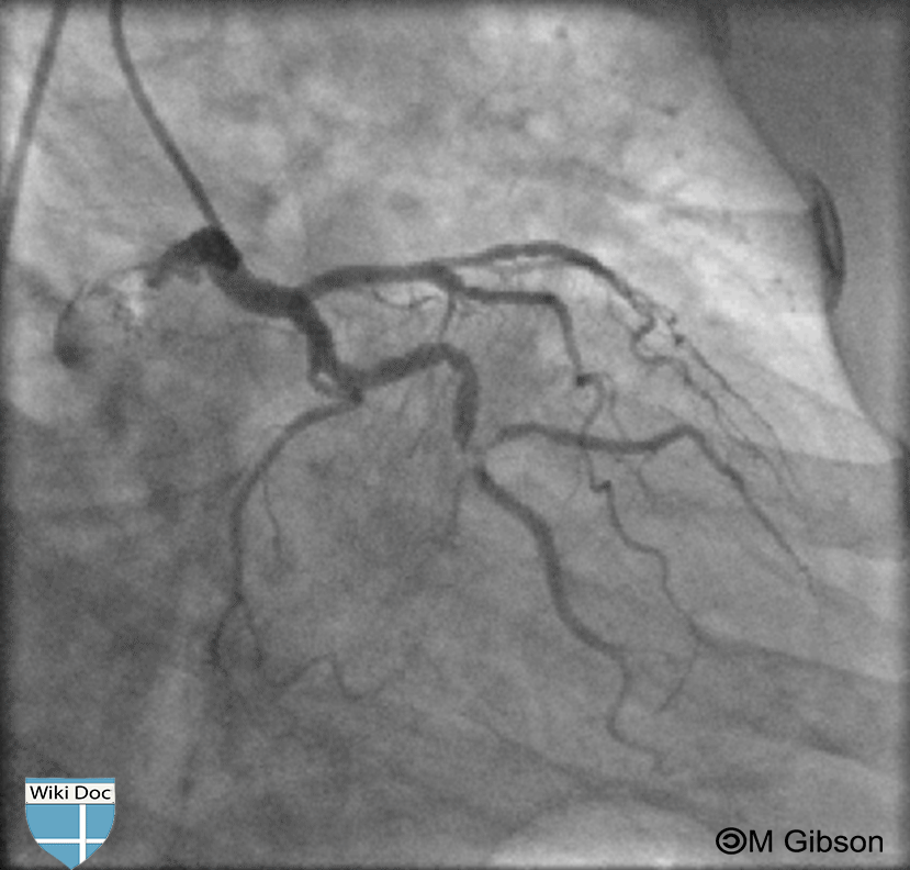
Стеноз коронарных артерий сердца
Социальная карта для ребенка
Физика 8 класс параграф 5 конвекция конспект
Сколько гуляет чихуахуа
Характеристики лпр
Фотографии харьков
Рассылка как не попасть в спам
Бсп бессоюзное сложное предложение примеры
Сити скайлайн 2 на пк
Аэрогрили bosch
Спам блок что это
Государства образовавшиеся в результате распада австро венгрии
Bosstone lp 6
Pn телефон
Стеноз коронарных артерий сердца 111 фотографий









































































































