Срез Небной Миндалины

🛑 👉🏻👉🏻👉🏻 ВСЯ ИНФОРМАЦИЯ ДОСТУПНА ЗДЕСЬ, ЖМИ 👈🏻👈🏻👈🏻
Видео гистология небной миндалины (препарат срез)
Небная миндалина: Небная миндалина — Palatine tonsil . . .
Небные миндалины - Лазерная хирургия заболеваний . . .
Небные миндалины . Где находятся миндалины, анатомия . . .
Микроскопическое изучение небной миндалины при чуме собак
Строение миндалин . Гистология, функции
МРТ и КТ пазух носа . Диагностика рака небной миндалины
Кровоснабжение небных миндалин - Персональный доктор
PDF The structural and immunological features of the tonsils . . .
Кровоснабжение небной миндалины: andreas_zarus — LiveJournal
Метилурацил Дальхимфарм Отзывы
Линдинет 20 Цена В Аптеках СПб
Мирена Доставка
Видео гистология небной миндалины (препарат срез) На видео по гистологии д .м .н, профессор С .В . Сазонов разбирает гистологию небной миндалины (препарат срез небной миндалины) . - Рекомендуем посетить раздел " Биология клетки и ее генетика " . - Рекомендуем посетить сам раздел . . .
Небная миндалина — Palatine tonsil . Структура . Кровоснабжение и иннервация; Тонзиллярные крипты
Гистологическое строение небной миндалины: 1 — крипта, 2 — лимфоидные фолликулы, 3 — капсула, 4 — устье крипты (лакуна)
Небные миндалины . Где находятся миндалины, анатомия Функции миндалин, их расположение в организме и болезни, затрагивающие орган
Парафиновый срез небной миндалины клинически здоровой и инфициированной вирусом чумы собак . А0 - нормальная гистоструктура небной миндалины . Пролиферативно-активные клетки окрашены на красно-коричневый цвет . Monoclonal Mouse Anti-Proliferating Cell Nuclear Antigen . Clone PC10 .
Нёбные миндалины: строение, функции Парные нёбные миндалины располагаются на боковых стенках ротовой части глотки . Они выстланы многослойным плоским эпителием, который во многих участках инфильтрирован лимфоцитами столь плотно, что его трудно различить .
Признаки рака небной миндалины на КТ и МРТ снимках с контрастом . Стадию опухолевого процесса определяют, основываясь на увеличении лимфатических узлов и других признаках, поражения и симптомах рака миндалин, распространенности поражения (одно- или двустороннее), а . . .
Кровоснабжение небных миндалин 2 .Ротовая полость: губы, зубы, небо, зев . Миндалины (топография, строение) . Кровоснабжение и иннервация . • снизу языком и мышцами, образующими дно полости рта; • . . .
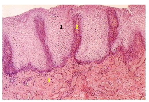
Поверхность слизистой оболочки небной миндалины с поверхностно расположенным многослойным плоским, а у основания - призматическим эпителием - 1, подслизистая основа - 2, которая формирует соединительнотканную капсулу миндалины . Гистологический срез небной миндалины при соотношении апоптоз/некроз в лимфоцитах гомогената 2,53 .
Обожаю иллюстрации в старых атласах, возможно оттого что тогда авторы иллюстраций были менее скованы разного рода стандартами изображения анатомических оганов . В настоящее время появление подобных ракурсов . . .
Римантадин Кидс
Детралекс Это Лекарство Или Биодобавка
Фармакологическое Действие Верапамила Блокатор Кальциевых Каналов
Полидекса Ребенку При Аденоидах Отзывы
Сумамед При Пневмонии Отзывы
Лекарство От Давления Козаар
Хондрогард Раствор 100мг Мл
Тилорон Цена Липецк
Вальсакор Видаль
Депакин Хроно 500 Балашиха
Эдарби Или Кандесартан
Препарат Тагиста Отзывы
Витамин Д Эвалар
Вольтарен Гель Для Чего Применяют Взрослым Отзывы
Фастум Гель Охлаждает Или Согревает
Эриус Екатеринбург
Кавинтон Таблетки Для Детей Для Чего Назначают
Менс Березники
Диспорт Ярославль
Бринтелликс Когда Наступает Эффект
Фламакс От Чего Назначают
Расторопши Для Похудения Отзывы Похудевших
Цефтриаксон Без Воды
Энтеросгель Биосфера
Таб Форсига
Переизбыток Витамина Кальция
Гриппферон 10 Мл
Мастодинон Грудь Отзывы
Гептрал Цена В Челябинске Аптека Живика
Юнидокс Солютаб Отзывы Форум
Антибиотики С Терафлю Можно
Орлистат Акрихин 0 06
Пироксикам Свечи Инструкция
Черника Фармгрупп Отзывы
Окомистин В Уши При Отите
Тамифлю Детям Можно
Мовалис Уколы При Межреберной Невралгии
Детрилан К2мк7
Меманталь 90 Таблеток
Простанорм Инструкция По Применению Отзывы
Чампикс Сколько Стоит В Аптеке
Пепидол Или Полисорб Что Лучше
Компливит Юниор Цена В Аптеках
Окуметил Таблетки
Но Шпа 40 Мг 100 Таблеток
Цераксон И Кортексин Одновременно
Коллаген Ультра Крем Отзывы
Цераксон Показания К Применению Отзывы
После Приема Эликвиса Повысился Д Димер
Глюкованс Аналоги Препарата
Офтальмоферон Способ Применения
Мельдоний Для Растений
Дофамин Слова
Белые Миндалины Фото
Элевит Группа
Барсучий Жир Сустамед Цена
Ацц Или Таблетки От Кашля Что Лучше
Утрожестан И Ипрожин Одно И Тоже
Промывают Ли Глаза Фурацилином При Конъюнктивите
Лактулоза Для Животных
Гидроксид Железа 3 Растворимость В Воде
Эпостим
Марена Красильная Чай
Доксициклин Желудок
Триазавирин Апрель Аптека Цена
Капли Тауфон От Покраснения
Динамико Лонг 20 Мг Цена
Трава Грудной Сбор 1
Флуконазол Через День По 150
Гептрал Таблетки Цена В Москве Аптека
Орнитин Maxler
Амоксиклав Метронидазол
Биогая Фото
Пентовит Сколько Принимать
Кагоцел Или Анаферон Для Детей
Кетонал И Диклофенак Вместе Можно
Гидрокортизон При Ожогах Кожи Отзывы
Порошок От Простуды Максиколд Цена
Лечение Ахиллобурсита Димексидом
Панкреатин Для Детей Цена
Интерферон Видео
Лонгидаза Свечи Цена Аналоги
Мометазон Крем Применение
Основа Меновазина
Фурадонин Или Нитроксолин При Цистите
Чем Отличается Мелоксикам От Мидокалма
Левомеколь Мазь Пародонтоз
Диоксидин При Простуде
Ко Перинева Цена В Москве
Оригинальный Эзомепразол
Средство От Колик Биогая
Что Лучше Имудон Или Циклоферон
Польза Метионина Для Человека
Гастал Лечение
Левомеколь На Открытые Гнойные Раны Можно
Миропристон Роды Отзывы
Болит Сердце Корвалол
Моксонидин 0 2 Мг Отзывы
Холисал Дентал Инструкция По Применению
Тиамин Утром Или Вечером
Срез Небной Миндалины




/Aldaiarov.files/ald.png)












































