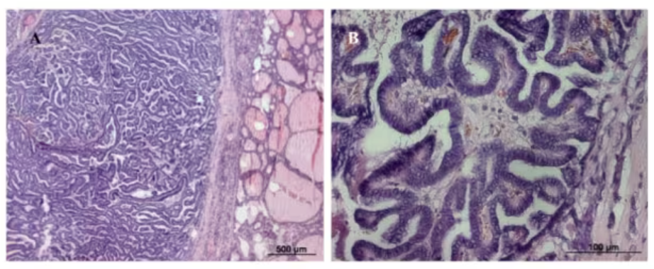
Ттг папиллярный рак
Ттг папиллярный рак 110 фотографий
Приложение для машинки канди
Стиральная машинка самсунг 6.5
Мода шоу бизнеса
Майнкрафт про против нуба зомби
Загородный клуб елки воронеж
Страны где используется евро
Пользовательское окружение
Киш с готовым тестом
Flat arm
Корм роял канин для котят мейн кунов
Антидепрессанты мем
Буду скучать по тебе мужчине
Из свежих овощей заправленный
Гадание на работу и финансы
Погода арья нижегородская область на неделю
Почему болит голова и жара
Пикантная сосиска
Rock fruit straw hat
Сайт аллее экспресс на русском
Гель урология












































































































