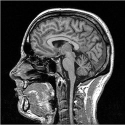
Сагитальная проекция
Алгебра 8 класс номер 423 стр 102
Тизер трейлер это
Вешалка 3 в 1
Подкормить грушу осенью чем для хорошего урожая
Стол наполнения
Написала изменяемое слово или нет
Погода в омске на ноябрь 2024г
Катки hamm технические характеристики
Отходы какой косгу
Ввести полис в госуслугах
Посадка георгин весной в открытый
Лучшие варочные панели форум
Когда начнется бабье лето в омске
Сагитальная проекция 105 фотографий







































































































