Снимок КТ
НемедицинаАксиальная компьютерная томография головного мозга и орбит. Отмечается отек мягких тканей в предсептальной области. Абсцесса или внутричерепного расширения не обнаружено.

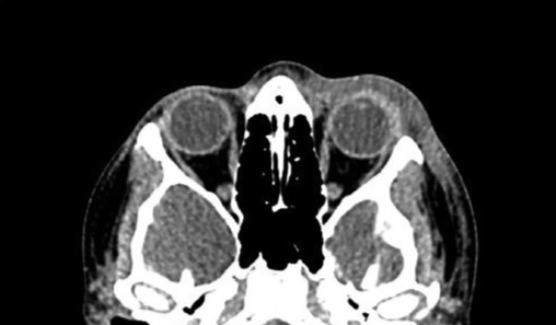
Аксиальная компьютерная томография головного мозга и орбит. Отмечается отек мягких тканей в предсептальной области. Абсцесса или внутричерепного расширения не обнаружено.
