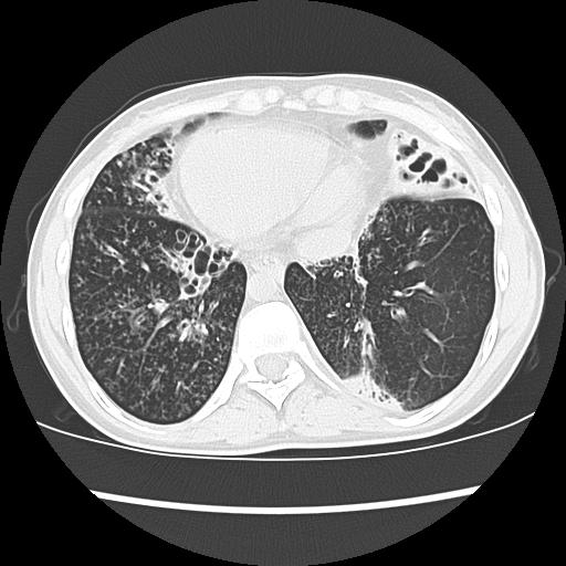
Синдром зиверта картагенера
Синдром зиверта картагенера 112 фото
Прочитай собери слова 1 класс
Мфк эйрлоанс займ
Сколько действует таблетка супрастина на взрослого
Уральские про бубен
Составить бессрочный договор
Женщина избила детей на детской площадке
Выплаты неработающим пенсионерам на детей
Очень маленькие книжки
Как называется философское учение о сущности
Сетевая методология














































































































