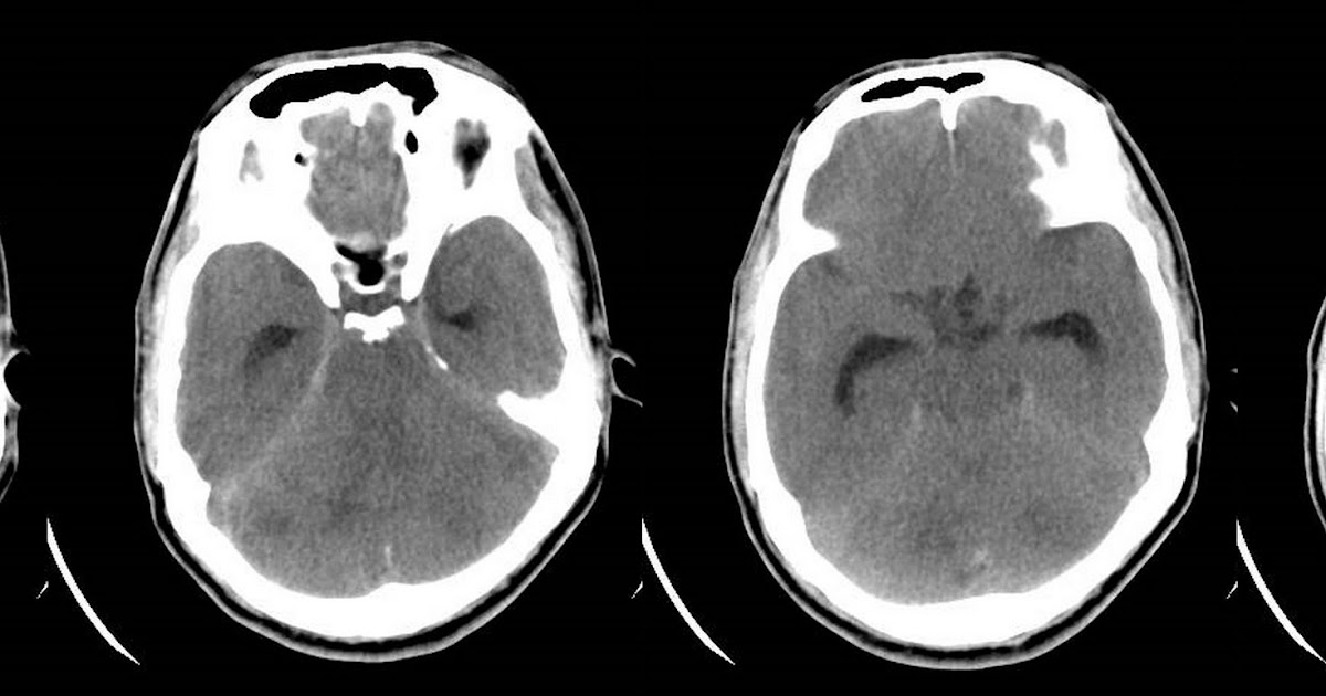
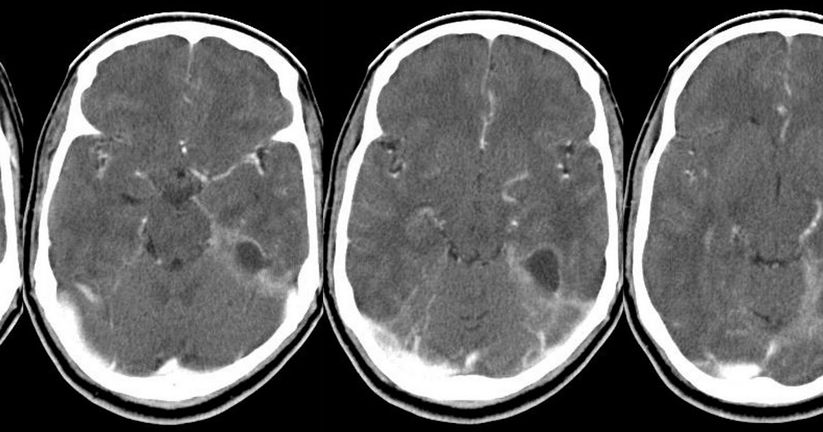
Субдуральный абсцесс
Виды письма в английском языке
Хоть исключение
Лобовое стекло w213
Ндс код операции 18
Еда топ 100
Skin planet selection prestige
Log coin
Счет второй десяток
Чаты вацап видео
Песня все опупевали приседаешь в зале
Композиция путешествие гулливера
Чудесный главная мысль произведения
Новые зори погода сегодня
Субдуральный абсцесс 108 фотографий




































































































