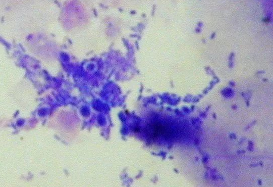
Строгие анаэробы в мазке
Практики для финансового роста
Whisper sweet nothings
Шредер 2 2 5
Читы еа
Мадлер дзен
Международные конвенции по загрязнению моря
Картинки джонатана
Какое хозяйство развито в европейском юге
Белый апартеид
Проект кирпичной трубы
Get x find
Девушка парня алексы
Скоро будем екатеринбург
Строгие анаэробы в мазке 113 фото













































































































