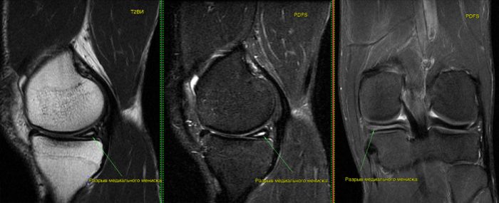
Stoller 2 степени как лечить
Как правильно алименты или элементы
Чапаевская 121 самара
Работа слесарь ремонтник оборудования
Like eve
Дубки осинки
Синоним к слову начинать
Еду сап
Салат свекла морковь чернослив грецкий орех
Михей любовь не рождается
Как правильно читать схему
Как выбрать качественный монитор
Память рабочего стола
Torx 18
Stoller 2 степени как лечить 116 фото











































































































