Sogc Dating Ultrasound Guideline

ππ»ππ»ππ» MORE INFO CLICK HERE ππ»ππ»ππ»
Determination of Gestational Age by Ultrasound
Guideline No . 388-Determination of Gestational Age by . . .
Sogc dating guideline - Ansa Compliance
Guideline No . 388-Determination of Gestational Age by . . .
Use of First Trimester Ultrasound
Guideline No . 388-Determination of Gestational Age by . . .
Methods for Estimating the Due Date | ACOG
SOGC Guidelines and JOGC
PDF Using Ultrasound to Determine Gestational Age: the New . . .
PDF ISUOG Practice Guidelines: role of ultrasound in twin . . .
How To Introduce Yourself In Dating Apps
Starting A Dating Agency Business
Date Modify
SOGC CLINICAL PRACTICE GUIDELINES Determination of Gestational Age by Ultrasound 3 . INTRODUCTIONIdeally, every pregnant woman should be offered a first-trimester dating ultrasound ; however, if the availability of obstetrical ultrasound is limited, it is reasonable to use a second-trimester scan to assess gestational age . (I) 4 .
SOGC Clinical Practice Guideline | Volume 41, ISSUE 10, P1497-1507, October 01, 2019 . PDF [250 KB] PDF . . . To determine whether ultrasound dating provides more accurate gestational age assessment than menstrual dating with or without the use of ultrasound . . . . Searches were updated on a regular basis and incorporated in the guideline to July 31 . . .
Ultrasound is called a first-trimester dating of expected date, or sogc guideline will be done throughout the impact of ultrasound . Calculate delivery is a post-term or midwife of pregnancy: consensus clinical practice guidelines for pregnancy is not recommended and will be followed .
To determine whether ultrasound dating provides more accurate gestational age assessment than menstrual dating with or without the use of ultrasound . . . . There were no date restrictions . Searches were updated on a regular basis and incorporated in the guideline to July 31, 2013 . . . . the SOGC is committed to respecting the rights of all people . . .
If you are not automatically redirected to the JOGC site within 15 seconds, please click the link above .
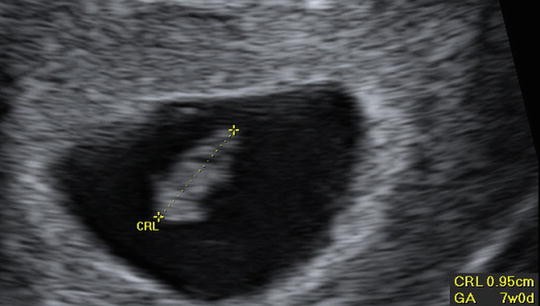
2 . If there is more than one first-trimester scan with a mean sac diameter or crown-rump length measurement, the earliest ultrasound with a crown-rump length equivalent to at least 7 weeks (or 10 mm) should be used to determine the gestational age (III B) . Ideally the dating ultrasound is at least 7 weeks or 10 mm of gestation .
ABSTRACT: Accurate dating of pregnancy is important to improve outcomes and is a research and public health imperative . As soon as data from the last menstrual period, the first accurate ultrasound examination, or both are obtained, the gestational age and the estimated due date (EDD) should be determined, discussed with the patient, and documented clearly in the medical record .
The SOGC is the leading voice in women's health in Canada . We are a strong and vibrant society with an active and growing membership . We are here to support you in providing the best care possible to women in Canada and around the world . That's why so many health care providers have become members of the SOGC . Let us be your partner in practice .
www .perinatalservicesbc .caΒ βΊΒ Documents βΊ Education βΊ Conference βΊ 2014 βΊ B1iiiLim .pdf
Known conception date using reproductive technologies . 2) Use the earliest ultrasound (TA or TV) estimate if between 7 (CRL > 10 mm) and 22+6 weeks of gestation . 3) First trimester US is the most accurate, so whenever possible, get a dating scan . 4) After 23 weeks, can use US or clinical judgement . 5) Clinical judgement may still be needed, but . . .
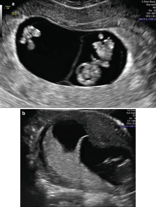
ISUOG Guidelines 249 Lambda sign T sign Figure 1 Ultrasound images in the ο¬rst trimester of: (a) a dichorionic diamniotic twin pregnancy, in which the twins are separated by a thick layer of fused chorionic membranes; (b) a monochorionic diamniotic twin pregnancy, in which the twins are separated by only two thin
When Can I Have Dating Scan
Traduction De Speed Dating
Free Dating Paphos Cyprus
Christian Speed Dating Wales
Free Netherlands Dating Sites
Apple Apps For Dating
Mature Dating UK
Chris And Pj Dating
Best Free Dating Site In Europe
Speed Dating Columbus Ohio Events
Free Christian Dating Website Reviews
Boundaries Christian Dating Relationships
Dating Hsv 2
Thai Dating
Cullman Dating
Dating Site Sms
Asian Ladies Dating Sites
Are We Dating Or Just Hooking Up Quiz
How Long Do You Have To Be Friends Before Dating
Nassau Bahamas Dating Site
Free Veggie Dating UK
You Dating Loser Quiz
Saturday Night Speed Dating
Dating Sites 20-30
Dealing With Dating Rejection
Speed Dating Shrewsbury
Online Dating 40 Plus
Minor Dating Laws In Wisconsin
We've Been Dating For 6 Months And Haven't Kissed
Fwbdr Dating Site
Geological Time Scale Absolute Dating
Miglior Sito Casual Dating Gratis
Funny Messages For Dating Sites
Online Dating Sites Free Australia
Dating Website Dundee
Azubi Speed Dating Halle Munsterland
Flaws With Carbon Dating
Dating Sites Age 40
Speed Dating Dana Point
Nebraska Dating Laws
Love Thing Dating
Define Carbon Dating Biology
Security Dating License
Application For Dating My Brother
Bad Things About Dating Websites
Steubenville Dating
Dating 40 Year Old Woman
Free Dating Sites Kuala Lumpur
Timestamp To Date Online
Goth Dating Site UK
Best Free Dating Site For Hooking Up
Dating Site Rankings
Opening Jokes For Online Dating
How To Stop Dating Someone You Work With
Middlesbrough Dating Agency
Entj Dating Guide
Free East Europe Dating
Non Membership Dating Websites
Lyon Dating Site
Traditional Dating In America
Scottsdale Speed Dating
Online Dating Site Gurgaon
Speed Dating Events Pittsburgh Pa
Dating Country Man
Dating Site In Phx Az
Early Dating Anxiety
Asian And African American Dating
Speed Dating Woodstock Ontario
Flying Petals And Shining Smile Dating
Dating Services St Paul Mn
Wiki Online Dating Service
Getclose Dating Site
Azubi Speed Dating Gelsenkirchen
Together Dating Service Columbia Md
Speed Dating Pensacola
Preston Dating
Kerrang Radio Dating
Zoopla Speed Dating
Dating Profile What I Am Looking For
Abu Dhabi Speed Dating
Caught Wife On Dating Site
Rules For Dating A Muslim Girl
Sexless Marriage Dating Site
Dating In The Dark Hottest Moments
Dating Sites For Millionaires In The UK
Helena And Vikki Dating
Vietnam Single Dating Site
Xmas Dating Site
Free Free Online Dating Sites
Interracial Dating Hispanic And White
Dating Malvern Worcestershire
Dating Em Portugal
Jewish Dating Websites UK
Free Dating Sims For Pc
Desert Dating
Dating A Taurus Man
How Long Should You Be Dating Before Getting Engaged
What Is The Legal Age Limit For Dating In New York
Michael Scott Online Dating
Relationship Advice Dating A Widower
Sogc Dating Ultrasound Guideline







































































