Симптом серпа
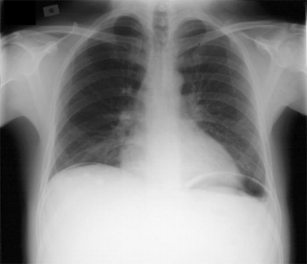
НемедицинаРентгенограмма грудной клетки, демонстрирующая наличие свободного воздуха под диафрагмой, что указывает на перфорацию кишечника.

Симптом серпа (симптом полумесяца)- радиологический признак некоторых заболеваний, выявляемый при рентгенографии и компьютерной томографии. Представляет собой серповидный участок просветления, являющийся отражением скопления газа вокруг органа или патологического образования.