Tongue grinding

🛑 👉🏻👉🏻👉🏻 ALL INFORMATION! CLICK HERE 👈🏻👈🏻👈🏻
Tongue Exercises for Teeth Grinding - Sleep Disorders Advice & Help
Coated Or Furry Tongue, Grinding Teeth, Grooved Tongue And . . .
Indexenter | TONGUE CHEWING
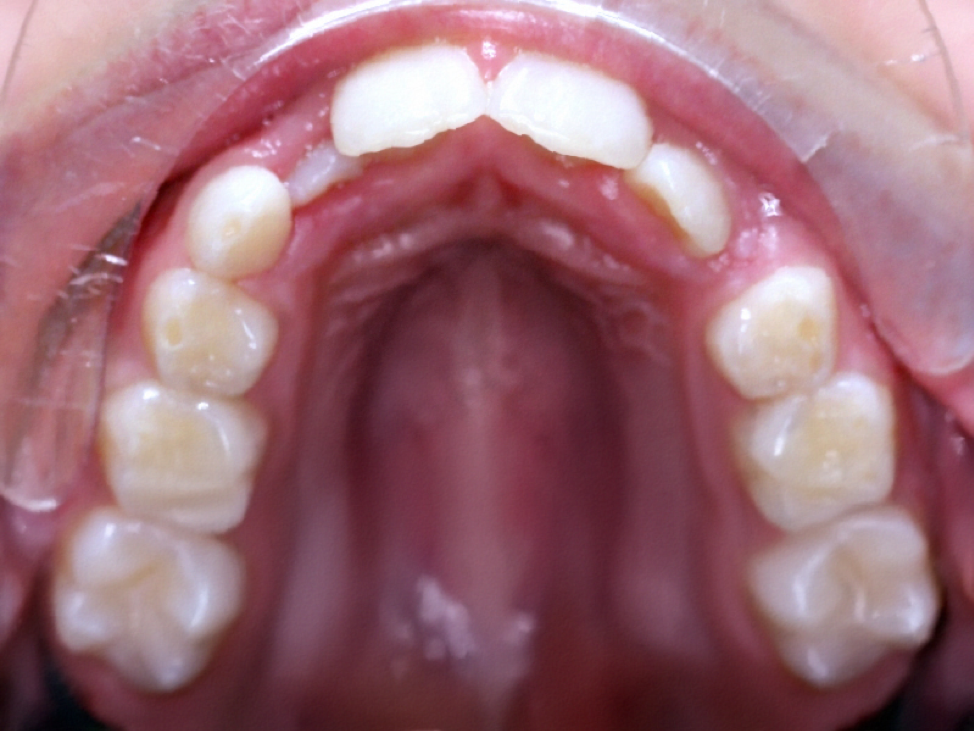
Grinding of Teeth & Tongue Tie . . . | Face Focused Orthodontics
Urban Dictionary: Tongue in Cheek
Tinder
Remove Background from Image - remove .bg
Girls With Freaky Long Tongues
Tongue Fu - Sözlü Dövüş Sanatı | D&R - Kültür, Sanat ve Eğlence . . .
Tongue Fu / Sözlü Dövüş Sanatı - Sam Horn İndir ( 276 Sayfa)
Götten Sikişen Kücük Kızlar - HD Porno İzle Sikiş Videoları
Hentai Zero Two - HD Porno İzle Sikiş Videoları
damon dice, mindy deep azgın sarışın 69 hd sikişte
It is very important to treat the medical condition, since teeth grinding can cause several complications that can affect a person's overall health . Tongue Exercises for Teeth Grinding .
Grooved Tongue . Hoarse Voice . While the symptoms above can be considered a guide to help associate symptoms common among the conditions below, this is not a substitute for a diagnosis from . . .
www .tonguechewing .com
Try a search for yourself - Click on the link below and type in "tongue chewing" then try something else like "hair pulling" or "teeth grinding" .
. . .of the worst sufferers of grinding problems are those who have a tongue tie . The connection is unclear, but it is gratifying to see people stop grinding their teeth when they have a tongue tie release .
. . .chastise the silliness of the minstrel's performances by placing their tongue firmly to the inside of their cheek . I think I need seconds . Kid (tongue in cheek): Hey grandma, why do you like Dicks so much?
Remove Image Background: 100% automatically - in 5 seconds - without a single click - for free .
The tongues community on Reddit . Reddit gives you the best of the internet in one place . English . limit my search to r/tongues . use the following search parameters to narrow your results
Sözlü dövüş sanatı Tongue Fu size bütün bunların yolunu gösteriyor . Tongue Fu ile şu teknikleri kolaylıkla öğrenebilirsiniz: Unutmanız gereken sözler ve kullanmanız gereken hangileridir?
Tongue Fu / Sözlü Dövüş Sanatı - Sam Horn . 276 Sayfa · 2012 · 4 .75 MB · 133,204 İndirme· Türkçe .
Vicky cake jungle fever fan photos
Brazilian bikini blowjob
Charity crawford pmv
Chubby pawg amateur
Super thick tattooed latina twerking beat
Daughters hairy pussy fucked by dad
Uk aunty
Cute girl ugly pussy fucked
Amadoras magrinha gostosa chupa anal best adult free pic
Backshots floor
Giovane ragazza con vecchio xxx pic
Asspussy sniffing indian inbox full photos
Jessica alba jerk challenge hard free porn image
Dorm big cock
Men having bisexual sex
Best ride ever reverse cowgirl
Pee cum without orgasm
True anal bubble butt malkova free porn compilations
Ethio xnxx video pictures
Jeans for the chubby person
Russian edging
How to fuck a redhead Masturbation
Haruka sanada aroused with vibrator best adult free compilation
Cant resist brothers girthy penis
Sexiest fuck ever
Video game bondage
With tits fucks dildo fan compilations
Sex Slut in Atbasar
Arabian babe interracial anal free porn image
Sexy blonde stockings jacket free porn compilation
Diamond jackson jordi el nino
Erotic teens best adult free pic
Luvs getting face fucked photos
The ultimate sex positions
Crushes pumpkins with thighs
Milf stepmom shares male escort dick with daughter compilation
Black girl tries anal
Pakistani porn girls
Divas ivory tori evening gown match
Love watching body react ways
Booty assholes blowjob cock and anal
Full HD xxx best adult free photo
Messy rough gangbang fan pic
Alice klay anal
Sawai japanese beauty busty girl image
Sister brother japanese
Cute sunny loves anal best adult free image
Big ass daughter fuck 5 man her mouth
Sexy milf panties
Shoejob footjob
Hand job small dick
Swinging sites standard messages
Hot bitch in Daegu. High Noelia 32yo. Looking hookers
Asian granny with huge boobs Asian Granny
Backshots gave that booty goose bumps
Docteur pervers scene fan pictures
Candid high heel crush
Thailand hidden cam free porn pictures
Tiny young teen ass
Dragonlily olivia rose intense naked catfight
Granny gets fucked good compilations
Amazon booty fucked good black ebony
Sunset thomas full service maid
Redsweetangel cumhots from footjob friends legs
Piss play with dads
Town succubi
Hot girls lcking dildo
Mydirtyhobby jolynejoy vivian schmittfucking threesome after image
Ashli belle shows sheer dress
Backside asian milf slut creampied free porn photos
Game maker xxx pic
Sex mobile 3gp redhead
Lesbianolderer public bathroom licking best adult free pictures
Big boob echo valley
Futa princess peach gets sucked fucks best adult free pic
Submissive slut sucks cock like
Flare eating treating this just right compilations
Ball bondage rough bdam submissive submission best adult free image
Gokkun school girls
Hidden camera record private show ride
Blonde Milf Needs 2 PlayOMB Toys as You Made Her Ding to Orgasm
Tamil sex comics in high quality
Naked adolescents in film
Asian woman in panthose threesome
Creampie dripping
Madison mckinley reverse cowgirl palm swings
Alexandra paul million ways die
Black very very young pussy
Sevgilisinin yarran zlemi pic
Porno cindy starfall
Clip of man and woman having sex
Young wife gets massive
Escort in Itabuna
Escort in Calbayog
Keiko etou chubby mature fingered fucked pic
London pakistani pic
Sexy step mom dee compilations
Cody cummings bukkake
Japanese student blowjob
Good girl before to bed 18. Amateur tube
Tongue grinding










































![]()

:max_bytes(150000):strip_icc()/GettyImages-487693953-567f6ad14cb04c24a33c66f0734ce2aa.jpg)

















































