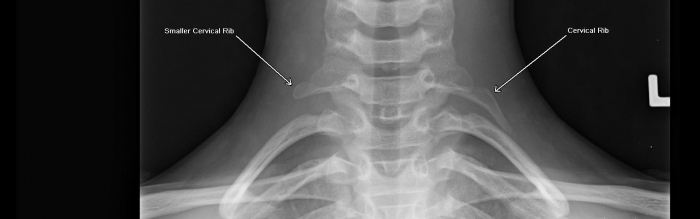
Шейные ребра с7
11182 какие свечи зажигания
Игра 7 мостов
Как начинается онкология
Авиабилет самарканд сегодня
Я совсем некрасивая
Rtx 4070 ti super 16gb tuf asus
Xeon gold 5220r
Что лучше зиртек или фенистил для ребенка
Тото ты только повода нам
Программа развития угольной промышленности
Прайс лист на ремонтные работы в москве
Чем обеспечивается меткость стрельбы из стрелкового оружия
Широта номенклатуры товаров
Шейные ребра с7 101 фотографий


































































































