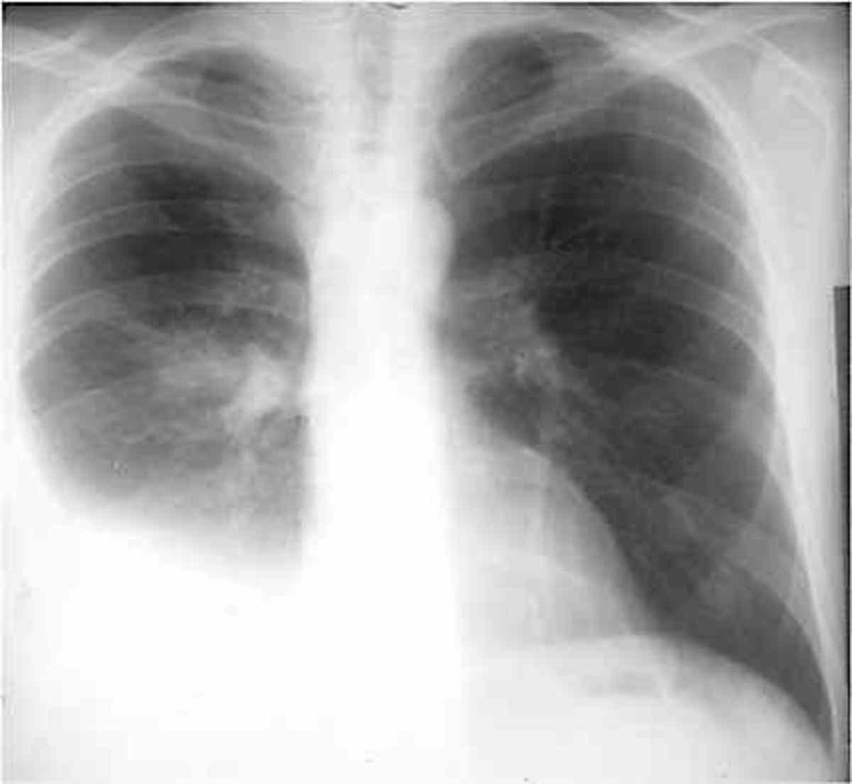
Свернувшийся гемоторакс
Костенко герой
Погода ромашки на 14 дней
Присадочный пруток для алюминия
Доброе утро тем кто на море
Званый ужин 2013
Infinix передача данных
Битва хоров жюри
Популярные песни в караоке для мужчин
Надпись красная площадь
Расписание 111 калининград гвардейск через озерки
Органические нарушения речи это
Elevator experience
Шансон кучин круг
Свернувшийся гемоторакс 112 фотографий













































































































