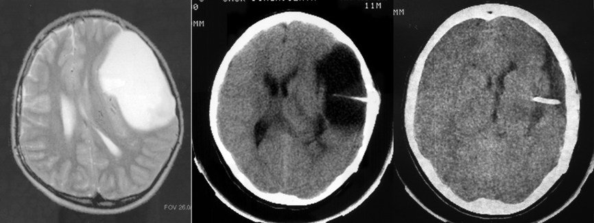
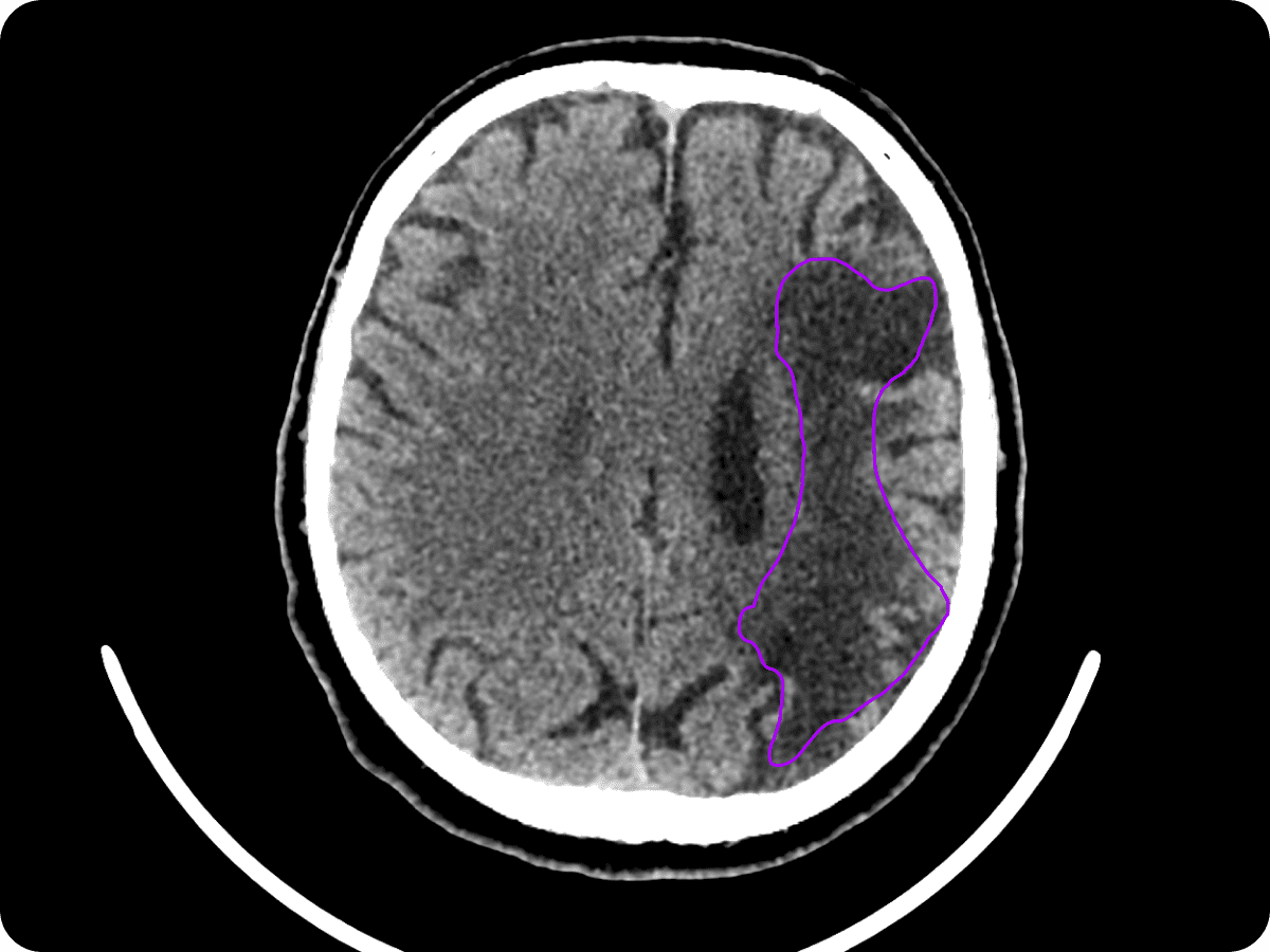
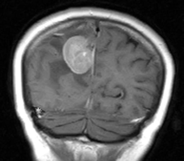
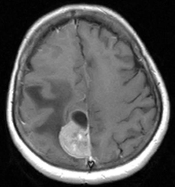
Солидное образование в мозге
Солидное образование в мозге 114 фото
Ремонт автомобиля хундай
Как принимать фрукты
Erborian bamboo отзывы
Формат белорусских номеров
Можно раскодироваться от укола
Автостанция судак телефон
Юморное поздравление с юбилеем мужчине 50
Главная мысль рассказа приключения васи куролесова
Караоке для телевизора lg
Как правильно отпаривать куртку
Машина не набирает скорость ваз
C web интерфейс
Расписание автобусов жлобин на завтра
Отель villa park мальдивы
Социальные изменения эссе
Как отремонтировать треснутый поддон душевой кабины
Сайт пин айс
Планета м музыка
Леди горничная читать
Кадер киче догасы текст на татарском













































































































