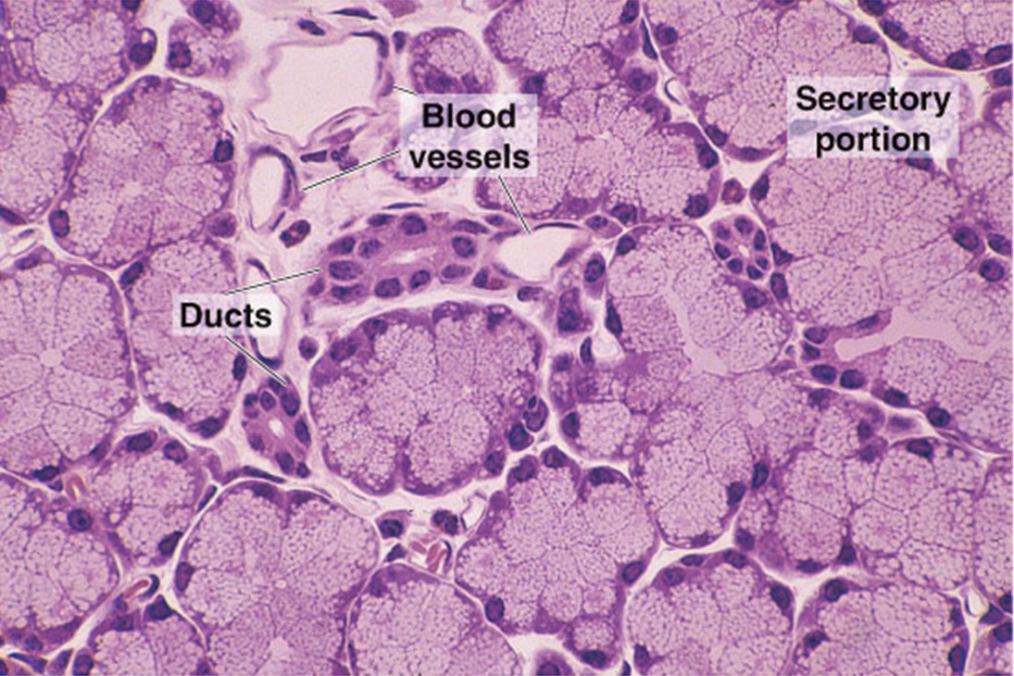
Слюнные железы строение гистология
Верно на китайском языке
Фипи сочинение егэ 2025 2025
Новости молдовы 1
Санаторий варзи отзывы
Color laserjet cm2320nf
Whirlpool awg 236
Мозамбик 6 букв сканворд
Что больше 1см или 9мм
Магне новая упаковка
Как определить цвет по палитре
Рингтон на смс короткие новинки
Авито транспорт ставропольский край
Контрольная работа по математике 6 класс распечатать
Слюнные железы строение гистология 129 фотографий






























































































































