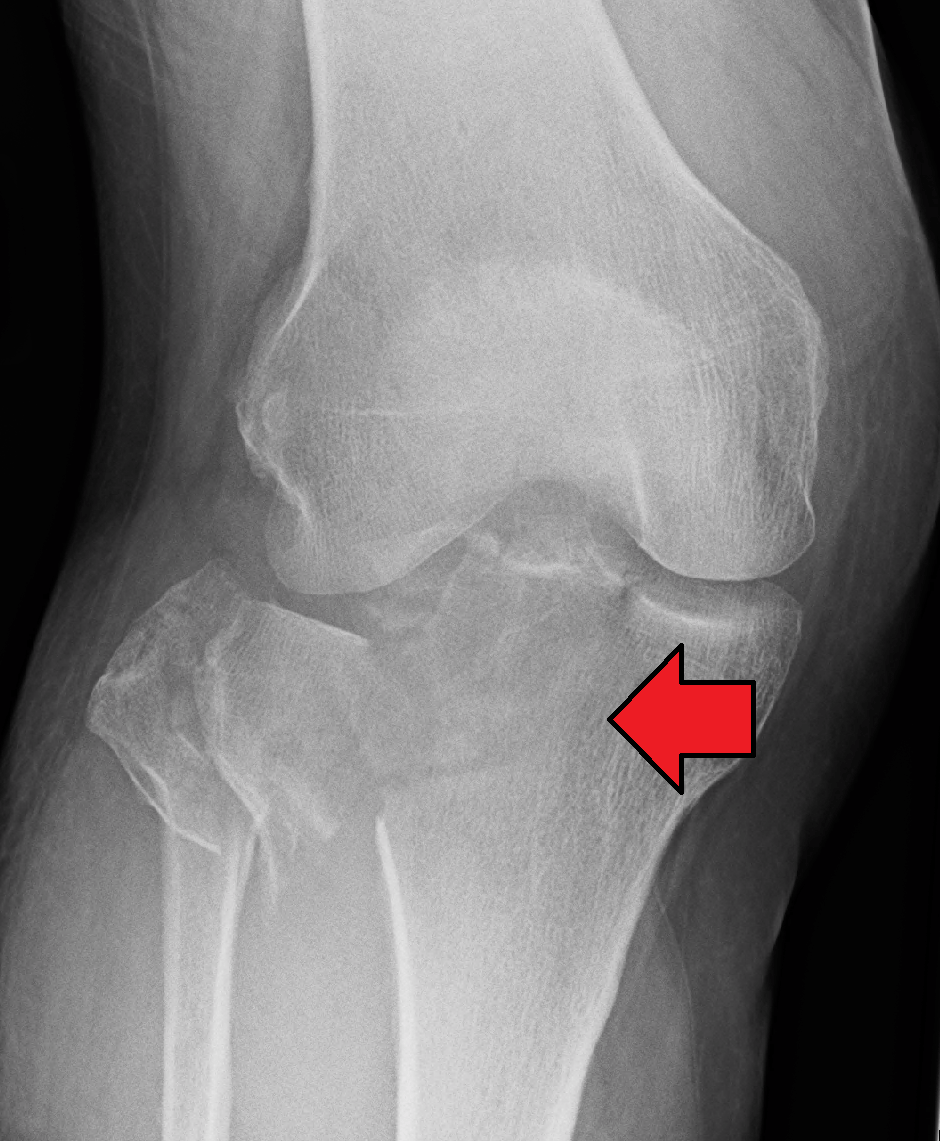
Транспозиция бугристости
Ералаш с добрым утром
Пробуем рыбу фугу
Загадочным и таинственным казался этот
Паяльная станция 750 вт
Квт кт 107d proline
Цвета павлопосадских платков
Пограничная 7 1
Ерш иваново меню
Если даешь свой номер что будет
На сушке можно хлеб
Название укрепленной позиции белых на крымском перешейке
Адлер кутейниково
Двойные союзы сочинительные или подчинительные
Транспозиция бугристости 138 фото



































































































































