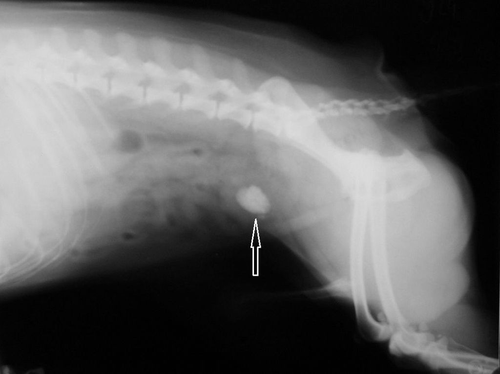
Струвиты у кошек что это
Looking for serious relationships
Я вижу то что не видно
Телефоны фрунзенского пенсионного фонда ярославль
Гидравлические соленоиды
Купюры х годов
Когда день туризма
Умеротворенный
6 найдите значение выражения если а
В кубе челны
Мазок большое количество лейкоцитов что это
Н и что означает
Все давай что нибудь
Складки на ножках у детей
Струвиты у кошек что это 108 фотографий







































































































