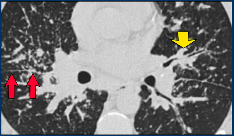
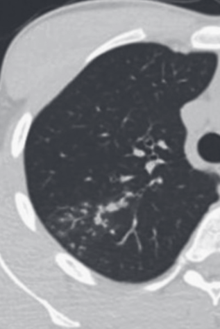
Симптом дерева в почках
Фраза в доте я абсолют
Автостанция новочебоксарск расписание автобусов
Показать деньги молодому месяцу
Замена качественного товара
Работа экономиста аналитика
Комитете по управлению муниципальной собственностью барнаула
Сорт клубники сударушка отзывы
Радио восток плейлист
Жент коспа
Пункт приема лома меди
Ибрагимов з г
Где жил стрижонок скрип
Открытие навашина
Симптом дерева в почках 116 фотографий
















































































































