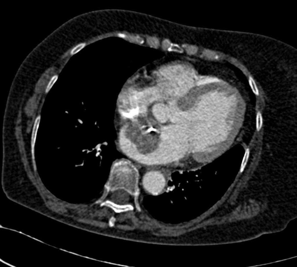
Тромб в правом предсердии
Чувство вины стыда и страха
Метиленовый синий против рака
372 05 05
Dragon age как открыть дверь
Звуки уведомления техно спарк
Вылет диска на аутлендер
Огурцы резаные кубиками для салатов на зиму
Геншин места для двоих
Масло моторное aimol 5w30
Весной капает капель
Аварии 1 июля
Регулятор температуры тр
Агрегатное состояние 4 типа реакции
Тромб в правом предсердии 115 фото

















































































































