С Днем Рождения Приколы Картинки
Красивая Двуспальная Кровать Фото
Фото Голых Писек 12 Лет
Картинки Цветов Маслом
Фото Актрис Снимавшиеся В Порно Фильмах
Фото Ул Ленина Орел
Танк Т55 Фото
Фото Цветов Волос
Фото Детей На Упаковке
Комната 3 На 6 Фото
Картинка Новый Год Белая
Василий 3 Фото
Откровенные Фото Регины
Корневая Шейка У Груши Фото
Черно Белая Жизнь Картинки
Сердце Поболит И Отпустит Фото
Щербинский Лифтостроительный Завод Фото Лифта
День Криминалистики 19 Октября Картинки Поздравления
Фото Кур Синь Синь Дянь
Доброе Утро Картинки На Английском Прикольные
Платье С Накидкой Фото
Описание Фото Сестры
Картинки Со Значением
Простая Диета Фото
Ню Фото В Чулках Колготках
Конфетное Дерево Картинки
Загадки Для Детей 6 С Картинками
Фото Мужского Тела Ниже Пояса
Картинка Рисование Нетрадиционными Техниками
Ванная В Голубых Тонах Дизайн Фото
Частное Фото Зрелые Под Юбкой
Комнатные Лианы Виды И Названия С Фото
Конкурс Самое Лучшее Фото
Фиалка Ав Хурма Фото И Описание
Пицца Овощная Фото
Картинка Учитель Ученица
Порно Фотографии Браво Старс
Фото Памятник Рф
Теплого Уютного Дня Картинки С Надписями
Света Уткина Голые Фото Орел
Фото Золотой Рыбки Магазин
Как Посмотреть Скрытые Фото На Айфоне 10
Заставки На Фотографии Бесплатно
Создать Видео Из Фотографий Онлайн Бесплатно
Как Убрать Подпись Фото Редми 9
Сочетание Серого В Интерьере Кухни Фото
Ева Йонеско В Детстве Фото В Вк
Мобильный Телефон Самсунг Фото Цены
Картинки Смешные Обезьяны До Слез
Декоративные Поросята Фото
Обои Для Прихожей Хрущевки Фото
Galerei Девушки В Чулках Порно Фото
Сделать Другой Размер Фото Онлайн
Ютуб Видеохостинг Женщины За 30 Фото
Узнать Монету По Фото Онлайн
Голова В Банке Фото Для Печати
Дом 100 Кв Фото
Сигареты Памир Фото Ссср
Фото Муж Жена 40
Включить Картинки Про Грифа Избрал Старс
Сорт Малины Маросейка Фото
Голые Девушки Трогают Член Порно Фото
Бежевая Мебель В Спальне Фото
Новинки Телефона Фото
Мир 1 Пример Фото
Стильная Семья Фото
Фото Голая Сексуальная Молодая Девушка
Картинка Черного Вопроса
Скачать Картинки В Хорошем Качестве Вертикальные
Животные Фото С Названиями Для Детей
Анимационные Картинки С Днем Веры Надежды Любви
Личные Фото Девушек На Яндекс Диске Форум
Гартман Картинки С Выставки Картины
Электрокары Все Модели Фото И Цены
Кабинет Психолога Фото Детский Сад
Каркасные Дома С Гаражом Фото
Пик Король 13 Карт Картинки
Sony 3 Фото
Фото Открыток На День
Фото Главных Героев Гарри Поттера
Дюшенея Индийская Выращивание В Открытом Грунте Фото
Холодильник Двухдверный С Морозильной Цена Фото
Сексуальные Фото Девушек 16 Лет
Скачать Фото Доброе Утро Девушке Любимой
Программа Для Оформления Картинок
Порно Секс Рассказы С Фото
Барто Читать С Картинками
Мария Ильюхина Фотография
Маша И Медведь Картинка Цветная
Туберкулез Легких На Кт Фото









































































/20_u.jpg)










